Bé gái có 2 tử cung, 2 âm đạo nhưng có 1 âm đạo không thông với màng trinh dẫn đến việc ứ máu khi đến tháng, gây đau bí tiểu và táo bón.
Đầu tháng 4 vừa qua, Bệnh viện Đa khoa Tâm Trí Đà Nẵng tiếp nhận một trường hợp bé gái 15 tuổi nhập viện cấp cứu vì bí tiểu cấp kèm đau tức bụng dưới nhiều.
Bé gái này đã đến tuổi dậy thì, đến tháng được 3 lần, mỗi lần lượng máu kéo dài 1 tuần nhưng không nhiều, xuất hiện đau tức bụng dưới nhiều kèm theo đi tiểu khó, táo bón đã 2 tuần.
Sau khi được nhập viện, bé được thông tiểu. Kiểm tra qua đường trực tràng có khối căng to đè vào trực tràng và kết quả siêu âm thấy khối tụ máu lớn 140x60mm, lan từ tử cung đến âm đạo, buồng trứng. Thận phải chỉ có một quả thận.
Sau hội chẩn, Bác sĩ khoa Sản đã thống nhất chẩn đoán bé nằm trong trường hợp dị dạng sinh dục vách ngăn âm đạo biến chứng ứ máu kinh hiếm gặp. Các bác sĩ đã tiến hành rạch hình chữ thập phần âm đạo đang căng phồng, giải phóng ra 500ml máu đặc sẫm màu.
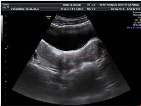
![]() |
|
Hình ảnh siêu âm cho thấy 2 tử cung đều dị dạng (Ảnh: BV cung cấp) |
Sau tiến hành phẫu thuật, kiểm tra siêu âm lại các bác sĩ kết luận bé gái bị dị dạng 2 tử cung, 2 âm đạo nhưng có 1 âm đạo không thông với màng trinh dẫn đến việc ứ máu khi đến tháng, gây đau cũng như chèn ép gây bí tiểu và táo bón. Bên cạnh là dị dạng tiết niệu với một quả thận duy nhất.
Theo Bác sĩ Nguyễn Thị Lệ - Bác sĩ Sản khoa tại Bệnh viện Đa khoa Tâm Trí Đà Nẵng: Dị dạng sinh dục nữ chiếm tỉ lệ khoảng 3%, là những bất thường về cấu trúc của cơ quan sinh dục, do sự rối loạn quá trình biệt hóa các bộ phận sinh dục trong thời kỳ bào thai, thường kèm có dị dạng thận - tiết niệu. Theo bác sĩ, bất kỳ một dị dạng nào đều có thể ảnh hưởng đến hoạt động tình dục cũng như chức năng sinh sản của người phụ nữ.
“Các chị em và các bậc phụ huynh nếu thấy con em mình có bất thường về kinh nguyệt, đau bụng dưới nên đi khám phụ khoa để được bác sĩ khám, kiểm tra và tư vấn, tránh để những biến chứng không mong muốn về sau” – bác sĩ Lệ khuyến cáo.
(Theo PLO)
