odd news

Update news odd news

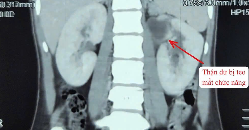
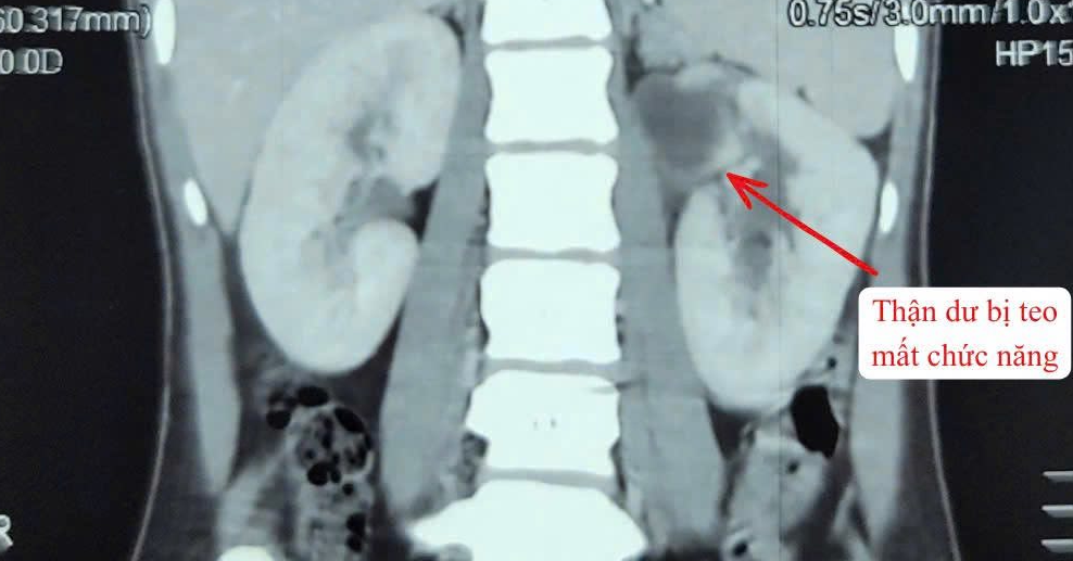
Young woman diagnosed with extremely rare triple-kidney condition

A 22-year-old woman has been successfully treated for an exceptionally rare congenital urinary anomaly involving three kidneys, doctors at Quang Nam Regional General Hospital announced on March 27.

Ten daughters, ten sons-in-law, one deeply rooted family bond

The devotion shown by ten daughters and their husbands has brought comfort to an elderly mother, offering quiet reassurance after decades of hardship raising her children.

Man with 23cm eyebrows draws attention in Ho Chi Minh City

His naturally long eyebrows have become a unique feature that attracts both locals and tourists.

Woman gives birth safely at 60 in rare high-risk delivery

Doctors at the National Hospital of Obstetrics and Gynecology in Hanoi have successfully performed a cesarean section for a 60-year-old woman, delivering a healthy baby boy.

Rare oarfish over 4 meters long washes ashore in Vietnam

A giant oarfish, also known locally as a “dragon ribbon fish,” measuring more than 4 meters in length and weighing around 20kg, was recently found washed ashore in Tan Hai commune, Lam Dong province.

115-year-old woman in Nghe An recovers after family prepared funeral

A 115-year-old woman in Nghe An recovered unexpectedly after severe illness, despite her family preparing funeral arrangements.

Brothers marry sisters, forming a warm and harmonious family in Hung Yen

A unique marriage arrangement in Hung Yen has brought two families even closer, as two brothers married two sisters. The special bond has created a warm, close-knit household where family members support and care for one another.

Raising eight children at 32: a mother’s demanding but joyful life

At just 32 years old, Mai Thi Thao from Thach Hoa commune in Quang Tri province is already the mother of eight children after six pregnancies.

A house of ten children, forty grandchildren and endless Tet joy

Every Lunar New Year, the small home of Nguyen Van Vy, born in 1944, and Dang Thi Ngot, born in 1946, in Thanh Hoa bursts into laughter as their 10 children and dozens of grandchildren return to celebrate Tet together.

Da Nang angler lands 63kg king mackerel after intense hour-long battle

An unforgettable day on Son Tra peninsula as a veteran fisherman hooks a rare giant mackerel and hauls it home after a grueling mountain trek.

Doctors extract giant hairball blocking intestines of 9-year-old girl in HCMC

Doctors at FV Hospital in HCM City have successfully treated a rare and complex case of intestinal blockage in a 9-year-old girl, caused by a massive, tightly coiled clump of hair stretching nearly one meter from her stomach to her small intestine.

The buffalo with necklace-shaped horns: a quiet legend in rural Da Nang

In Da Nang, a rare buffalo with horns forming a full circle around its head has become both a local curiosity and an economic blessing.

A miracle in the Mekong: Wild fish flock to riverside sanctuary

A school of wild fish, dubbed “heaven-sent” by locals, has unexpectedly taken up residence in the Tien River. Cared for and protected daily, these fish have become cherished symbols of Dong Thap - and a growing tourist draw.

Early loudspeakers divide Vietnamese neighborhoods: Culture or nuisance?

From Bac Ninh to Da Nang, dawn loudspeaker broadcasts are sparking fierce debate as residents demand peace and officials weigh the line between tradition and disturbance.

Heart-stopping moment as man crashes through rooftop in Bac Ninh

A dramatic video capturing the moment a young man crashed through a rooftop and landed inside a barber shop in Bac Ninh has gone viral, leaving viewers holding their breath.

The ‘grass market’ of An Giang: Selling what others throw away

A unique market in Vietnam’s An Giang province has sold nothing but grass for decades - yet it sustains the lives of many families.

Vietnam’s first: Father donates kidney to son after brain death

In a rare and unprecedented transplant at Viet Duc Hospital, a third-year university student suffering from chronic kidney failure has received a life-saving kidney from his brain-dead father.

Pregnant woman’s severed hand reattached after being ‘stored’ on her leg

A 20-year-old carrying twins had her hand amputated in a work accident. Doctors at Binh Duong General Hospital saved it by attaching it to her leg - then performed a complex reattachment.

HCM City residents play badminton in street, prompting police action

A group of four men who regularly set up a badminton net across a public road in Ho Chi Minh City - causing traffic disruption and public frustration - have been summoned by local police for processing.

Five years apart, love unites 'tiny couple' in emotional first meeting

Distance, time, and hardship couldn’t break the bond between this special pair who finally chose each other in real life.