Những người đàn ông thường xuyên xem sách báo, phim ảnh khiêu dâm có thể đang tự làm teo não của họ cũng như gây "đơ" phản ứng trước các kích thích tình dục, theo một nghiên cứu mới.
![]() |
| Nhóm nghiên cứu đã phát hiện các khác biệt rõ thấy trong bộ não của những người đàn ông thường xem phim, ảnh khiêu dâm. Ảnh: Alamy |
Lần đầu tiên, các nhà nghiên cứu Đức đã phát hiện một mối liên hệ tiềm tàng giữa việc thường xuyên xem các ấn phẩm và phim ảnh đồi trụy với sự tổn hại về thể chất. Cụ thể là, xem nhiều phim, ảnh "nóng" có thể dính líu đến sự suy giảm kích cỡ bộ não cũng như hoạt động não trước các kích thích tình dục.
Theo tạp chí Tâm thần học JAMA, nhóm nghiên cứu do tiến sĩ Simone Kühn đến từ Viện Max Planck ở Berlin đứng đầu, đã tiến hành khảo sát đối với các nam giới khỏe mạnh trong độ tuổi từ 21 - 45 tuổi và hỏi họ về các thói quen xem phim khiêu dâm. Kết quả hé lộ các khác biệt rõ thấy giữa những nam giới ít tiếp xúc phim "nóng" với những người "ghiền" chúng.
Bà Kuhn cho biết: "Chúng tôi khám phá ra rằng, khối lượng của vùng thể vân, vùng não gắn liền với việc xử lý khen thưởng và hành vi có động cơ, nhỏ hơn ở những đối tượng nghiên cứu thông báo xem nhiều phim khiêu dâm hơn. Thêm vào đó, chúng tôi phát hiện, một khu vực não khác góp phần cấu thành vùng thể vân và được kích hoạt khi chủ thể nhìn thấy kích thích tình dục, cũng ít hoạt động hơn ở nhóm thường xuyên xem phim nóng".
![]() |
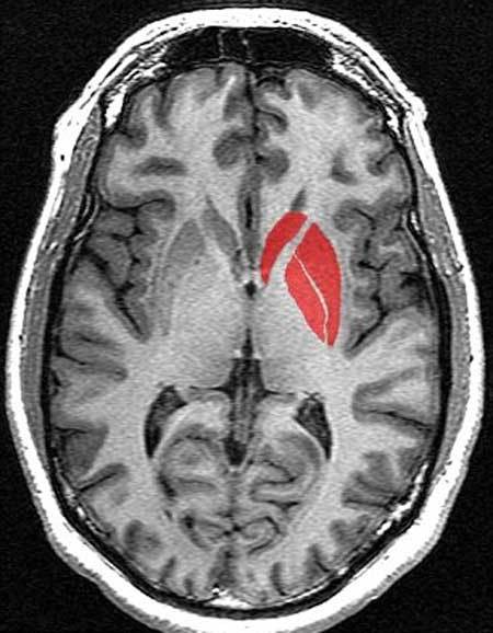
| Vùng thể vân (màu đỏ) trong bộ não của những người đàn ông thường xuyên xem phim "nóng" nhỏ hơn bình thường. Ảnh: Wikipedia |
Tuy nhiên, tiến sĩ Kuhn nhấn mạnh, công trình nghiên cứu của bà và các cộng sự không thể chứng minh việc tiếp xúc thường xuyên với ấn phẩm và phim ảnh khiêu dâm đã gây ra các thay đổi đối với bộ não. Những người đã sở hữu vùng thể vân nhỏ hơn trong bộ não, cũng nhiều khả năng dễ bị sách báo, phim ảnh "nóng" lôi cuốn hơn.
Trong khi đó, các nhà nghiên cứu khác tuyên bố, xem ấn phẩm và phim ảnh "nóng" ở mức độ vừa phải có thể không gây tổn hại nghiêm trọng. Tiến sĩ Gregory Tau thuộc Đại học Columbia (Mỹ) tuyên bố, cần có thêm nghiên cứu, đặc biệt là các nghiên cứu dài hạn hơn để xác định liệu sách báo, phim ảnh "nóng" có dẫn tới những biến đổi não, cả về cấu trúc và chức năng, hay không.
Tuấn Anh (Theo Daily Mail)

