Ngoài nguyên nhân như tinh hoàn ẩn, nhiễm trùng, xoắn tinh hoàn,… vô sinh nam giới còn do những nguyên nhân về di truyền và được các chuyên gia khuyên cáo nên làm xét nghiệm, từ đó làm tăng cơ hội có thai ở các cặp đôi hiếm muộn.
Đây là những thông tin được chia sẻ tại Hội thảo: “Cập nhật xét nghiệm trong chẩn đoán và theo dõi điều trị vô sinh” do Bệnh viện Đa khoa MEDLATEC tổ chức vừa qua.
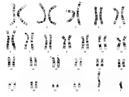
Bất thường nhiễm sắc thể
![]() |
|
Nên làm xét nghiệm nhiễm sắc thể các trường hợp cặp vợ chồng có bất thường thai sản. |
Bất thường thai sản do nhiều nguyên nhân gây nên như nội tiết, bất thường giải phẫu, nhiễm trùng,... đặc biệt yếu tố di truyền cần chẩn đoán, tiên lượng và tư vấn di truyền.
Với nội dung báo cáo: “Tìm hiểu một số bất thường nhiễm sắc thể ở những cặp vợ chồng có bất thường thai sản”, PGS. TS. Hoàng Thị Ngọc Lan - Phó Giám đốc Trung tâm Chẩn đoán trước sinh, Bệnh viện Phụ sản Trung ương cho biết: Những cặp vợ chồng có bất thường nhiễm sắc thể thì tỉ lệ sảy thai, thai chết lưu cao, vì vậy xét nghiệm nhiễm sắc thể đồ là xét nghiệm cần được xem xét chỉ định rộng rãi. Kết quả nghiên cứu trên 715 cặp vợ chồng có sảy thai và thai chết lưu thì có tới 37 cặp vợ chồng có bất thường nhiễm sắc thể (5%), trong đó có 1 cặp bất thường về số lượng (XYY) và 36 cặp bất thường cấu trúc nhiễm sắc thể.
PGS. TS. Hoàng Thị Ngọc Lan khuyến cáo: ngoài việc loại trừ các nguyên nhân về giải phẫu, nên chỉ định xét nghiệm nhiễm sắc thể thường quy và rộng rãi cho các trường hợp cặp vợ chồng có bất thường thai sản như sảy thai, thai chết lưu, đặc biệt những trường hợp có thai lưu, sảy thai từ 2 lần trở lên. Đồng thời, quản lý, theo dõi chặt chẽ thai nghén của các cặp vợ chồng có bất thường NST, sàng lọc chẩn đoán trước sinh để tư vấn kịp thời, cũng như tư vấn họ nên sinh con hay không sinh con. Khi có bất thường, bệnh nhân làm các kỹ thuật sinh sản hỗ trợ phù hợp, vì sinh con ra sẽ có bất thường, dị tật, nên khi có kết quả nhiễm sắc thể bất thường cần xin trứng hoặc tinh trùng của người khác.
Xóa đoạn gen trên nhiễm sắc thể giới tính Y
![]() |
|
Hình ảnh chuyển gen SRY lên nhiễm sắc thể X. |
TS.BS Nguyễn Khắc Hân Hoan - Khoa Xét nghiệm Di truyền Y học, Bệnh viện Từ Dũ cho biết: có khoảng 50% cặp vô sinh có nguyên nhân do nam giới, trong đó nguyên nhân do gen và nhiễm sắc thể chiếm 10-15%. Vô sinh nam do bất thường nhiễm sắc thể Y gây rối loạn phát triển tinh bào, giảm hoặc không tạo tinh trùng,...
Bất thường về gen gây rối loạn sản xuất tinh trùng, TS Hoan dẫn ra trường hợp bệnh nhân có 46,XX nhưng là nam, do chuyển đoạn gen SRY lên nhiễm sắc thể X, tức vùng quyết định giới tính trên nhiễm sắc thể Y, bệnh nhân này phát triển tinh hoàn bất thường và phát triển giới bất thường.
