
Bệnh nhi tên là Nguyễn N. T, ngụ tại Bình Thuận, có biểu hiện bị nhiễm trùng ổ bụng.
Khi phẫu thuật cứu bé, các bác sĩ phát hiện ruột của bệnh nhi bị xoắn làm dạ dày rách toạc một đường 4 cm. Lượng thức ăn từ dạ dày bệnh nhi đã đổ hết ra khoang bụng làm viêm phúc mạc toàn bộ.

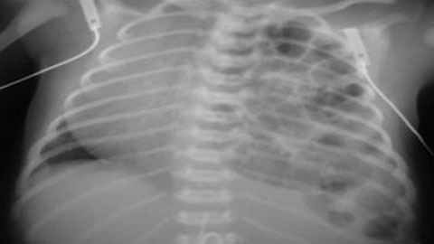
Kết quả chụp phim ổ bụng của bé T
Ngay lập tức, bé T. được khâu lại vết rách nơi dạ dày, rửa ổ bụng, đưa các vị trí nội tạng trở về chỗ cũ. Hiện nay, tuy sức khỏe còn rất yếu nhưng tính mạng của em bé coi như vừa được cứu về từ cửa tử.
Theo các bác sĩ của Bệnh viện Nhi Đồng 1, đây là một tình huống bệnh lý vô cùng nguy hiểm, chỉ cần cấp cứu chậm thêm chút nữa em bé có thể đã tử vong.
Thanh Huyền