Bệnh viện Nhi đồng 2 TP.HCM cho biết, bệnh nhi nhập trong tình trạng khó thở nặng. Kết quả chụp X-quang phổi cho thấy một lỗ rò dấn đến tràn dịch màng phổi (dịch lỏng chưa rõ bản chất) bên trái lượng nhiều, gây nên tình trạng chèn ép nhu mô phổi khiến bé không thở được.
Bác sĩ tiến hành đặt dẫn lưu màng phổi và ghi nhận rất nhiều dịch đục như sữa chảy ra từ khoang màng phổi. Xét nghiệm dịch màng phổi cho thấy bệnh nhi bị một tình trạng rò dịch dưỡng trấp nghi do rò từ ống ngực vào khoang màng phổi.

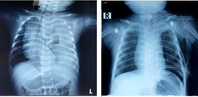
Phim X-quang cho thấy phổi bệnh nhi bị chèn ép do tràn dịch dưỡng chấp. Ảnh: BSCC
Trường hợp có thể là một “ác mộng” đối với bác sĩ ngoại khoa, vì ống ngực lác 1 cấu trúc giải phẫu khó tìm thấy và nhận biết kể cả người lớn, đằng này bệnh nhi chỉ có 3 tháng tuổi. Tiên lượng tỉ lệ thành công rất thấp, song bác sĩ quyết tâm mổ vì càng để lâu nguy hiểm cho bé và càng về sau can thiệp sẽ khó.
Điều trị nội khoa để kéo dài thêm, song dưỡng chấp màng phổi mỗi ngày vẫn tràn 0,5 lít trong khi cân nặng của bé chỉ 5kg. Bệnh nhi dần rơi vào nguy kịch do duy kiệt và cần can thiệp phẫu thuật gấp. Sau khi hội chẩn kĩ càng, ê-kíp tiến hành chọn phương án thắt ống ngực.
Theo bác sĩ Nguyễn Trần Việt Tánh, phẫu thuật viên chính của ca mổ, ê-kíp chuẩn bị tốt và có nhiều kinh nghiệm, song cuộc mổ diễn ra hết sức căng thẳng. Kíp mổ đã quan sát lồng ngực bé bằng nội soi kĩ lưỡng và thắt được ống ngực (kích thước chỉ 0,2mm) và không làm ảnh hưởng tới các cấu trúc xung quanh.
Sau mổ, dịch dưỡng trấp màng phổi không còn chảy, bệnh nhi được rút ống dẫn lưu sau 2 giờ. Do thực hiện bằng phẫu thuật nội soi xâm lấn tối thiểu nên bệnh nhi hồi phục tốt sau mổ.

Ảnh X-quang bên phải cho thấy phổi nở đều bình thường sau khi được thắt ống ngực so với lúc đầu (ảnh trái). Ảnh:BSCC
Theo ThS.BS Vũ Trường Nhân, Phó khoa ngoại, cơ thể mỗi người có tồn tại một cấu trúc gọi là ống ngực thuộc hệ thống mạch bạch huyết. Thường mỗi ngày ống ngực có thể vận chuyển lên đến 4 lít dưỡng trấp là dịch chứa nhiều mỡ, đạm và bạch cầu
Rò dưỡng trấp hay tràn dịch dưỡng trấp màng phổi xảy ra khi ống ngực bị tổn thương làm dịch dưỡng trấp (dịch trắng đục như sữa) chảy vào khoang màng phổi, nếu rò dịch lượng lớn có thể gây thiếu hụt dinh dưỡng, rối loạn hô hấp, mất nước và rối loạn miễn dịch ảnh hưởng đến tính mạng.
Về bệnh nhi T., nguyên nhân tràn dịch dưỡng trấp là do một dị dạng bẩm sinh của hệ bạch huyết vùng trung thất. Điều trị rò dưỡng trấp màng phổi là một thách thức lớn, điều trị ban đầu sẽ là nội khoa gồm nhịn ăn, dinh dưỡng đường tĩnh mạch, chế độ ăn kiêng và chờ đợi cho ống ngực lành lại. Trong trường hợp điều trị nội khóa thất bại sẽ phải tiến hành mổ. Và đây là lần đầu tiên bệnh viện mổ nội soi thắt ống ngực.
Phan Nhơn
