Khi các bác sĩ kiểm tra phim chụp X-quang hai đầu gối của một cụ bà đang bị đau khớp nghiêm trọng, họ đã phát hiện một "mỏ" vàng, thực chất là hàng trăm chiếc kim châm cứu tí hon bằng vàng, bị bỏ lại trong mô của bà.
![]() |
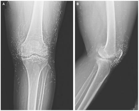
| Phim chụp X-quang cho thấy, hàng trăm chiếc kim bằng vàng cố ý bị bỏ lại bên trong mô đầu gối của nữ bệnh nhân cao tuổi. Ảnh: New England Journal of Medicine |
Cụ bà 65 tuổi người Hàn Quốc trước đó được chẩn đoán mắc chứng viêm khớp mãn tính, một căn bệnh mà sụn và xương bên trong các khớp bị thoái hóa, gây đau đớn và cứng khớp. Dẫu vậy, theo tạp chí New England Journal of Medicine, khi các thuốc giảm đau và chống viêm sưng không xoa dịu được cơn đau ở hai đầu gối và còn gây thêm khó chịu ở dạ dày, cụ bà đã tìm tới liệu pháp châm cứu.
Châm cứu được coi là một liệu pháp chữa bệnh thay thế, sử dụng những chiếc kim để kích thích các điểm nhất định trên cơ thể, nhằm làm giảm đau hoặc điều trị nhiều chứng bệnh khác nhau. Trong quá trình châm cứu cho cụ bà nói trên, các thầy thuốc y học cổ truyền đã cố tình để lại những chiếc kim làm bằng vàng găm trong mô của bà để tiếp tục tạo ra sự kích thích.
Tuy nhiên, theo tiến sĩ Ali Guermazi, giáo sư chuyên ngành X-quang tại Đại học Boston (Mỹ) và không liên quan đến việc chữa trị cho cụ bà Hàn Quốc, việc để lại kim hoặc bất kỳ vật thể nào khác trong cơ thể không phải là ý kiến hay. Lí do là vì, các vật thể lạ bị bỏ lại bên trong cơ thể có thể dẫn tới tình trạng viêm, áp xe và nhiễm trùng. Chúng cũng có thể gây khó khăn cho bác sĩ đọc phim X-quang.
"Những chiếc kim có thể che khuất một phần của bộ xương. Cơ thể người luôn muốn loại bỏ các vật lạ. Nó bắt đầu với cơ chế tự vệ nào đó, chẳng hạn như viêm sưng và hình thành mô xơ quanh dị vật", ông Guermazi giải thích.
Ngoài ra, những chiếc kim bị bỏ lại bên trong cơ thể còn gây ra những thách thức khác. Chẳng hạn như, bệnh nhân không thể đi chụp cộng hưởng từ (MRI) vì kim có thể di động, gây tổn thương động mạch.
Ở các nước châu Á, liệu pháp châm cứu hiện được sử dụng rộng rãi để việc điều trị bệnh đau khớp và việc châm những chiếc kim bằng vàng, vô trùng quanh khớp xương là một cách điều trị phổ biến đối với chứng viêm khớp mãn tính. Dẫu vậy, các chuyên gia phương Tây vẫn tỏ ra hoài nghi về phương pháp chữa trị cổ truyền này, viện dẫn lí do rằng, chẳng có mấy bằng chứng khẳng định châm cứu thực sự hiệu quả.
Tuấn Anh (Theo Live Science)
