
Tai nạn xảy ra vào khoảng 7h30 sáng nay. Bệnh nhân là N.T.N, 37 tuổi. Khi chị N. đang cấy lúa thì xuất hiện mưa dông, chưa kịp trú ẩn thì bị sét đánh trúng, bất tỉnh.
Bệnh nhân sau đó được đưa vào trạm y tế xã sơ cứu rồi chuyển lên Bệnh viện đa khoa Bộ Nông nghiệp cấp cứu trong tình trạng tổn thương cháy sém và bỏng vùng cổ, vai, ngực, 2 tay và bụng độ 1, 2 với khoảng 10%...
![]() |
| Phần thân trên của bệnh nhân bị cháy sém và bỏng độ 1, 2. Ảnh: BSCC |
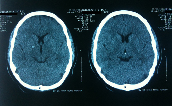
Ngay lập tức, bệnh nhân được thở oxy, truyền dịch, cố định cột sống cổ. Tiến hành chụp cắt lớp vi tính sọ não, các bác sĩ phát hiện bệnh nhân chảy máu não nhỏ vùng bao trong phải và não thất III nên được chuyển tiếp Bệnh viện Bạch Mai để tiếp tục điều trị và theo dõi.
Theo BS Lương Quốc Chính, khoa Cấp cứu, Bệnh viện Bạch Mai, tia sét là trong 5 nguyên nhân tử vong hàng đầu liên quan đến thời tiết.
![]() |
| Hình ảnh xuất huyết não trên phim chụp cắt lớp. Ảnh: BSCC |
Người bị sét đánh có thể ngừng tim ngay lập tức. Một số trường hợp có thể không thấy các dấu hiệu tổn thương bên ngoài. Một số người có thể mất ý thức trong thời gian khác nhau hoặc có thể có biểu hiện lú lẫn.
Ngoài ra, tia sét cũng có thể làm gẫy xương, trật khớp, vỡ xương sọ và gây ra các tổn thương cột sống, thủng màng nhĩ, tổn thương mắt...
Do đó, khi có mưa dông, tránh ở ngoài trời, tránh khu vực cao nhất, không mang hoặc giữ các vật bằng kim loại cạnh người.
Nếu không có nơi trú ẩn, hãy cúi mình trong tư thế bắt bóng và bịt tai. Nếu ở cạnh người khác nữa, nên cách nhau tối thiểu 4,5m.
T.Hạnh

