TS.BS Nguyễn Vũ Thiện, Khoa Giải phẫu bệnh, Bệnh viện Nhân dân 115 (TP.HCM) cho biết, bệnh viện vừa phẫu thuật cho nam bệnh nhân N.T.B (65 tuổi, ngụ Cà Mau) bị u thừa dạng bướu của phổi.

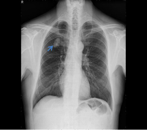
U phổi (mũi tên) trên hình chụp X-quang
Ông B. phát hiện khối u ở phổi sau khi khám sức khỏe định kỳ và được bác sĩ chỉ định phẫu thuật. Trước đó, ông B. không có các triệu chứng liên quan hô hấp.
Bác sĩ đã chỉ định chụp X-quang và CT ngực phát hiện bóng mờ đáy phổi trái. Khối u choán chỗ thùy dưới phổi trái, kích thước 25x27 mm.
Ngay sau đó, ông B. đã được cắt một phần phổi chứa u. Kết quả mẫu bệnh phẩm được xác định là u mô thừa dạng bướu của phổi.
Hiện bệnh nhân ổn định nhưng vẫn phải theo dõi và khám định kỳ để phát hiện bệnh lý và can thiệp kịp thời.
Bác sĩ Thiện cho biết, khối u hình cầu, giới hạn rõ, không có vỏ bao, dễ bóc tách ra khỏi mô phổi xung quanh, mật độ chắc, mặt cắt trắng xám, có các khe nang chứa dịch dạng keo sệt, trong, không có vôi hóa, không có vùng xuất huyết, hoại tử.
Về vi thể, khối u chủ yếu gồm mô mỡ sợi, biểu mô hô hấp và mô sụn lành tính.
Tỷ lệ bệnh chiếm 0,25 - 0,32% dân số, chủ yếu gặp ở người 40-70 tuổi. Tần suất ở nam gấp 2 đến 4 lần ở nữ.
Theo bác sĩ Thiện, u mô thừa dạng bướu là tổn thương lành tính thường gặp ở phổi. 90% người bệnh không xuất hiện triệu chứng do u nằm ở vùng ngoại vi của phổi.
10% ca bệnh còn lại, u nằm trong phế quản phổi, gây hẹp, tắc nghẽn nên người bệnh có các triệu chứng ho dai dẳng, khò khè, ho ra máu, tăng tần suất viêm phổi, xẹp phổi.
“Dù lành tính nhưng dạng u này cũng có thể đi kèm với các bệnh khác của phổi, bao gồm ung thư phổi hoặc chuyển dạng ác tính”, bác sĩ Thiện lưu ý.
Bác sĩ Thiện chia sẻ, phẫu thuật bóc u và mô bị chèn xung quanh là phương thức phổ biến giúp chữa khỏi bệnh,
Liên Anh

Sống cùng chồng hút thuốc, người phụ nữ mắc ung thư phổi
Chị Lai chiến đấu với các cơn ho mãn tính suốt hơn 10 năm, cuối cùng tiến triển thành ung thư phổi.