Hôm nay (8/7), thông tin từ BV Quốc tế Vinh (Nghệ An) cho biết, người phụ nữ tên H. quê ở huyện Quế Phong nhập viện với các triệu chứng đau bụng âm ỉ nhiều ngày, thiếu máu mãn tính.
Bác sỹ chuyên khoa sau khi thăm khám lâm sàng, chỉ định cho chị H. tiếp tục nội soi thực quản dạ dày và đại trực tràng.
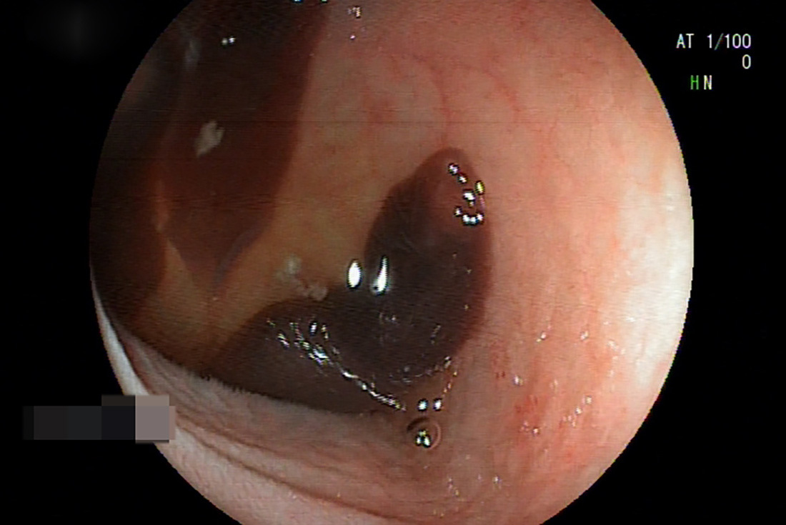
![]() |
| Ổ sán phát hiện trong ruột người phụ nữ 42 tuổi ở Nghệ An |
Trong quá trình nội soi, có nhiều kí sinh trùng sán lá ruột lớn được phát hiện ở hồi tràng (đoạn cuối ruột non) đang bám chặt vào thành ruột.
Bác sỹ Nguyễn Văn Hóa – khoa Nội đã tiến hành gắp những con sán có kích thước lớn 2 – 3cm ra khỏi ruột non của chị H.
Tuy nhiên, đây là một ổ sán lá ruột lớn không thể dùng phương pháp gắp ra hết bằng phương pháp nội soi. Chị H. sau đó được bác sỹ lên phác đồ điều trị để có thể loại toàn bộ sán trong cơ thể ra ngoài ở khoa Ký sinh trùng.
Sán lá ruột lớn (Fasciolopsis buski)
Bình thường ký sinh trong tá tràng của lợn nhưng có thể gặp ở người dưới dạng trưởng thành ký sinh trong ruột non, bám vào niêm mạc ruột hoặc lặn trong dịch nhầy.
Trứng sán theo phân ra môi trường có giai đoạn phát triển trong ốc, sẽ nở thành ấu trùng và bám vào các thực vật thủy sinh. Người nhiễm sán thường do ăn các cây thực vật thủy sinh còn sống hoặc chưa nấu chín như: củ ấu, rau ngổ, ngó sen, rau muống,… có chứa nang trùng sán.
![]() |
| Chu trình phát triển của sán lá ruột: Nguồn CDC |
Từ khi nang trùng xâm nhập vào cơ thể đến khi phát triển thành con trưởng thành mất khoảng 3 tháng. Số lượng sán dao động từ vài con đến vài ngàn con.
Người bệnh khi nhiễm sán trong giai đoạn đầu thường có triệu chứng mệt mỏi, đôi khi đau bụng tiêu chảy, thiếu máu nhẹ. Trường hợp nặng hơn, người bệnh sẽ bị sụt cân, tiêu chảy thất thường, phân lỏng có lẫn nhiều chất nhầy hay thức ăn không tiêu.
Tình trạng tiêu chảy có thể kéo dài nhiều ngày hoặc nhiều tuần, thường đau bụng ở vùng hạ vị và có thể xảy ra những cơn đau dữ dội, bụng bị chướng, nhất là trẻ em.
Xét nghiệm công thức máu thường tăng bạch cầu ái toan (những tế bào máu trắng - một trong những thành phần quan trọng của máu giúp cơ thể chống lại các tác nhân gây bệnh truyền nhiễm và các vật thể lạ trong máu.
Tăng bạch cầu ái toan thường gặp khi người bệnh mắc các bệnh ký sinh trùng giun sán đa bào, đặc biệt là những loại ký sinh ở tổ chức).
Ngoài ra, sán có thể gây tắc ruột. Khi nhiễm nhiều sán người bệnh còn có thể nôn ra trứng sán hoặc sán, nếu không được điều trị có thể dẫn đến tử vong trong tình trạng suy kiệt.
Để phòng tránh nhiễm sán lá ruột, người dân nên chú ý:
Ăn chín uống sôi, không ăn thực vật thủy sinh còn sống hoặc chưa nấu chín. Không đi đại tiện xuống ao, hồ,…
Điều trị nguồn bệnh triệt để.
Khi có các triệu chứng như mệt mỏi đi kèm tiêu chảy, sụt cân thất thường, nên đi khám để bác sỹ chuyên khoa kiểm tra, phát hiện và hỗ trợ điều trị. Đối với những hộ gia đình có chăn nuôi lợn: Nên quản lý nguồn phân của lợn, không cho thải ra ao, hồ,...

2 con sán dài hơn chục mét sống nhiều năm trong người
Hai bệnh nhân nhiễm sán xơ mít khoảng 2 năm nay, tuy đã 3-4 lần dùng thuốc Tây để xổ, nhưng sán chỉ ra từng đoạn vài mét và không hết hẳn.
Quốc Huy

