Một người đàn ông Colombia dương tính với HIV đã chết vì bệnh ung thư khởi phát từ bên trong con sán ký sinh trong cơ thể anh. Trường hợp hiếm gặp này được cho là ca bệnh đầu tiên kiểu này được y học biết đến, với các khối u phát triển từ những tế bào ung thư ở sinh vật ký sinh và lan ra khắp cơ thể người bị kí sinh.
![]() |
|
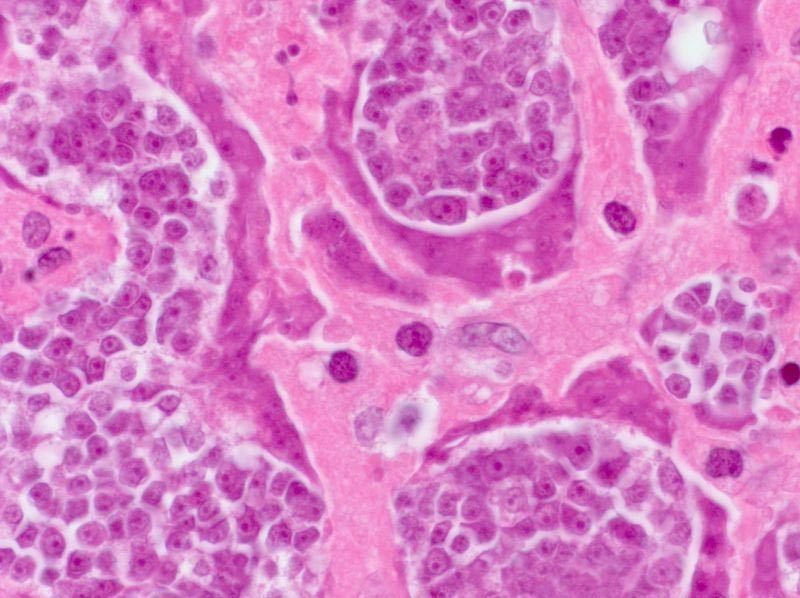
Cận cảnh các tế bào ung thư được trích lấy từ cơ thể bệnh nhân nam người Colombia. Ảnh: CDC |
Theo báo cáo nghiên cứu đăng tải trên tạp chí New England Journal of Medicine, đầu năm 2013, bệnh nhân nam 41 tuổi, người Colombia luôn bị mệt mỏi, sốt, ho và sụt cân suốt nhiều tháng liên tục. Anh từng được chẩn đoán nhiễm virus HIV trước đó 7 năm, nhưng không uống thuốc theo đơn của bác sĩ.
Hậu quả là, số lượng tế bào bạch cầu CD4 của anh thấp đến mức nguy hiểm và các mẫu máu của anh chứa đầy virus. Kết quả phân tích phân hé lộ, bệnh nhân này còn bị nhiễm sán lùn Hymenolepis nana.
Các bác sĩ đã cho người đàn ông nói trên chụp cắt lớp và kinh hoàng phát hiện, hai buồng phổi của anh đày dặc các khối u, có kích cỡ từ 0,4 - 4,4cm. Gan và tuyến thượng thận của anh cũng bị viêm nhiễm. Anh đã được kiểm tra sinh thiết vào thời điểm đó và cho xuất viện về nhà cùng với các loại thuốc kháng HIV và chống sán ký sinh.
Tuy nhiên, tình trạng của nam bệnh nhân sau đó trở nặng hơn, buộc các bác sĩ phải lấy thêm mẫu bệnh phẩm và gửi tới Trung tâm kiểm soát và phòng ngừa dịch bệnh Mỹ (CDC) để phân tích. Các chuyên gia đã nhận thấy một điều kỳ dị: các tế bào trong các mẫu bệnh phẩm rõ ràng bị ung thư ác tính - chúng xâm lấn, phát triển rất nhanh, hành xử một cách lộn xộn, ồ ạt và trông giống hết nhau. Song, các tế bào này sở hữu kích thước nhỏ bất thường, nhỏ hơn gần 10 lần so với tế bào bình thường của người.
Để làm rõ bí ẩn, các nhà khoa học đã tiến hành vô số cuộc kiểm tra, xét nghiệm và cuối cùng khám phá ra rằng, các tế bào khối u chứa ADN của sán H. nana. Đáng tiếc là, lúc đó đã là quá muộn với bệnh nhân và anh tử vong chỉ 72 tiếng đồng hồ sau khám phá.
Khi so sánh ADN sán trong các tế bào khối u của bệnh nhân với hệ gen của một con sán cùng loại bình thường khác, các nhà nghiên cứu cũng phát hiện, 3 trong số các gen đã được nhận diện bị "đứt gãy" hoặc đột biến, ám chỉ các dạng ung thư khác ở người.
Trường hợp này đã gây sửng sốt và lo lắng cho cả các nhà khoa học và các y, bác sĩ. H. nana hiện là loại sán ký sinh phổ biến nhất ở người, tấn công khoảng 75 triệu người trên khắp thế giới, nhưng chưa có trường hợp nào như trên từng được mô tả trước đây. Theo các chuyên gia, mặc dù các tế bào ung thư lan truyền tự nhiên ở một số động vật nhất định, chẳng hạn như chó, nhưng ung thư thực tế không thể truyền nhiễm từ người sang người, mặc dù các yếu tố gây ung thư, chẳng hạn như virus HPV và sán lá gan Schistosoma haematobium có thể lan truyền giữa người với người.
Những người nhiễm sán H. nana thường không có triệu chứng và hệ miễn dịch của họ sẽ loại bỏ sinh vật ký sinh này theo thời gian. Tuy nhiên, bệnh nhân nam người Colombia đã bị virus HIV vô hiệu hóa hệ miễn dịch, khiến các tế bào ký sinh phát triển mất kiểm soát, dẫn đến nguy cơ xảy ra các đột biến sinh ung thư bắt nguồn từ lỗi trong phân chia tế bào.
Mặc dù trường hợp trên dường như độc nhất vô nhị, nhưng do tình trạng nhiễm sán H. nana và HIV phổ biến khắp thế giới nên các chuyên gia lo ngại còn nhiều ca tương tự khác vẫn chưa được phát hiện. Họ khuyến nghị các bác sĩ xem xét cả khả năng này khi chẩn đoán các bệnh nhân bị u ác tính.
Tuấn Anh (Theo IFLScience)
