
Bệnh nhi là Trần Thị Ngọc Anh, 6 tuổi, ở Đồng Hỷ, Thái Nguyên. Đây là trường hợp hy hữu khi mắc dị vật gần 1 năm mới được phát hiện.
Từ năm 2014, khi mới 4 tuổi, trong lúc đi nhà trẻ do không cẩn thận cháu Ngọc Anh nuốt phải đồ chơi. Thời gian dài sau, gia đình thấy con hay bị ho, không ăn được, sụt cân nhanh nên đưa đi khám ở bệnh viện huyện nhưng không phát hiện bất thường.
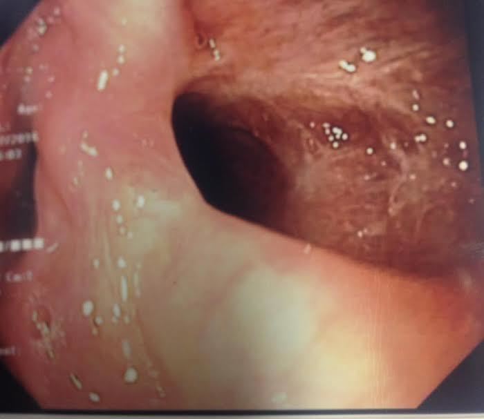
![]() |
|
Phát hiện muộn, lỗ thủng đã xơ hoá, to hơn cả lòng thực quản |
Đến 2015, sau một thời gian điều trị uống thuốc mà sức khỏe cháu vẫn yếu đi, người thân lo lắng đưa xuống Bệnh viện Nhi TƯ để thăm khám.
Tại đây qua nội soi các bác sĩ phát hiện bệnh nhi bị mắc đồ chơi ở thực quản và đã tiến hành phẫu thuật gắp dị vật ra.
Sau phẫu thuật, bệnh nhi phải ăn qua đường sonde mũi do dị vật đã làm thủng thực quản với lỗ rò lớn, to hơn cả lòng thực quản, cách cung răng trên 15cm, khi thức ăn nuốt vào bị rò vào phế quản gây ho, sặc, sốt.
2 tháng sau, các bác sĩ tiến hành mở thông dạ dày, đổi ăn qua đường sonde dạ dày và vẫn duy trì trong suốt gần 1 năm qua.
Tháng 7/2016, Bệnh viện Nhi TƯ cùng ThS Chu Nhật Minh, Trưởng khoa Nội soi, Bệnh viện Việt Đức tiếp tục hội chẩn trường hợp của cháu Ngọc Anh, dự định đưa đại tràng lên nối lỗ thủng nhưng sẽ rất phức tạp và khó khăn, tiên lượng nặng nề.
Phương án 2 là đặt stent – SEMS tại lỗ thủng với hy vọng tổn thương sẽ dần liền lại, sau đó sẽ rút bỏ stent.
Ngày 21/7 vừa qua, bệnh nhi được chuyển sang Bệnh viện Việt Đức để đặt stent với sự hỗ trợ của một đơn vị từ thiện.
Đây cũng là trường hợp bệnh nhi đầu tiên được đặt stent tại Bệnh viện Việt Đức.
Hiện tại, bé đang được điều trị tại khoa Nhi, sức khỏe tiến triển tốt.
Được biết, hoàn cảnh gia đình bé Ngọc Anh rất đáng thương, mất mẹ từ khi mới 2 tuổi sau tai nạn giao thông, kinh tế gia đã kiệt quệ sau 2 năm điều trị.
ThS Minh cảnh báo, các bậc phụ huynh cần cẩn trọng, không nên để trẻ em chơi đồ chơi một mình hoặc cho vào miệng vì khi xảy ra sự cố hậu quả để lại sẽ gây tổn thương, di chứng suốt đời hoặc thậm chí làm trẻ tử vong.
T.Hạnh
