Bác sĩ Phạm Nguyễn Thanh Trung, Khoa Y học Thể Thao, Bệnh viện Nhân dân 115 TP.HCM cho biết, bệnh nhân là 1 chàng trai 20 tuổi (ngụ Long An). Cách đây 1 năm, anh T. tập võ và trong lúc thi đấu đối kháng thì bị trật khớp vai phải, anh đã tự nắn lại khớp vai.
Song, sau đó võ sĩ liên tục trật khớp vai đến 5,6 lần đã phải nhập viện kiểm tra. Hằng ngày, bệnh nhân không thể đưa tay ngang quá đầu, hoặc tập võ những tác động mạnh đều khiến anh đau đớn.
Tại đây, qua thăm khám cho thấy bệnh nhân bị đau, lỏng vai phải, Test e sợ khớp vai phải. Bệnh nhân được chẩn đoán trật khớp vai phải tái hồi và được lên chương trình mổ nội soi khâu sụn viền bao khớp vai phải (Bankart repair).

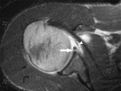
Ảnh chụp MRI cho thấy rách sụn viền vai phải, tổn thương Bankart sụn
Đây là kỹ thuật mới trên thế giới và được triển khai ở một số bệnh viện đầu ngành về nội soi khớp ở Việt nam. Trước đây, những tổn thương như vậy đều mổ mở, còn hiện nay đã được áp dụng mổ nội soi tại Bệnh viện Nhân dân 115 nên giúp cho bệnh nhân có thể hồi phục sớm và chơi thể thao lại như cũ.
Sau phẫu thuật bệnh nhân ổn định, mang đai vai phải và xuất viện sau 4 ngày.
Hiện tại bệnh nhân đã vận động được vai phải nhẹ nhàng, không còn đau, khớp vai phải cảm giác vững chắc, không còn cảm giác e sợ bị trật lại. Bệnh nhân tiếp tục tập vật lý trị liệu theo hướng dẫn để tăng cường sức cơ.
Theo bác sĩ Phạm Nguyễn Thanh Trung, khoa Y học thể thao, trật khớp vai là một chấn thương thường gặp. Nguyên nhân có thể do tai nạn sinh hoạt, tai nạn thể thao…

Bác sĩ đang thực hiện mổ nội soi chỉnh lại khớp vai bị trật
Để hạn chế tác hại khi bị chấn thương khớp vai người bệnh nên đi khám ở những bệnh viện có chuyên khoa Y học thể thao để được các bác sĩ khám, chẩn đoán chính xác và đưa ra phương pháp điều trị tốt nhất, giúp cho bệnh nhân có thể trở lại với cuộc sống hàng ngày và thể thao sớm nhất.
Phẫu thuật nội soi khâu sụn viền bao khớp vai là một phẫu thuật ít xâm lấn, giúp cho các bác sĩ có thể quan sát rõ tổn thương, xử trí triệt để tổn thương để đạt kết quả tốt nhất, có tính thẩm mỹ cao nhất.
Nếu trước đây bệnh nhân phải mổ mở với tỷ lệ thành công thấp, thì nay với tiến bộ của ngành nội soi khớp vai tỷ lệ thành công đạt được là rất cao, từ đó giúp bệnh nhân trong sinh hoạt hằng ngày cũng như chơi lại môn thể thao yêu thích.
Phan Nhơn

Ngất xỉu sau cơn đau đầu, người phụ nữ hóa thành 'thiếu nữ 18'
Câu chuyện kỳ lạ của người phụ nữ 56 tuổi đột nhiên "trở về tuổi thơ" sau một cơn đau đầu bất chợt, khiến các nhà khoa học chưa tìm ra lời giải.
- Chàng trai tập võ bị trật khớp vai tái hồi đã được bác sĩ mổ bằng phương pháp nội soi khâu sụn viền bao khớp vai, một kĩ thuật mới về nội soi khớp ở Việt Nam.