Các bác sĩ cho biết, một chàng trai 17 tuổi người Mỹ đã trải qua ca phẫu thuật làm giảm kích cỡ dương vật đầu tiên trên thế giới.
![]() |
|
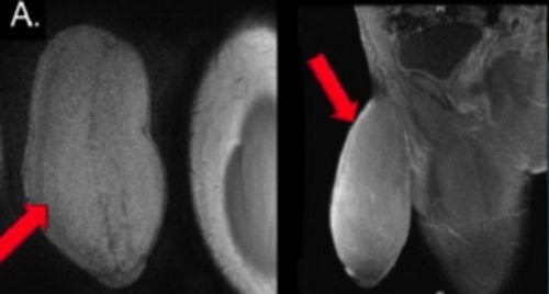
Ảnh chụp X-quang cho thấy dương vật của bệnh nam 17 tuổi phát triển lớn dị thường, gây nhiều bất tiện và khó chịu cho khổ chủ. Ảnh: Journal of Sexual Medicine |
Chàng trai vị thành niên Mỹ đã phải nhờ cậy tới dao kéo sau khi "cậu nhỏ" của mình phát triển quá lớn, hạn chế khả năng quan hệ tình dục hoặc chơi các môn thể thao cạnh tranh của "khổ chủ".
Các bác sĩ phẫu thuật cho chàng trai thực sự bị sốc khi cậu tìm đến chỗ họ than phiền về "súng ống quá khủng". Khi ở trạng thái ỉu xìu, nó có số đo chiều dài gần 17,8cm với chu vi tới 25,4cm, tức là tương đương kích cỡ một quả bưởi. Các chuyên gia phẫu thuật thậm chí mô tả "cậu nhỏ" đặc biệt này có hình dạng của một quả bóng bầu dục.
Rafael Carrion, chuyên gia tiết niệu thuộc Đại học Nam Florida (Mỹ) và là bác sĩ điều trị cho chàng trai Mỹ, bày tỏ: "Trong cuộc đời của mỗi chuyên gia tiết niệu sẽ có lúc tiếp đón một bệnh nhân đưa ra một lời đề nghị vô cùng hiếm gặp và khó hiểu đến mức không nói nên lời. Câu hỏi đó với tôi là: Các bác sĩ có thể khiến dương vật của cháu nhỏ đi không".
Nam bệnh nhân trẻ đã phải chịu đựng vô số lần cương dương ngoài ý muốn, do mắc một chứng bệnh, trong đó các tế bào máu hình dạng bất thường làm tắc nghẹt mạch máu ở dương vật, khiến nó phình to. Những lần như thế này khiến "súng ống" của cậu sưng phồng lên và biến dạng.
Chàng trai trẻ tâm sự, kích cỡ dương vật "khủng" dị thường khiến cậu không thể quan hệ tình dục hoặc chơi các mông thể thao cạnh tranh. Cậu cũng gặp khó khăn khi mặc quần vì "vũ khí" quá to và nặng, cũng như cảm thấy xấu hổ vì nó trở nên quá nổi bật dưới lớp áo quần bình thường.
Một điều đặc biệt là, "cậu nhỏ" của bệnh nhân này khi "lâm trận" cũng không phát triển lớn hơn khi "nghỉ ngơi", nhưng có cứng chắc hơn.
Tiến sĩ Carrion và các cộng sự đã khảo cứu tài liệu y học, nhưng không thể tìm thấy bất kỳ tiền lệ nào về giải pháp cho chàng trai trẻ. Từ trước tới nay, y học mới chỉ ghi nhận các trường hợp dao kéo nhằm "cơi nới" dương vật cho cánh mày râu.
![]() |
| Chàng trai trẻ rốt cuộc đã trải qua ca phẫu thuật cắt giảm kích cỡ "cậu nhỏ" đầu tiên trên thế giới. Ảnh minh họa: Daily Mail |
Cuối cùng, nhóm của tiến sĩ Carrion quyết định sử dụng một kỹ thuật phẫu thuật thường dùng để chữa trị bệnh Peyronie, một hội chứng trong đó mô sẹo phát triển quanh dương vật, khiến nó bị cong gập. Họ đã cắt bỏ 2 mảng mô hai bên dương vật, nhưng khéo léo vòng tránh niệu đạo (ống chứa nước tiểu xuyên qua dương vật) và tất cả các dây thần kinh đem lại cảm giác ở vùng sinh dục.
Bệnh nhân chỉ mất 2 ngày trong bệnh viện trước khi trở về nhà. Theo các bác sĩ, cậu hoàn toàn hài lòng với "cậu nhỏ" mới dù nó vẫn to lớn hơn đôi chút với kích cỡ dương vật trùng bình của nam giới.
Kể từ khi bài báo mô tả về ca phẫu thuật trên được đăng tải trên tạp chí The Journal of Sexual Medicine, tiến sĩ Carrion chỉ tiếp nhận thêm một trường hợp nữa tới đề nghị điều tương tự. Bác sĩ Carrion nói, mặc dù người đàn ông thứ hai này cũng được trời phú cho dương vật "khủng" tự nhiên, nhưng không có gì bất thường trong bệnh án của anh ta, nên các chuyên gia không coi đây là bất thường thực sự phải cần đến dao kéo.
Tuấn Anh (Theo Daily Mail)

