Mặc dù không hút thuốc lá nhưng phổi chị Nguyễn Thùy Dương lại bị đen xì khiến cả nhà đều rất sốc.
Chị Nguyễn Thùy Dương, 34 tuổi, trú tại Long Biên, Hà Nội phẫu thuật tại bệnh viện K vì u phổi. Khi phẫu thuật, các bác sĩ bất ngờ vì phổi của chị đen như bồ hóng. Hai bên lá phổi đen như bệnh nhân sử dụng thuốc lá lâu năm. Trong khi đó, chị Dương và gia đình quả quyết chị không sử dụng thuốc lá.
Chị Dương nhập viện với triệu chứng khó thở, ho và hơi khan tiếng. Khi đi khám, bác sĩ cho biết chị Dương bị u phổi, phải làm phẫu thuật. Chưa biết khối u lành tính hay ác tính, bác sĩ vẫn mổ để tiến hành xét nghiệm mô bệnh phẩm. Khi mổ ra, bác sĩ bất ngờ vì phổi đen xì.
![]() |
|
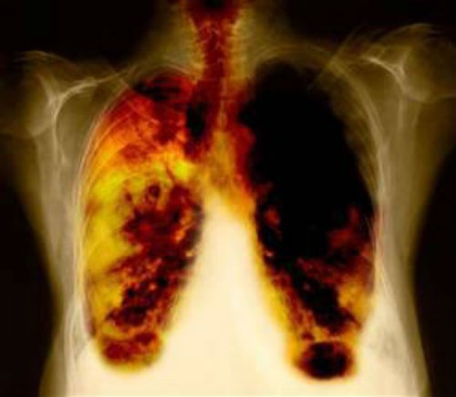
Hình ảnh ung thư phổi do hít khói bụi, bồ hóng. |
Quê chị Dương ở tỉnh Thái Bình. Bố mẹ chị làm nghề bán giò chả. Chị Dương kể, ở nhà chị hay phụ bố mẹ quạt bếp lò và trông coi nồi giò luộc. Trong quá trình làm việc giúp cha mẹ, chị Dương đã hít nhiều khí than, bồ hóng trong khói.
Tuy nhiên, chị Dương không có triệu chứng gì. Chỉ đến nay chị mới thấy cơ thể có biểu hiện lạ. Chị Dương không những bị đen phổi mà khối u mổ ra đi xét nghiệm dương tính với tế bào ung thư. Giọng buồn rầu, chị Dương cho biết chị đang rất mệt. Chỉ biết khuyên cha mẹ và người thân không sử dụng bếp than.
Còn chị Hoàng Thị Lâm trú tại Nguyễn Trãi, Thanh Xuân, Hà Nội cũng bị u phổi. Khi mổ tại Bệnh viện K, phổi chị cũng xơ hóa và đen như bồ hóng. Chị Lâm cho biết gia đình có một quán cơm bụi và hàng ngày chị vẫn nấu nướng bằng than tổ ong.
Khi hít phải mùi than, lúc đầu chị còn khó chịu nhưng lâu dần cũng thành quen. Đến nay, chị Lâm vẫn không tin rằng mình bị u phổi do hít khí than. Nhưng bác sĩ khẳng định phổi của chị bị xơ và ảnh hưởng nặng nề do khí độc từ lò than tổ ong thải ra.
Bác sĩ Đặng Thế Căn – Nguyên Giám đốc Bệnh viện K Hà Nội cho biết, có trường hợp bệnh nhân phổi bị đen do hít phải khí than quá nhiều. Một số lại bị nhiễm bụi phổi Silic từ bụi đá. Ô nhiễm khói bụi khiến bệnh tật ngày càng nhiều hơn, trong khi đó tình trạng hút thuốc lá, sử dụng than mỏ trong sinh hoạt vẫn không giảm.
TS Phạm Duệ - Trung tâm chống Độc Bệnh viện Bạch Mai cho biết khí than rất độc, không chỉ ảnh hưởng đến phổi mà còn ảnh hưởng đến não. Than cháy sẽ sản sinh ra chất độc nên nếu đốt ở chỗ thoáng khí sẽ làm loãng nồng độ chất độc. Còn nếu đốt trong phòng kín, than cháy sẽ đốt hết oxy, nồng độ chất độc tích tụ, gây thiếu máu não và ngộ độc cho người.
Tình trạng nguy kịch của bệnh nhân phụ thuộc vào thời gian não thiếu máu não nhanh hay lâu. "Chúng ta thiết kế nhà rất nguy hiểm, thậm chí cả khách sạn cũng kín mít, không có lỗ thông gió. Do vậy, để tránh bị ngộ độc khí than, quan trọng nhất là bếp phải thoáng. Nếu để khí than tích tụ trong nhà thì không ngộ độc cấp cũng sẽ bị ngộ độc từ từ", bác sĩ Duệ giải thích.
Chuyên gia này cũng cho biết, mỗi năm Trung tâm chống độc Bệnh viện Bạch Mai cấp cứu 10 đến 20 bệnh nhân ngộ độc do hít phải khí than. Bên cạnh những ca tử vong, cũng có không ít người không thể trở lại bình thường do não bị ảnh hưởng, thậm chí có người còn sống thực vật
Theo Infonet.
