Anh Nguyễn Duy T., 22 tuổi ở Sơn Dương, Tuyên Quang chia sẻ, cách đây 4 năm, anh thấy sưng ở vùng bìu phải, đau nhẹ nhưng ngại đi khám.
Gần đây, vùng này đau nhiều lên, sưng to nên đã đến khám tại khoa Ung bướu, BV đa khoa Hùng Vương, Phú Thọ.
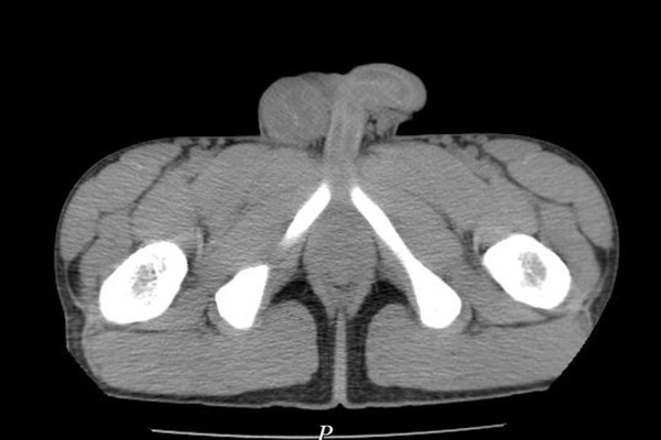
Qua kiểm tra và thăm khám, các bác sĩ nhận thấy bên vùng bìu phải có dấu hiệu sưng to, kích thước 7x8 cm, ấn đau và xuất hiện cục cứng chắc.

Hình ảnh các khối u đặc cứng trong bìu phải bệnh nhân
Làm thêm các xét nghiệm lâm sàng, bệnh nhân được chẩn đoán bệnh nhân bị ung thư tinh hoàn và di căn phổi 2 bên.
Đánh giá đây là trường hợp khá đặc biệt, ngay lập tức các bác sĩ khoa Ung bướu đã hội chẩn cùng với chuyên gia và giải thích cho người nhà bệnh nhân, chỉ định phẫu thuật cắt tinh hoàn phải, sau đó điều trị hóa chất.
BS Hứa Văn Đức, Trưởng khoa ung bướu, người tiếp thực hiện ca mổ cho biết, bệnh nhân đã tỉnh táo, sức khoẻ ổn định.
“Tuy nhiên việc cắt bỏ khối u chỉ là bước đầu, bệnh nhân còn phải trải qua quá trình điều trị hóa chất sau đó mới có thể đánh giá khối u còn di căn đi nơi khác hay không”, BS Đức chia sẻ.

Bệnh nhân đã hồi phục sau mổ, chuẩn bị chuyển sang điều trị hoá chất
Để tránh những trường hợp đáng tiếc, BS Đức khuyến cáo người dân cần cẩn trọng khi phát hiện các khối đặc, cứng, không đau trong bìu, khi có dấu hiệu cần đi khám ngay, thay vì chần chừ, chủ quan.
Khám sức khỏe định kỳ thường xuyên người khỏe mạnh nên khám 6 tháng một lần, người có các yếu tố nguy cơ nên tái khám thường xuyên hơn.
Bác sĩ cảnh báo, ung thư tinh hoàn thường gặp nhất ở nam giới 15-35 tuổi thay vì lầm tưởng chỉ ở độ tuổi trung niên. Đây là ung thư hiếm gặp, tỉ lệ mắc chung ở nam giới chỉ khoảng 1%.
Tuy nhiên so với nhiều loại ung thư khác, ung thư tinh hoàn có tiên lượng điều trị khá tốt. Nếu được điều trị sớm, tỉ lệ sống sau 5 năm lên tới 95%.
Phương pháp chính trong điều trị chủ yếu là cắt bỏ tinh hoàn đã bị tế bào ung thư xâm nhập. Sau đó tuỳ mức độ xâm lấn, có thể phối hợp hoá trị và xạ trị cho bệnh nhân.
Khoảng 3- 4% bệnh nhân ung thư tinh hoàn sau khi được chữa khỏi có thể xuất hiện ung thư tinh hoàn ở bên còn lại.
Triệu chứng hay gặp nhất của ung thư tinh hoàn là bệnh nhân sờ thấy một khối cứng, đặc trong bìu, không đau. Các triệu chứng khác có thể gặp như: đau tinh hoàn, vú to lên, đau lưng, đau hông, đau bẹn, hạch ở bẹn… khi ung thư đã di căn đến các cơ quan khác.
Minh Anh

Chấn thương khi đá bóng, nam thanh niên phải cắt bỏ tinh hoàn
- Nghĩ tinh hoàn chỉ bị sưng đau do chấn thương, chàng trai không đi viện ngay. Sau đó, tình trạng diễn biến xấu, bệnh nhân buộc phải cắt bỏ một bên tinh hoàn.
- Nam thanh niên Tuyên Quang thấy vùng bìu sưng to mới đến bệnh viện khám, bác sĩ thông báo bị ung thư tinh hoàn di căn.