Viêm loét dạ dày là một trong những bệnh về tiêu hóa thường gặp, nguồn bệnh do
vi khuẩn Helicobacter Pylori (HP) và đây cũng là “thủ phạm” của 95% số ca viêm
dạ dày mạn tính.
Đây là những thông tin được đưa ra trong Đề tài nghiên cứu Mô bệnh học và tỷ lệ
nhiễm HP ở bệnh nhân viêm dạ dày mãn tính đến khám tại bệnh viện đa khoa
MEDLATEC.
Đáng chú ý, nếu bệnh viêm dạ dày mãn tính không được phát hiện kịp thời sẽ dễ
dẫn đến loét dạ dày, ung thư dạ dày.
Theo nhiều nghiên cứu trên thế giới cho thấy, tỷ lệ viêm dạ dày mạn tính rất
cao, chiếm khoảng 50% dân số, trong đó viêm dạ dày mạn tính do HP chiếm khoảng
95%.
Ở Việt Nam, viêm dạ dày mạn tính là bệnh khá phổ biến trong nhân dân, chiếm
khoảng 31- 65% các trường hợp nội soi đường tiêu hóa trên, trong đó tỷ lệ nhiễm
HP chiếm 63- 94,8%. Bệnh thường gặp ở cả nam và nữ, lứa tuổi mắc bệnh nhiều bệnh
là từ 40-49 tuổi, tỷ lệ nhiễm HP trong viêm dạ dày mạn tính là 53,33%.
Bệnh thường tiến triển nhiều tháng, nhiều năm, từng đợt, tỷ lệ tái phát sau điều
trị cao, viêm dạ dày mạn tính dẫn đến loét dạ dày, ung thư dạ dày.
![]() |
| Viêm dạ dày mạn tính nguyên nhân chủ yếu do vi khuẩn Hp |
Theo bác sỹ Lê Văn Khoa, bệnh viện MEDLATEC, nguyên nhân chính gây viêm dạ dày
mạn tính là do vi khuẩn HP, lây chủ yếu qua đường ăn uống, nước bọt, dịch tiêu
hóa, phân…
Ngoài ra, ăn uống không điều độ, nhai không kỹ, ăn không đúng giờ giấc, ăn nhiều
gia vị chua, cay, dùng thuốc một vài loại thuốc gây kích thích niêm mạc dạ dày
trong một khoảng thời gian dài như Salicylat, Aspirin, thuốc lợi tiểu có thủy
ngân… là nguyên nhân của viêm dạ dày dị ứng mạn tính.
Với nguồn thức ăn lạ, ngoài ra, tác nhân stress làm mất cân bằng hệ thống bảo vệ
và phá hủy viêm mạc dạ dày là một trong những nguyên nhân gây loét dạ dày đường
tiêu hóa.
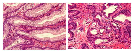
![]() |
| Kết quả sinh thiết Hp âm tính (bìa trái) và Hp dương tính (bìa phải) |
Người bị bệnh viêm dạ dày mạn tính do HP thường không có dấu hiệu lâm sàng đặc
trưng mà thường có những rối loạn chức năng như đau bụng vùng thượng vị (trên
rốn, khi ăn no), ợ hơi, ợ chua hay nôn, buồn nôn. Bệnh viêm dạ dày mạn tính nếu
không được phát hiện kịp thời dẫn đến loét dạ dày, ung thư dạ dày.
Để phòng ngừa bệnh rửa tay trước khi ăn, ăn chậm, nhai kỹ, ăn uống đúng giờ,
không nên ăn quá no hoặc để quá đói, kiêng cữ các món ăn cay, chua. Hạn chế uống
rượu, bia, hút thuốc lá, ăn các chất béo. Chú trọng ăn uống đầy đủ chất dinh
dưỡng, ăn nhiều rau, hoa quả. Uống thuốc theo chỉ định của bác sĩ. Sinh hoạt
điều độ, ngủ đủ ngày 7-8 giờ, tránh thức khuya.
Hiện nay, việc chẩn đoán, theo dõi diễn biến viêm loét dạ dày tá tràng nói chung
và viêm dạ dày mạn tính nói riêng chủ yếu dựa vào nội soi và sinh thiết (xét
nghiệm mô bệnh học) dạ dày. Trong đó, xét nghiệm mô bệnh học được coi là tiêu
chuẩn vàng trong việc chẩn đoán bệnh viêm dạ dày, qua đó giúp việc điều trị đạt
hiệu quả cao, ổn định và ít tái phát.
Viêm dạ dày do HP được chẩn đoán bằng nhiều phương pháp như: test thở, test
urease, xét nghiệm HP huyết thanh, HP dạ dày, xét nghiệm HP phân, lấy dịch và
nuôi cấy HP dịch vị dạ dày, PCR. Bệnh viện Đa khoa MEDLATEC đang dùng 3 phương
pháp này. Trong đó phương pháp chẩn đoán phổ biến là nội soi dạ dày sau đó lấy
một mảnh sinh thiết nhỏ và làm test urease. Đây cũng là phương pháp được coi là
phù hợp túi tiền ở Viêt Nam hiện nay.
Thành công của đề tài nghiên cứu những bệnh nhân bị viêm dạ dày mạn tính đến
khám tại Bệnh viện Đa khoa MEDLATEC hứa hẹn góp phần vào việc chẩn đoán và điều
trị hiệu quả bệnh nhân bị viêm dạ dày.
Thanh Loan

