Trong 4 giờ trước khi được xe cấp cứu đưa đến bệnh viện ở London, người đàn ông cho biết tình trạng khó thở ngày càng trầm trọng hơn. Điều này có liên quan đến cơn đau ngực trái anh đang phải chịu đựng.
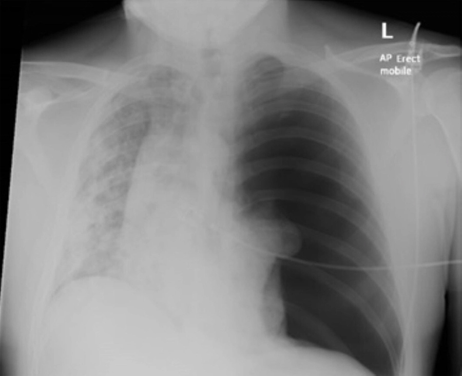
Sau khi chụp X-quang, các bác sĩ phát hiện anh bị xẹp phổi (tràn khí màng phổi).

Hình ảnh chụp lồng ngực giúp phát hiện bệnh nhân bị xẹp phổi
Các bác sĩ cho biết bệnh nhân trở nặng nhanh chóng có thể do nhiễm Covid-19 không được điều trị kịp thời và chuyển sang giai đoạn muộn. Người bệnh khi nhập viện đã bị tràn khí màng phổi áp lực. Điều này dẫn tới đau ngực đột ngột, khó thở, tức ngực, da xanh tím do thiếu oxy, nhịp tim nhanh, mạch yếu, giảm tỉnh táo, giảm ý thức.
Nam bệnh nhân từng bị bệnh hen suyễn khi còn nhỏ và từng nghiện thuốc lá nặng nhưng đã bỏ nhiều năm trước.
Anh không có tiền sử chấn thương phổi hoặc ngực trong thời gian gần đây và chưa bao giờ bị tràn khí màng phổi.
Bệnh nhân hiện làm nghề chuyển phát nhanh, trước đây từng đảm trách dọn dẹp trong các tòa nhà. Các thống kê cho thấy, dạng công việc này có nguy cơ mắc Covid-19 cao hơn các nghề khác.
Anh đã được điều trị ngay lập tức bằng cách chọc dò màng phổi bằng kim tiêm và đặt ống dẫn lưu.

Phổi bệnh nhân bị Covid-19 tàn phá với những mảng trắng trên phim chụp
Nam bệnh nhân, được cho là người Tây Ban Nha, cho biết anh vẫn lo lắng không biết điều gì đã gây ra bệnh xẹp phổi của mình. Anh chưa từng trải qua tình trạng sức khỏe như vậy bao giờ.
"Tôi đã sống ở London trong 19 năm qua. Tôi hút thuốc khá nhiều trong khoảng thời gian 5 năm khi mới chuyển đến đây”, người này nói.
Ngoài ra, bệnh nhân cho biết, bố của mình cũng có các vấn đề về phổi do thuốc lá.
"Bây giờ tôi cảm thấy tốt hơn nhiều, cơn đau của tôi đã biến mất và nhịp thở của tôi đã trở lại bình thường. Tôi rất muốn về nhà nhưng hơi lo lắng về tương lai", nam bệnh nhân chia sẻ.
Các chuyên gia khyến cáo, khi khám chữa, các bác sĩ nên tìm hiểu kỹ về tiền sử bệnh của các ca nhiễm để đưa ra giải pháp chính xác.
An Yên (Theo The Sun)

Sự khác biệt của người đã tiêm vắc xin khi nhiễm Covid-19
Bác sĩ chia sẻ hình ảnh phổi của hai bệnh nhân Covid-19, một người đã được tiêm vắc xin đầy đủ và một người chưa chủng ngừa.