Vừa qua, một người phụ nữ 32 tuổi giấu tên đã đi khám ở một bệnh viện ở Michigan, Hoa Kỳ vì bị đau vùng bụng dưới. Tình trạng đã kéo dài trong khoảng một tuần, và nó càng trở nên tồi tệ. Ngoài cơn đau, cô còn sốt cao và ớn lạnh về đêm.
Những trị liệu ban đầu chỉ là thuốc kháng sinh nhưng cơn đau vẫn không thuyên giảm. Vì vậy, các bác sĩ quyết định xét nghiệm chuyên sâu hơn, và kết quả cho thấy buồng trứng của người phụ nữ có vấn đề.
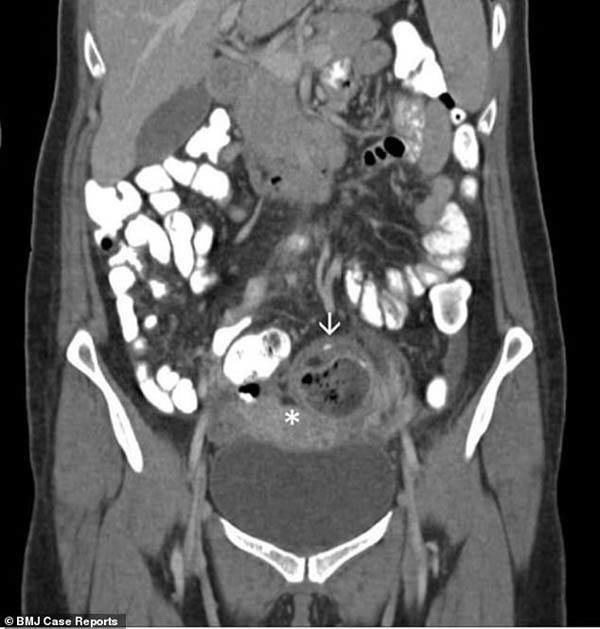
Buồng trứng phải khỏe mạnh và đạt tiêu chuẩn nhưng buồng trứng trái lại có kích thước rất lớn, lên đến 6,7cm x 5cm (kích cỡ bình thường khoảng 3cm). Và bên cạnh buồng trứng, có thêm một khối u nang có kích thước 4,7cm x 4cm.

Người phụ nữ bị u nang ở một trong hai buồng trứng (khối tối được chỉ định bởi mũi tên).
Khi loại bỏ khối u, các bác sĩ rất bất ngờ khi thấy nó tỏa mùi hôi và bên trong có chứa rau, tóc người, chất béo và canxi tích tụ. Khối u sau đó được xác định là u nang da, các dấu hiệu bất thường trên có thể do bội nhiễm.
“Trong khối u này chứa bã nhờn, tóc và chất xơ thực vật”, các bác sĩ nói, “Lý do u nang chứa rau có thể do ruột của người phụ nữ bị thủng và bị rò rỉ ra ngoài”. Tuy vậy, họ không có bằng chứng và đưa ra kết luận chính xác về việc tại sao khối u có chứa rau bên trong.
Tiền sử bệnh tật của người phụ nữ tiết lộ cô đã sinh hai lần bằng phương pháp sinh mổ nhưng không liên quan đến tình trạng này.
Các bác sĩ phẫu thuật đã cắt bỏ u nang của cô và điều trị bằng kháng sinh trong bệnh viện. Chín ngày sau đó, người phụ nữ đã hồi phục hoàn toàn và được xuất viện.
U nang da là gì?

U nang có thể chứa vôi hóa giống như tóc và răng.
U nang da là sự tăng trưởng có thể xảy ra trên buồng trứng của phụ nữ và còn được gọi là u quái. Đây là một dạng u phát triển từ tế bào mầm. U quái có một túi nang chứa đầy dịch lỏng. Khi u nang này phát triển, nó sẽ có nguy cơ tạo ra một cấu trúc tương tự cơ thể một... thai nhi bên trong túi nang.
Chính vì vậy, y học đã ghi nhận được một số trường hợp mọc tóc, răng, xương, thậm chí, có trường hợp còn xuất hiện các cơ quan cơ thể như mắt, thân mình chưa hoàn chỉnh, bàn tay, bàn chân hay cẳng chân, cánh tay...
Chúng thường phát triển từ các tế bào bị bỏ lại trong tình trạng không bao giờ phát triển đầy đủ sau khi bệnh nhân được sinh ra. Vì lý do này, các tế bào sở hữu mọi thứ chúng cần để biến thành bất kỳ loại mô nào, nhưng vẫn chưa rõ tại sao hiện tượng lạ và thường vô hại xảy ra với một số phụ nữ chứ không phải những người khác.
Hầu hết các u nang, mặc dù chúng có thể phát triển lớn và chèn vào các cơ quan và mô khác, chúng có thể được loại bỏ một cách an toàn bằng phẫu thuật.
An An (Dịch theo Daily Mail)

Bà cụ 93 tuổi có 44 năm chiến đấu với ung thư tiết lộ bí quyết sống khỏe
Mang trong mình căn bệnh ung thư vú suốt 44 năm nhưng bà Lưu 93 tuổi vẫn giữ được sức khỏe tốt, mái tóc vẫn đen, giọng nói rõ ràng, thính lực và tinh thần vô cùng minh mẫn, lạc quan.