Một thiếu nữ ở Anh tưởng rằng mình có thai đứa con đầu lòng sau khi tăng cân và bụng lớn bất thường. Thế nhưng kết quả que thử lại là âm tính.
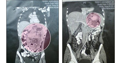
Sau nhiều cơn đau âm ỉ ở vùng bụng và dấu hiệu mệt mỏi thường xuyên, Kayleigh Terry đã đi chụp siêu âm. Ảnh chụp đã cho thấy một hình ảnh đáng sợ: Terry đang mong trung bụng một khối u to bằng quả dưa hấu, chèn từ khu vực dưới ngực xuống bụng dưới.

Mọi chuyện xảy ra vào tháng 7/2009, đúng dịp sinh nhật lần thứ 19 của Terry. Cô đang nằm trong vườn tắm nắng trong bữa tiệc nướng ngoài trời thì bị bạn bè bình luận rằng bụng của mình đang “nhô lên”. Vài tuần sau đó, Terry bắt đầu thấy những cơn đau bụng, ăn mất ngon, bụng to lên rất nhanh và thường xuyên chóng mặt.
Các bác sĩ chẩn đoán Terry bị U xương- mô liên kết và phải xạ trị khẩn cấp để thu nhỏ kích cỡ khối u này, trước khi nó trở thành ác tính và có thể cướp đi mạng sống của cô. Đây là một dạng u hiếm gặp và đặc biệt ở Terry, khối u lại phát triển bất thường từ các mô mềm, thay vì từ xương như những ca bệnh điển hình. “Các bác sĩ nói rằng họ không thể loại trừ khả năng bị ung thư nhưng thực sự không biết thứ gì đang ở trong bụng của tôi”, Terry nhớ lại.
![]() |
|
Sau giai đoạn xạ trị, kích cỡ khối u đã được thu nhỏ từ quả dưa hấu xuống bằng quả chanh. |
Sau hai tháng xạ trị, khối u đã được thu nhỏ xuống còn bằng cỡ quả chanh.
Trên DailyMail, Terry cho biết cô đã bị rụng sạch tóc, lông mi và giảm tới 19 kg sau khi được phẫu thuật cắt bỏ khối u 4 tháng sau đó. Sau cuộc phẫu thuật, Terry tiếp tục phải xạ trị 6 tháng và mất 1 năm thường xuyên ra vào bệnh viện để kiểm tra.
Giờ đây, sau hai năm, Terry đã có thể ăn mừng khỏi bệnh hoàn toàn. Cô thậm chí cũng đã nghĩ tới việc lập gia đình và có con trong tương lai.
Y Lam