Vì vậy, TS.BS Nguyễn Khắc Hân Hoan đưa ra những trường hợp cần chỉ định xét nghiệm AZF như không có hoặc ít tinh trùng trong tinh dịch, trước khi phẫu thuật điều trị giãn tĩnh mạch tinh, anh trai hoặc em trai ruột có tiền sử phát hiện bất thường đoạn AZF.
Đứt gãy DNA tinh trùng
![]() |
|
Đứt gãy DNA tinh trùng làm giảm khả năng thụ tinh. |
Ngoài yếu tố vô sinh do di truyền tiềm tàng trong cơ thể nam giới thì theo PGS. TS Phan Thị Hoan, Bộ môn Y Sinh học - Di truyền, ĐH Y Hà Nội nguyên nhân gây vô sinh nam là do yếu tố môi trường.
Tại hội thảo, PGS Hoan cho biết:có khoảng 10% nam giới vô sinh có kết quả tinh dịch đồ bình thường. Vậy nguyên nhân gây vô sinh nam do đâu? Các nhà nghiên cứu cho thấy: nguyên nhân vô sinh là do đứt gãy DNA tinh trùng.
Các nguyên nhân gây đứt gãy DNA tinh trùng gồm: nguyên nhân tại hệ sinh dục nam (nhiễm trùng tuyến sinh dục, tinh trùng ở lâu trong mào tinh và ống dẫn tinh,…), yếu tố môi trường, lối sống (thuốc lá, môi trường và phóng xạ), bệnh hệ thống (đái tháo đường, ung thư, nhiễm trùng toàn thân). Đứt gãy DNA tinh trùng làm giảm khả năng thụ tinh, giảm chất lượng phôi thai, từ đó làm giảm hiệu quả điều trị vô sinh.
Hiện nay, xét nghiệm Halosperm được dùng để đánh giá độ đứt gãy và từ đó tiên lượng cho các phương pháp hỗ trợ sinh sản. Khi chỉ số DFI (chỉ số đứt gãy DNA tinh trùng) > 30% thì nếu để phôi thai phát triển thì nguy cơ sẩy thai, thai lưu, dị tật bẩm sinh ... rất cao. Đồng thời khi chỉ số DFI > 30% thì khi thụ tinh nhân tạo, IUI, IVF ... khả năng thành công rất thấp. Cơ hội duy nhất của bệnh nhân là thụ tinh trong ống nghiệm bằng tiêm tinh trùng trực tiếp vào noãn để tạo phôi (ICSI).
Đặc biệt, kết quả nghiên cứu trên 300 bệnh nhân vô sinh hiếm muộn nam giới, có độ tuổi từ 18 tuổi và có tinh dịch đồ bình thường cho thấy: trường hợp nam giới có DFI > 30% chiếm tỷ lệ khá cao là 41%. PGS Hoan khuyến cáo: cần phổ biến xét nghiệm Halosperm và ứng dụng xét nghiệm này trong tìm nguyên nhân vô sinh hiếm muộn ở nam giới có tinh dịch đồ bình thường và cả bất thường.
|
Bệnh viện Đa khoa MEDLATEC hiện đáp ứng đầy đủxét nghiệm chẩn đoán bệnh lý sản - phụ - nam khoa và đang được thực hiện hàng ngày trên hệ thống xét nghiệm đạt tiêu chuẩn quốc tế ISO 15189:2012. Những xét nghiệm chẩn đoán bệnh lý sản - phụ - nam khoa gồm: - Nhóm xét nghiệm trước mang thai (sàng lọc trước mang thai, chẩn đoán vô sinh nam, nữ và bệnh lý di truyền), - Trong khi mang thai (sàng lọc trước sinh, chẩn đoán các bất thường sinh sản), Sau khi sinh (sàng lọc sơ sinh, các bệnh lây truyền từ mẹ sang con, chẩn đoán ung thư trong sản phụ khoa),….; |
Thanh Loan


