Một bệnh hiểm ở “cậu nhỏ” dễ gây mất giống hay vô sinh. Đó là bệnh xoắn tinh hoàn. Ai dễ bị xoắn tinh hoàn? Cách chữa như thế nào để khỏi bị mất giống? Câu trả lời có trong bài viết sau đây.
Ai dễ bị xoắn tinh hoàn?
Tình trạng tinh hoàn tự xoay quanh trục gây tắc nghẽn đột ngột mạch máu thừng tinh nuôi tinh hoàn gọi là xoắn tinh hoàn. Bệnh nhân bị xoắn tinh hoàn kéo dài có thể dẫn đến hoại tử tinh hoàn, phải cắt bỏ. Tuy nhiên nếu được phát hiện và điều trị sớm trong vòng vài giờ, tinh hoàn có thể được cứu nguy. Mặc dù xoắn tinh hoàn có thể xảy ra ở mọi lứa tuổi, nhưng thường gặp nhất ở độ tuổi từ 10-25. Trong đó có tới 65% xoắn tinh hoàn xảy ra ở thanh thiếu niên từ 12-18 tuổi; ở nam giới dưới 25 tuổi, cứ trong 4000 người có ít nhất 1 người bị xoắn tinh hoàn.
![]() |
|
Xoắn tinh hoàn thường gặp nhất ở độ tuổi từ 10-25. |
Bệnh do di truyền, nghĩa là cha bị xoắn tinh hoàn thì con cũng bị xoắn tinh hoàn. Điều đáng lo nhất là bệnh di truyền này thường ảnh hưởng ở cả 2 tinh hoàn hai bên. Các trường hợp: chấn thương bìu; hoạt động thể lực mạnh như tập thể dục thể thao, chạy nhảy vui đùa…; khi nằm ngủ ban đêm dễ bị xoắn tinh hoàn.
![]() |
|
Chạy nhảy dễ bị xoắn tinh hoàn. |
Nếu một người đã từng bị xoắn tinh hoàn nhưng các triệu chứng đã thuyên giảm, vẫn có khả năng bị xoắn trở lại ở bất cứ tinh hoàn bên nào. Xoắn tinh hoàn thường xảy ra vào những ngày trời lạnh, bởi nhiệt độ lạnh làm cho cơ bám da bìu co lại. Vì thế xoắn tinh hoàn còn được gọi là “hội chứng mùa đông”. Tuy nhiên nếu bạn sử dụng mày điều hòa nhiệt độ từ 16-22oC, thì ngay giữa ngày hè vẫn có những nơi, những phòng có nhiệt độ thấp như mùa đông và dễ bị xoắn tinh hoàn. Khi bạn đi máy bay, vào khu vui chơi giải trí “băng đăng”… nguy cơ bệnh hiểm của “cậu nhỏ” xảy ra là chuyện có thể gặp.
![]() |
|
Đến những nơi lạnh, phái mạnh dễ bị xoắn tinh hoàn. |
Một dị dạng bẩm sinh có tên “quả lắc chuông” (Bell clapper deformity): là tình trạng trục dài của tinh hoàn nằm ngang thay vì theo trục dọc của cơ thể. Bất thường kiểu quả lắc chuông này khiến tinh hoàn xoay trên thừng tinh, gây tắc mạch và tụ máu, hậu quả là thiếu máu động mạch nuôi tinh hoàn gây hoại tử tinh hoàn.
Xoắn tinh hoàn xảy ra như thế nào?
Khi gặp các điều kiện thuận lợi, xoắn tinh hoàn xảy ra với các triệu chứng: đột ngột xuất hiện cơn đau dữ dội hoặc chỉ đau âm ỉ ở một bên tinh hoàn. Nhìn thấy bìu bên bị xoắn sưng to, chạm vào đau. Bạn cảm thấy buồn nôn và có khi bạn nôn thật sự. Có khi kèm theo đau bụng. Bên tinh hoàn bị xoắn sẽ ở vị trí cao hơn bên bình thường.
![]() |
|
Tinh hoàn bình thường (phải) và tinh hoàn bị xoắn (trái) - ở vị trí cao hơn. |
Nếu đau tinh hoàn đột ngột biến mất mà không cần điều trị, thì đó là do tư thế của bạn đã vô tình giúp tinh hoàn tự tháo xoắn. Nhưng nếu may lần này thì bạn vẫn phải luôn nhớ rằng tinh hoàn rất dễ bị xoắn trở lại lần sau.
