Chương trình đã kết thúc vào cuối tháng 03/2014, đồng thời nhận được những phản
hồi ấn tượng của bác sĩ và bệnh nhân.
76% người tham gia có tình trạng sẹo thâm
Trên thực tế, sẹo và vết thâm là tình trạng chiếm tỉ lệ cao nhất và đến từ những
tổn thương do mụn (76% cho tình trạng vết thâm và 54% cho sẹo). Bên cạnh đó,
nám, tàn nhang; da sần sùi, thô ráp; lỗ chân lông to… cũng là những bệnh lý phổ
biến trên da. Tuy những bệnh lý không nguy hiểm đến sức khoẻ nhưng khiến phụ nữ
mất tự tin trong giao tiếp và cuộc sống hàng ngày.
Bệnh nhân khi đến khám tại Bệnh Viện Da Liễu TP.HCM đã được tư vấn về tình trạng
da, nhận sản phẩm, theo dõi quá trình làn da được cải thiện rõ rệt sau 8 tuần
điều trị.
![]() |
|
|
94% người sử dụng đánh giá tích cực về hiệu quả của Acnes C10 trong việc
điều trị các khiếm khuyết trên da.
88% bác sĩ nhận định hiệu quả cao
của Acnes C10 trong quá trình theo dõi các trường hợp tham gia chương trình.
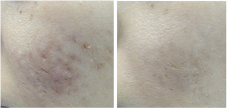
Với sẹo, vết thâm; lỗ chân lông to: Acnes C10 cho thấy hiệu quả tốt trong điều
trị vết thâm, sẹo và lỗ chân lông to. Mức đánh giá Tốt tăng nhanh sau 8 tuần sử
dụng. Đặc biệt, cuối chương trình có 89% trong tổng số người tham gia nhận thấy
hiệu quả rõ rệt trong việc điều trị các vết thâm.
![]() |
| Sẹo, vết thâm; lỗ chân lông to (Trước - sau 8 tuần sử dụng Acnes C10) |
Còn với nám, tàn nhang: Kết quả sau 8 tuần sử dụng, 86% bệnh nhân đánh giá nám và tàn nhang cải thiện Khá, Tốt và Rất tốt. Hầu hết những trường hợp cải thiện tốt, ngoạn mục ở những bệnh nhân bị tình trạng tàn nhang nhiều.
![]() |
| Nám, tàn nhang (Trước - sau 8 tuần sử dụng Acnes C10) |
Kết quả khảo sát cho thấy sử dụng Acnes C10 với dung lượng 1-2 giọt/ lần và 2 lần/ ngày thì sau 8 tuần có thể giúp cải thiện rõ rệt 5 vấn đề về da: sẹo; vết thâm; nám, tàn nhang; da sần sùi, thô ráp; da nhờn, lỗ chân lông to.
|
Hiệu quả của Acnes C10 đến từ công thức đặc biệt chứa 10% Vitamin C nguyên chất cùng thành phần vận chuyển Ethoxydiglycol giúp Vitamin C thẩm thấu qua lớp thượng bì, tiếp xúc vào lớp trung bì. Khi ở lớp trung bì, Vitamin C sẽ có tác dụng ngăn ngừa sự hình thành và làm mờ sắc tố melanin, các vết thâm từ đó cũng biến mất. Các liên kết collagen cũng trở nên vững chắc tạo điều kiện cho các khối cơ phát triển, khoảng lõm trên da sẽ đầy lại. Ngoài ra, Vitamin C còn giúp ức chế tăng tiết nhờn, gia tăng tuần hoàn máu và lấy đi Oxygen hoạt hóa. |
Thúy Ngà



