Cô bé Jahi McMath, 13 tuổi đến từ Oakland, California (Mỹ) được tuyên bố đã chết não hồi tháng trước sau khi hứng chịu một biến chứng cực kỳ hiếm gặp do phẫu thuật amiđan. Gia đình Jahi đã đấu tranh để giữ cho con gái họ được dùng máy trợ thở, nhưng một thẩm phán đã ra lệnh tắt thiết bị hỗ trợ này vào tuần tới.
Sự việc đang làm sống dậy những tranh cãi về việc, liệu người chết não có thể coi là đã chết hay không và bao nhiêu phần cơ thể họ sẽ tiếp tục hoạt động với sự trợ giúp của công nghệ và trong thời gian bao lâu?
![]() |
|
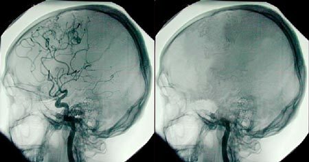
Một người được coi là chết não khi anh/cô ta không còn hoạt động thần kinh ở bộ não hoặc cuống não, tức là không có xung điện nào được phát đi giữa các tế bào não. |
Một người được coi là chết não khi anh/cô ta không còn hoạt động thần kinh ở bộ não hoặc cuống não, tức là không có xung điện nào được phát đi giữa các tế bào não. Theo tiến sĩ Diana Greene-Chandos, giáo sư chuyên ngành thần kinh học và phẫu thuật thần kinh thuộc Trung tâm y tế Wexner, Đại học Ohio (Mỹ), các bác sĩ sẽ tiến hành hàng loạt cuộc kiểm tra để xác định liệu ai đó có bị chết não hay không.
Một trong số các cuộc kiểm tra đó nhằm xem liệu đối tượng có thể tự xúc tiến việc thở của mình - một phản xạ rất căn bản do gốc não điều khiển. "Đó là thứ cuối cùng bị mất đi", bà Greene-Chandos cho biết.
Ở Mỹ và nhiều nước khác, một người được pháp luật công nhận là đã chết nếu anh/cô ta vĩnh viễn mất mọi hoạt động não (chết não) hoặc tất cả các chức năng hô hấp và tuần hoàn máu. Trong trường hợp của Jahi, 3 bác sĩ đã kết luận rằng cô bé bị chết não.
Tuy nhiên, hệ thống điện nội tại của tim có thể giữ cho cơ quan này đập thêm một thời gian ngắn sau khi một người bị chết não. Trong thực tế, theo giáo sư Greene-Chandos, trái tim thậm chí có thể đập bên ngoài cơ thể. Tuy nhiên, nếu không có máy trợ thở giúp luân chuyển máu và oxy, việc tim đập như thế này sẽ chấm dứt rất nhanh chóng, thường trong không đầy 1 giờ đồng hồ. Chỉ với máy thở, một số quá trình sinh học, kể cả các chức năng thận và dạ dày, có thể tiếp tục trong khoảng 1 tuần.
Kenneth Goodman, giám đốc Chương trình Đạo đức sinh học của Đại học Miami, nhấn mạnh rằng, việc duy trì các chức năng như trên không có nghĩa đối tượng còn sống. "Nếu bạn chết não, bạn chắc chắn đã chết. Nhưng với công nghệ, chúng ta có thể khiến xác chết làm một số thứ vẫn thường thực hiện khi bạn còn sống", ông Goodman nhấn mạnh.
Không có não, cơ thể sẽ không sản sinh những hoóc môn quan trọng, cần để duy trì các quá trình sinh học, kể cả chức năng thận, dạ dày và miễn dịch, trong thời gian dài hơn 1 tuần. Chẳng hạn như, hoóc môn tuyến giáp thiết yếu cho việc điều phối sự trao đổi chất của cơ thể và hoóc môn tuyến yên rất cần cho thận để lọc nước.
Áp huyết bình thường, vốn cũng thiết yếu đối với hoạt động cơ thể, thường không thể được duy trì nếu người chết não không được cho dùng thuốc huyết áp. Một người chết não cũng không thể duy trì nhiệt độ cơ thể của bản thân, nên cơ thể họ phải được giữ ấm bằng chăn, nhiệt độ trong phòng cao và đôi khi cả dịch truyền tĩnh mạch ấm.
Cơ thể của một người chết não thường không được hỗ trợ trong thời gian dài. Các bác sĩ đôi khi cung cấp sự hỗ trợ (dưới dạng máy thở, các hoóc môn, dịch, ...) trong nhiều ngày, nếu các bộ phận cơ thể họ sẽ được dùng để hiến tặng hoặc nếu gia đình cần thêm thời gian để nói lời vĩnh biệt.
Hiện chẳng có mấy nghiên cứu về việc cơ thể của một người chết não có thể được duy trì trong bao lâu. Các tranh luận về cái chết não đã bắt đầu từ những năm 1950 ở Pháp với 6 bệnh nhân được duy trì sự sống trong khoảng 2 - 26 ngày mà không có máu chảy về não. Điều này làm khởi phát ý tưởng rằng, "có lẽ còn một cách thứ hai để chết, vì những bệnh nhân này rốt cuộc sẽ chết". Trước đó, một người được coi là đã chết chỉ khi tim họ ngưng đập và họ ngưng thở.
Ngày nay, với máy trợ thở, các biện pháp tăng huyết áp và hoóc môn, về mặt lý thuyết, cơ thể của một người chết não có khả năng duy trì hoạt động trong một thời gian dài, có thể vô hạn định. Dẫu vậy, Greene-Chandos nói, theo thời gian, cơ thể của một người chết não ngày càng trở nên khó duy trì và các mô có nguy cơ bị nhiễm trùng cao.
Tuấn Anh (Theo Live Science)
