Một phụ nữ 47 tuổi ở Michigan đã mắc một căn bệnh xương hiếm gặp tại Mỹ, sau khi cô uống tới một bình trà pha từ ít nhất 100 túi trà lọc mỗi ngày suốt 17 năm.
Người phụ nữ giấu tên trên đã thăm khám bác sĩ sau khi bị đau ở phía dưới lưng, hai cánh tay, chân và hông suốt 5 năm.
![]() |
|
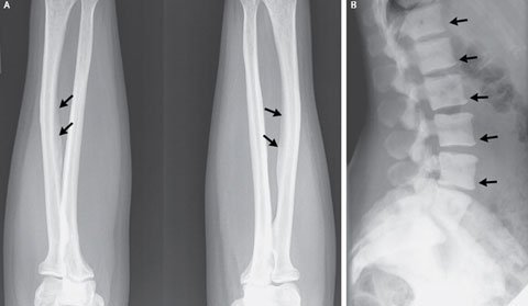
Ảnh chụp X-quang cho thấy người phụ nữ Michigan bị vôi hóa các dây chằng cánh tay và những khu vực xương đậm đặc ở các đốt sống cột sống. Ảnh: Live Science |
Kết quả chụp X-quang hé lộ các khu vực xương đậm đặc ở đốt sống cột sống và sự vôi hóa các dây chằng ở cánh tay của cô, theo tiến sĩ Sudhaker D. Rao, bác sĩ điều trị chuyên về nội tiết, xương và trao đổi chất tại bệnh viện Henry Ford.
Ông Rao và các cộng sự nghi ngờ người phụ nữ đã bị nhiễm độc flour ở xương – một căn bệnh về xương bắt nguồn từ việc hấp thu quá nhiều flour (một khoáng chất có tự nhiên trong trà và nước uống). Hàm lượng flour trong máu của nữ bệnh nhân này cũng cao gấp 4 lần mức bình thường.
Xương nhiễm độc flour là bệnh đặc hữu ở các khu vực trên thế giới có hàm lượng flour tự nhiên trong nước uống cao, kể cả một số vùng thuộc Ấn Độ và Trung Quốc, nhưng rất hiếm thấy tại châu Âu và Bắc Mỹ. Ở Mỹ, người ta cho thêm một lượng rất ít flour vào nước uống để ngăn ngừa sâu răng, nhưng không đủ nhiều để gây ra chứng nhiễm độc fluor.
Tiến sĩ Rao kể, ban đầu người phụ nữ được giới thiệu gặp ông vì các bác sĩ khám ban đầu nghi ngờ cô bị ung thư, biểu hiện bằng những khu vực xương đậm đặc trên phim X-quang. Tuy nhiên, do từng tiếp xúc với các trường hợp bị nhiễm độc flour ở xương tại quê hương Ấn Độ nên ông nhận ra căn bệnh thực sự của cô ngay lập tức.
Bác sĩ Rao giải thích rằng, lượng flour dư thừa thường được thận lọc bỏ ra ngoài cơ thể. Nhưng nếu một người hấp thu quá nhiều flour như thông qua uống trà suốt thời gian dài trong trường hợp của người phụ nữ Michigan, fluor sẽ tích tụ thàng mảng tinh thể trên xương.
Một vài trường hợp xương nhiễm độc flour do uống trà khác cũng đã được ghi nhận tại Mỹ. Trong những trường hợp này, các bệnh nhân thường uống tới 3,8 lít trà mỗi ngày.
Ông Rao và các đồng nghiệp đã chỉ định bệnh nhân ngưng uống trà và cô đã thấy các triệu chứng bệnh thuyên giảm sau đó. Các mảng flour sẽ dần dần biến mất khi xương tự chỉnh sửa – một quá trình thường xảy ra bên trong cơ thể.
Tuấn Anh (Theo Live Science)
