Một chàng trai 26 tuổi người Trung Quốc đã ngáp dữ dội tới mức khiến một lá phổi của anh bị tổn hại nghiêm trọng.
![]() |
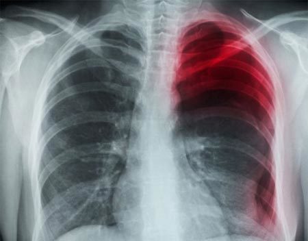
| Ảnh chụp X-quang cho thấy anh Ou bị tràn khí màng phổi tự phát sau khi ngáp. Ảnh: Corbis |
Báo chí Trung Quốc đưa tin, anh Ou, đến từ Vũ Hán thuộc tỉnh Hồ Bắc của nước này đã tự làm rách toạc một lỗ ở phổi khi đang ngáp và duỗi người nhằm làm giãn gân cốt vào buổi sáng. Khi sự cố xảy ra, chàng trai trẻ tuổi chỉ cảm thấy một cơn nhói đau thình lình ở ngực và không để tâm đến nó.
Theo trang ecns.cn, Ou rốt cuộc được đưa vào cấp cứu tại Bệnh viện trung ươngVũ Hán khi cơn đau trở nên mãnh liệt tới mức anh phải chật vật để thở. Các bác sĩ phát hiện, bệnh nhân Ou đã bị tràn khí màng phổi tự phát, hiện tượng xảy ra khi không khí bị mắc kẹt gần một lá phổi.
Các chuyên gia cho biết, hầu hết các trường hợp bệnh như Ou đều xảy ra tự phát và ở lứa tuổi thanh niên. Vài trường hợp có thể bắt nguồn từ một chấn thương vùng ngực hay bệnh phổi và đôi khi là hậu quả của một vết rách nhỏ ở phổi.
Triệu chứng bệnh phổ biến nhất là đau nhói ngực đột ngột, tiếp sau đó là những cơn đau khi hô hấp. Trong hầu hết các trường hợp, bệnh sẽ tự khỏi mà không cần chữa trị, nhưng bệnh nhân sẽ cần được làm sạch không khí mắc kẹt gần phổi nếu nó gây ra những vấn đề hô hấp.
Bệnh tràn khí màng phổi tự phát xuất hiện với tỷ lệ 2/10.000 người trưởng thành trẻ tuổi, và đàn ông có nguy cơ bị bệnh cao gấp 4 lần phụ nữ. Theo chuyên gia phẫu thuật tim Chen Baojun, căn bệnh này có thể bắt nguồn từ nhiều nguyên nhân khác nhau, nhưng những nam giới trẻ cao, gầy thuộc nhóm có nguy cơ cao bị bệnh "tấn công".
Chính thể tạng mảnh khảnh của Ou, với chiều cao 1m75 và cân nặng gần 59kg, được cho là căn nguyên dẫn tới tổn thương bất thường ở phổi vì ngáp.
Tuấn Anh (Theo Daily Mail)
