Bệnh viện đa khoa Phúc Châu (Phúc Kiến, Trung Quốc) cho biết, vừa phẫu thuật lấy thành công lấy 3 cây kim từ ổ bụng, gan và thận cho một cậu bé 5 tuổi.
TIN BÀI KHÁC
Quái gở ăn vàng, uống vàng, làm đẹp bằng vàng
'Bí kíp' bán trà đá nhanh giàu
Long An: Ba phụ nữ bị chém gục trong nhà
'Bí kíp' bán trà đá nhanh giàu
Long An: Ba phụ nữ bị chém gục trong nhà
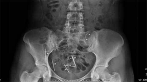
Trước đó, Tiểu Diệp bị tai nạn bị thương ở bụng, lưng và đầu, sau đó được đưa
vào viện cấp cứu. Các bác sĩ đã tiến hành chụp phim và phát hiện trong bụng, gan
và thận của Diệp có 3 dị vật chỉ dài và nhỏ như chiếc kim khâu. Ngay sau đó,
Tiểu Diệp tiếp tục được các bác sĩ nhi khoa thăm khám và làm các biện pháp chiếu
chụp kỹ hơn đã phát hiện ra ba dị vật đó chính là 3 cây kim.
Trong số 3 cây kim này thì một cây đã có dấu hiệu bị gỉ và 2 cây còn lại quay
ngược lên chứ không đâm vào cơ thể. Đây là ca mổ tương đối khó vì ba cây kim rất
nhỏ, có dấu hiệu bị gỉ, chỉ cần một sơ suất nhỏ có thể nguy hiểm đến tính mạng
của Tiểu Diệp.
Gia đình Tiểu Diệp rất hoảng sợ khi được bác sĩ thông báo vừa gắp thành công 3 cây kim trong cơ thể cậu bé.
![]() |
| Cây kim trong bụng |
Ở Việt Nam, Khoa Lồng ngực – Mạch máu thuộc Bệnh viện Nhân dân 115 (TP.HCM) cũng
phẫu thuật gắp thành công một cây kim gãy làm 3 trong cơ thể bệnh nhân.
Bệnh nhân nữ tên H., ngoài 20 tuổi, làm công nhân may mặc tại TP.HCM. Khi bị ho,
sốt nên chị này đến bệnh viện khám và tá hỏa vì kết quả chụp X- quang cho thấy
trong ngực bên trái có một cây kim may cỡ to. Cây kim này bị chèn ép nên đã
gãy làm 3 mảnh. Bệnh nhân cũng không hề biết cây kim đã đâm vào mình từ bao giờ,
khi bị ho sốt nhiều, nên mới đi khám thì phát hiện cây kim.
Trần Đức (tổng hợp)
