Ngày 9/1, Bác sĩ Võ Hòa Khánh, Trưởng phòng Quản lý chất lượng, Bệnh viện Chấn thương - Chỉnh hình TP.HCM cho biết, bác sĩ xót xa khi phải cắt bỏ chân phải cho bệnh nhi L.T.T.N (12 tuổi).

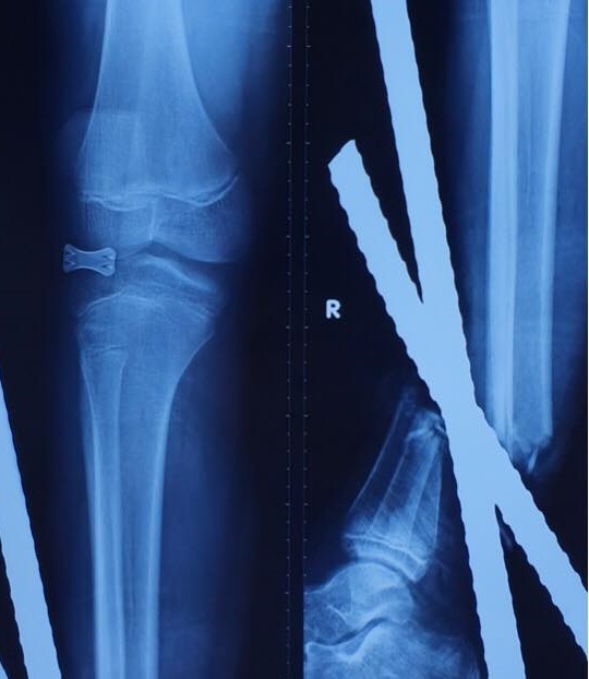
Ảnh chụp X-quang những cây sắt xuyên qua cổ chân và bàn chân. Ảnh:BSCC
Em N. nhập viện trong tình trạng 3 cây sắt đâm xuyên bàn chân và cổ chân phải. Theo lời kể của gia đình, bệnh nhi lái xe máy rồi tông vào xe ba gác, té vào đống sắt nên bị 3 cây đâm vào cổ chân và bàn chân. Lúc nhập viện, em N. được chẩn đoán gãy hở 1/3 dưới hai xương cẳng chân phải. Ê-kíp cấp cứu nhanh chóng đưa bé lên bàn mổ khẩn cấp, tiến hành cắt lọc, cố định xương bằng bất động ngoài, ghép động mạch chày trước, sau rồi nối cả dây thần kinh và gân.
Quan 6 tiếng, bác sĩ tiếp tục phẫu thuật lần 2 ghép lại động mạch do bị tắc. Sau đó, bác sĩ tiến hành phẫu thuật lần 3 để cố gắng cứu chân bé, song vẫn ghi nhận bàn chân lạnh, máu thông kém. Vài ngày sau chân không tưới máu, bị lạnh, tím nên đành lòng phải cắt cụt.

Bác sĩ nỗ lực cứu chân bé trai, song tổn thương quá nặng nên xót xa cắt chân giữ tính mạng cho bệnh nhi. Ảnh: BSCC
Theo bác sĩ Khánh, đây là 1 trường hợp rất đáng tiếc cho bệnh nhân, tổn thương ban đầu quá nặng nề: 3 cây sắt xuyên với 1 lực rất manh nên gây ra tổn thương phức tạp, dập tắc và đứt các mạch máu nhiều tầng. Dù bác sĩ chuyên khoa cố gắng giữ chân đến 3 lần, song phải cắt bỏ chân để giữ lại tính mạng bệnh nhi.
Qua câu chuyện bé 12 tuổi đi xe máy tông vào xe ba gác, bác sĩ cho rằng đây là 1 vấn đề không an tòa, mong các phụ huynh nhận thức và quan tâm đến bé nhiều hơn để tránh những tai nạn đáng tiếc.
Phan Nhơn
Bác sĩ nỗ lực cứu chân bệnh nhi nhưng bất thành, do 3 cây sắt làm cắt đứt hết các mạch, gân, buộc bác sĩ phải cưa chân phải để giữ mạng sống cho bé.