Lần đầu tiên, giới nghiên cứu đã chế thành công da nhân tạo có khả năng thay thế động vật trong các cuộc thử nghiệm dược, mỹ phẩm.
![]() |
|
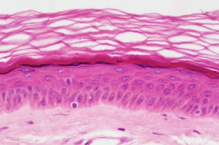
Các nhà nghiên cứu đã cho trình làng lớp biểu bì nhân tạo có cấu trúc và tính năng tương tự như lớp ngoài cùng của da thật. Ảnh minh họa: Health News |
Các nhà khoa học Anh và Mỹ đã có thể tạo ra những mảng biểu bì - lớp trên cùng của da, rộng 1cm từ các tế bào gốc. Các mảng da nhân tạo này sở hữu cùng những đặc tính như da tự nhiên.
Lớp biểu bì hình thành một hàng rào bảo vệ giữa cơ thể sinh vật với môi trường bên ngoài, giúp ngăn cản sự thoát nước trong khi vẫn chống được sự xâm nhập của vi sinh vật và các chất độc hại. Cho mãi tới gần đây, các kỹ sư mô sinh học vẫn không thể sản sinh lớp biểu bì với chức năng tương tự phục vụ việc thử nghiệm dược, mỹ phẩm.
Trong nghiên cứu mới, các chuyên gia Anh và Mỹ trước hết đã tạo ra những tế bào gốc đa năng cảm ứng (iPS), bằng cách thay đổi những đặc tính di truyền của tế bào nguyên bào sợi trong mô liên kết trưởng thành. Các tế bào iPS này sở hữu cùng đặc tính như các tế bào gốc phôi thai, bao gồm cả khả năng phát triển thành bất kỳ loại mô nào trong cơ thể.
Một quá trình tuần tự trong phòng thí nghiệm đã biến đổi các tế bào iPS thành các keratinocyte - loại tế bào chiếm ưu thế ở lớp ngoài cùng của da, và sau đó là các mảng da thực sự.
Nhóm nghiên cứu gọi đây là bản sao biểu bì 3D của họ. Kết quả kiểm tra cho thấy, không có khác biệt nào về cấu trúc hay chức năng giữa da nhân tạo với da thật của người.
Các nhà khoa học tin rằng, trong tương lai, da nhân tạo có thể được sử dụng để kiểm nghiệm thuốc dạng lỏng hoặc kem bôi da hoặc mỹ phẩm, mà không gây hại đến động vật. Thử nghiệm mỹ phẩm trên động vật hiện bị cấm ở Anh. Tháng trước, Liên minh châu Âu (EU) cũng cấm nhập khẩu hoặc buôn bán mọi sản phẩm chứa các thành phần được thử nghiệm trên động vật.
Thêm vào đó, da nhân tạo cũng được kỳ vọng sẽ đóng vai trò như mẫu kiểm tra các bệnh về da, chẳng hạn như eczema hay bệnh vảy nến.
Tuấn Anh (Theo Daily Mail)
