Với phần mềm 3D mới nhất đo đạc và định vị khuôn mặt cả bề ngoài và bên trong
xương một cách chính xác, tránh các mạch máu và dây thần kinh, các ca phẫu thuật
khuôn mặt V-line trở nên an toàn và giảm hẳn tỉ lệ biến chứng.
Theo các bác sĩ chuyên khoa Phẫu thuật khuôn mặt tại thẩm mỹ viện Úc Châu cho
biết, ngay cả đối với bác sĩ có tay nghề cao thì vẫn có thể xảy ra những biến
chứng đáng tiếc khi thực hiện ca phẫu thuật thẩm mỹ “khó nhằn” này.
Tuy nhiên khoa học ngày càng hiện đại đã đưa ra một giải pháp giúp chị em phụ nữ
có thể tiến hành phẫu thuật gọt mặt an toàn mà không sợ xảy ra các biến chứng.
Với phần mềm OSMS đo đạc phần xương, BS Nguyễn Hữu Nam (thẩm mỹ viện Úc Châu,
Tp.HCM) sẽ vẽ được mô xương cần cắt bỏ một cách chính xác mà không tổn thương
các mạch máu cũng như thần kinh chi phối khuôn mặt. Với lát cắt nhỏ đến 0,1 mm
nên cấu trúc nhỏ nhất đều có thể nhìn thấy trên không gian ba chiều 3D.
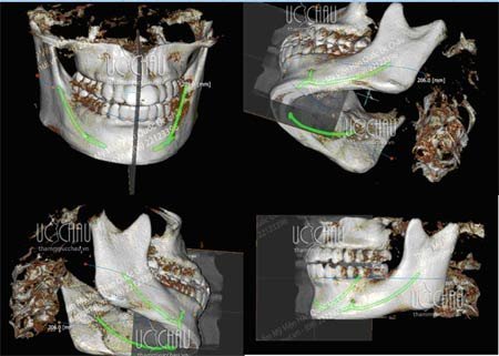
![]() |
| Phần mềm 3D giúp thấy được dây thần kinh (màu xanh) và cấu trúc rõ ràng của xương vùng mặt |
![]() |
| Phẫu thuật khuôn mặt được chụp hình và mô phỏng từ bên ngoài và cấu trúc xương bên trong |
Máy cắt xương chuyên dụng: không làm tổn thương xương, không tạo bột xương. Thẩm mỹ Úc Châu đã trang bị 4 máy cắt xương: 2 máy cắt xương chuyên dụng và 2 máy cắt xương siêu âm. Vì vậy, trong quá trình phẫu thuật nếu không may bị 1 máy bị hư thì vẫn có dự phòng giúp quá trình phẫu thuật không gián đoạn.
![]() |
| Máy cắt xương bằng sóng siêu âm chuyên dụng được áp dụng tại thẩm mỹ viện Úc Châu |
![]() |
| Thiết bị theo gây mê và theo dõi nhịp tim |
![]() |
| Phẫu thuật gọt mặt được BS Nguyễn Hữu Nam ứng dụng nội soi trong phẫu thuật khuôn mặt nên các cấu trúc giải phẫu được nhìn thấy một cách rõ ràng và đường mổ nhỏ nên lành thương nhanh ít sang chấn vì vậy ít đau sau mổ và chính xác |
Nhân ngày phụ nữ Việt Nam, giảm 10% các dịch vụ phẫu thuật tại thẩm mỹ Úc Châu từ ngày 06/10-30/10/2012
gotmat.net, thammyucchau.vn
Thẩm mỹ viện Úc Châu:
25 Nguyễn Thị Minh Khai, PBN, Quận 1, TP.HCM,
ĐT: 08.2212.3398- 0902523396
Thúy Ngà




