Chị Hương, 38 tuổi ở Hà Lộc, Thị xã Phú Thọ cho biết, khi mang thai dược 28 tuần, chị được bác sĩ thông báo thai nhi có dấu hiệu giãn đài bể thận trái, theo dõi hẹp khúc nối bể thận – niệu quản trái.
Mặc dù rất lo lắng, bất an song khi được các bác sĩ động viên và tư vấn hướng xử trí sau sinh, chị yên tâm và chú ý hơn trong việc theo dõi thai kỳ.
Sau khi chào đời, trẻ được gia đình đưa đi khám và phát hiện thận – niệu quản đôi bên trái nhưng chưa có chỉ định mổ. Gia đình vẫn duy trì việc theo dõi sức khỏe, cho trẻ khám định kỳ 3-6 tháng/lần.

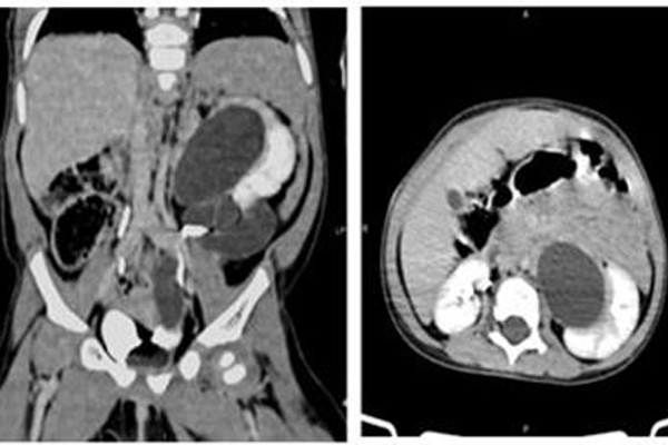
Hình ảnh 3 quả thận nhìn rõ sau khi chụp cắt lớp vi tính
Gần đây, gia đình phát hiện thấy hố thận trái của trẻ to hơn bình thường kèm theo tiểu són nên đưa đến TT Sản nhi, BV đa khoa tỉnh Phú Thọ kiểm tra lại. Ngay lập tức, bác sĩ đã chỉ định nhập viện để phẫu thuật.
BS Triệu Mạnh Toàn, Phó khoa Ngoại nhi tổng hợp cho biết, bệnh nhi bị giãn đài bể thận trái, có 2 thận trái với 2 hệ thống đài bể thận và niệu quản riêng biệt, đơn vị thận phụ bên trái (đơn vị thận trên) ứ nước do sa lồi niệu quản vào lòng bàng quang, còn chức năng. Thận dưới trái hình thái và chức năng bình thường.
“Đây là ca phẫu thuật khá phức tạp. Bệnh nhi được cắt bỏ một phần niệu quản thận phụ giãn lớn, nối niệu quản thận phụ vào bể thận chính, đặt JJ niệu quản thận phụ. Sau mổ ngày thứ nhất trẻ đã ăn uống bình thường và tự đi lại. Đến ngày thứ 2 trẻ được rút toàn bộ sonde. Sau 5 ngày điều trị hậu phẫu, sức khỏe bệnh nhi ổn định và được cho xuất viện”, BS Toàn thông tin.
BS Toàn cho biết, thận – niệu quản đôi là dị tật hay gặp nhất của đường tiết niệu trên với tỉ lệ khoảng 0.67% – 1%, chiếm hàng thứ 2 trong dị dạng đường tiết niệu trên (sau thận nước do hẹp khúc nối bể thận-niệu quản). Dị dạng thường gặp ở nữ nhiều hơn nam.

BS khám lại cho bệnh nhi trước khi xuất viện
Bệnh có nhiều hình thái khác nhau, có thể thận niệu quản đôi 1 bên hoặc 2 bên, thận niệu quản đôi hoàn toàn hoặc không hoàn toàn.
Tùy thuộc hình thái bệnh và mối tương quan giữa thận niệu quản chính- phụ, niệu quản đổ vào bàng quang mà có chỉ định can thiệp phù hợp.
Do đó sự phong phú của thương tổn đôi khi là một thách thức không chỉ cho những phẫu thuật viên nhi mà cả với những nhà chẩn đoán hình ảnh.
Tuy nhiên, dị tật đường tiết niệu có thể phát hiện trong thời kỳ bào thai qua siêu âm. Do đó, BS Toàn khuyến cáo các thai phụ nên tuân thủ đúng việc khám thai định kỳ tại những cơ sở y tế uy tín để có thể phát hiện bệnh sớm và có hướng điều trị sau sinh phù hợp.
Ngoài ra, để phòng ngừa dị tật tiết niệu cho con, các thai phụ cần giữ sức khỏe tốt, ăn uống đủ chất, ngủ đủ giấc và thư giãn tinh thần; cẩn trọng với mọi loại thuốc và hóa chất trong trong 3 tháng đầu thai kỳ.
Thúy Hạnh

Quyết định táo bạo của người mẹ trong ca ghép thận nhi đầu tiên 15 năm trước
- Cô bé Nhật Trúc nhỏ như cái “bình thủy” chỉ cao 80 cm – bệnh nhi ghép thận đầu tiên ở Việt Nam đã đi trọn hành trình giấc mơ tiếp nối sự sống.
- Bé gái 16 tháng tuổi có tới tới 3 quả thận và 3 ống niệu quản riêng biệt, buộc bác sĩ phải cắt bỏ.