Một chiếc bút dạ vừa được gắp ra khỏi dạ dày của một bệnh nhân sau 25 năm "trôi nổi" - và nó vẫn còn viết được.
Các bác sĩ tại Anh mới đây đã gắp một chiếc bút dạ khỏi dạ dày một phụ nữ 76 tuổi và vô cùng ngạc nhiên khi thấy nó vẫn viết được, MSNBC đưa tin. Người phụ nữ này đã vô tình nuốt phải chiếc bút 25 năm trước.
![]() |
|
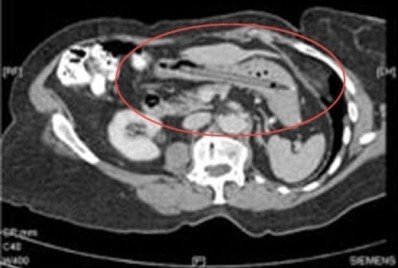
Chiếc bút vẫn viết được sau 25 năm trôi nổi trong dạ dày |
Mô tả trường hợp này trên Tạp chí Y khoa Anh, bác sĩ chuyên khoa tiêu hóa, Oliver Waters tại bệnh viện hoàng gia Devon & Exeter (Anh), cho biết bệnh nhân đến gặp ông khi bị giảm cân và mắc tiêu chảy. Ông từng chẩn đoán bà mắc viêm túi thừa nghiêm trọng. Sau đó, quá trình chụp CT phát hiện "một vật thể ngoại lai dài trong dạ dày".
Người phụ nữ này nhớ lại đã vô tình nuốt phải cây bút nhiều năm trước, nhưng kỹ thuật X-quang thời ấy không tìm thấy dấu vết của cây bút.
Theo Daily Mail, chiếc bút không hề phá hủy dạ dày của bệnh nhân. Thực tế, các triệu chứng khiến bà đến gặp bác sĩ cũng đã "bỗng dưng" mà hết. Tuy nhiên, bác sĩ vẫn quyết định lấy cây bút ra để nó không đâm thủng thành dạ dày của bà trong tương lai.
Sau khi 'tắm' trong axit dạ dày suốt hai thập kỷ rưỡi, cây bút đã bị ăn mòn và vỏ nhựa bong tróc. Nhưng, đáng ngạc nhiên là, mực trong bút vẫn có thể sử dụng và bút vẫn viết được!
Bác sĩ Waters còn cho biết, chồng và bác sĩ điều trị trước của người phụ nữ không tin bà từng nuốt phải một cây bút.
Hải Tâm
|
Giải mã bí ẩn của bộ lạc 'to đầu'
Chính truyền thống tình dục của bộ lạc đã khiến cho họ sở hữu một ngoại hình dị biệt.
Cây thông Noel cũng nguy hiểm
Thông
Noel có thể gây ra một số vấn đề sức khỏe như chảy nước mắt, ho, tức
ngực,... theo nghiên cứu của các nhà khoa học thuộc Trường Y tế Upstate (Mỹ).
14 đột phá khoa học lớn nhất trong năm 2011
Cùng điểm lại những thành tựu nổi bật trong lĩnh vực khoa học – công nghệ trong năm vừa qua được đăng tải trên trang Ranker:
|