![]() |
|
Tinh hoàn xoắn theo chiều mũi tên. |
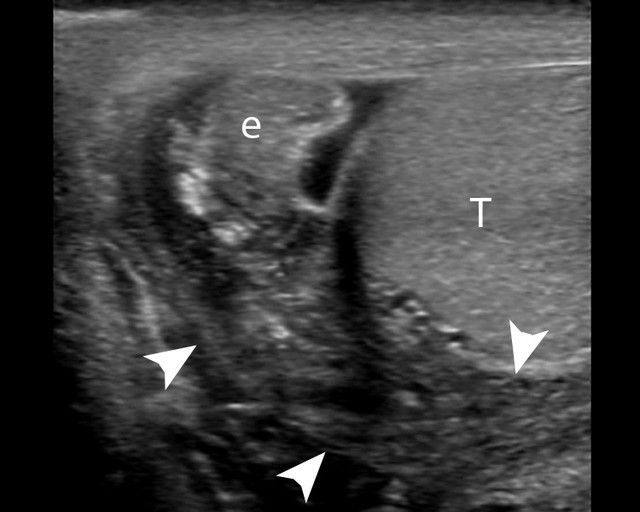
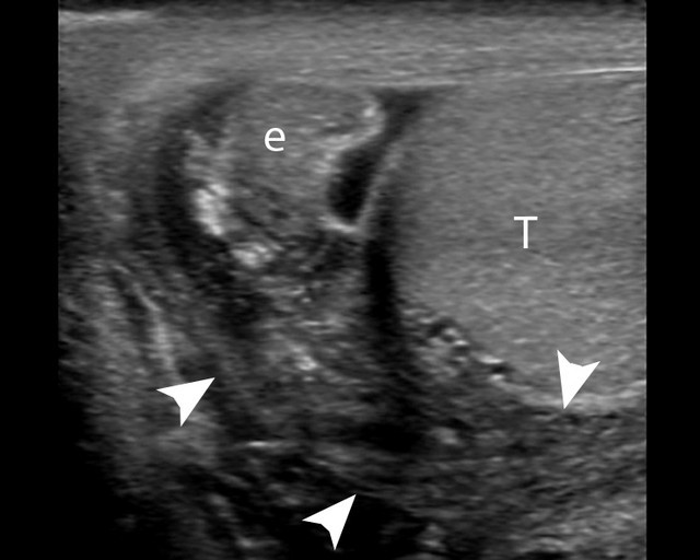
Chẩn đoán bệnh, bác sĩ kiểm tra phản xạ của bệnh nhân bằng cách chà xát hoặc véo mặt trong đùi phía bên tinh hoàn bị xoắn: ở người bình thường, tinh hoàn sẽ co lại, còn ở bệnh nhân bị xoắn tinh hoàn thì phản xạ này không có, tức là không thấy tinh hoàn co lại. Siêu âm Doppler màu: có thể phát hiện bệnh dựa vào lưu lượng máu đến tinh hoàn giảm.
![]() |
|
Hình ảnh siêu âm xoắn tinh hoàn. |
Scan phóng xạ (Radionuclide scans) có độ chính xác đến 90-100% để phát hiện lưu lượng máu đến tinh hoàn suy giảm. Biến chứng nguy hiểm của xoắn tinh hoàn là: hoại tử tinh hoàn; nhiễm khuẩn tinh hoàn bị xoắn; vô sinh do mất tinh hoàn; biến dạng tinh hoàn.
Xoắn tinh hoàn cần chẩn đoán phân biệt với một số bệnh: viêm ruột thừa cấp, viêm mào tinh, tràn dịch màng tinh hoàn, thoát vị bìu, vỡ tinh hoàn, tụ máu tinh hoàn do chấn thương.
Cách chữa để khỏi mất giống
Trong điều trị xoắn tinh hoàn, khoảng “thời gian vàng” để tháo xoắn tinh hoàn là 6 giờ đầu kể từ khi tinh hoàn bị xoắn, trong thời gian này, khả năng tháo xoắn thành công là 100%. Nếu để đến 6 giờ tiếp theo, tức là từ 6-12 giờ, thì khả năng tháo xoắn thành công chỉ còn khoảng 50%. Trường hợp bệnh nhân đến muộn từ 12-24 giờ thì khả năng tháo xoắn thành công chỉ còn 10%, lúc này nguy cơ phải cắt bỏ tinh hoàn do đã bị hoại tử là rất cao. Bệnh nhân đến sau 24 giờ, thì phải cắt bỏ tinh hoàn bị xoắn do hoại tử gần như 100%.
Sau phẫu thuật tháo xoắn từ 1-2 tuần, bệnh nhân cần nghỉ ngơi, tránh các hoạt động mạnh và không nên quan hệ tình dục.
Do xoắn tinh hoàn là một bệnh hiểm của cậu nhỏ, nên bạn cần nhớ kỹ: ngay khi có các biểu hiện đau tinh hoàn, thì bạn phải đến ngay các cơ sơ y tế, bệnh viện để được khám và điều trị kịp thời, tránh những biến chứng nguy hiểm và nguy cơ mất giống.
BS Ninh Văn Út
(Theo Sức khỏe & Đời sống)





