Hũ tiết kiệm nuôi ước mơ “là người bình thường”
Vũ Thị Hoa (24 tuổi, Ninh Bình) lớn lên trong hoàn cảnh gia đình khó khăn, mang dị tật ở cả tay, chân. Từ nhỏ, em đã có cơ hội can thiệp ở chân nhờ các chương trình thiện nguyện tại địa phương để cải thiện khả năng đi lại. Nhưng dị tật ở tay vẫn chưa có cơ hội và điều kiện can thiệp. Khiếm khuyết ấy không chỉ gây khó khăn trong sinh hoạt, mà còn trở thành rào cản tâm lý khiến Hoa dần thu mình, sống khép kín và cố giấu đi đôi tay khác biệt.

Dù mang khiếm khuyết, Hoa chưa từng từ bỏ mong muốn “sửa chữa” khiếm khuyết của mình, bởi em hiểu một ca can thiệp phù hợp có thể thay đổi cuộc sống. Từ khi lên đại học, nhận thức ấy càng rõ hơn thôi thúc em chủ động tìm hiểu, thăm khám và kiên trì tìm kiếm cơ hội phẫu thuật. Nhưng chi phí điều trị luôn là rào cản lớn, vì vậy Hoa đã chắt chiu từng khoản nhỏ từ công việc làm thêm trong một “hũ tiết kiệm”, đó cũng là nơi em nuôi dưỡng ước mơ có một đôi tay bình thường.

Kể về hũ tiết kiệm của mình, Hoa nói: “Em đã gom góp suốt nhiều năm, từng chút một, với hy vọng đến một ngày nào đó sẽ có thể thực hiện ca phẫu thuật dị tật khuỷu tay, nhưng khi nhìn vào chi phí thực tế thì số tiền tiết kiệm ấy quá nhỏ. Em không biết mình sẽ phải chờ đến khi nào…”.
Đúng vào thời điểm ấy, Hoa may mắn biết đến chương trình “Chắp cánh ước mơ” của BVĐK Hồng Ngọc phẫu thuật từ thiện dành cho các trường hợp dị tật bẩm sinh có hoàn cảnh khó khăn. Không do dự, ngay lập tức em đã đăng ký với hy vọng bản thân sẽ có cơ hội được phẫu thuật để "sửa" lại đôi tay của mình.
Phẫu thuật từ thiện “sửa chữa” khiếm khuyết, lấy lại sự tự tin
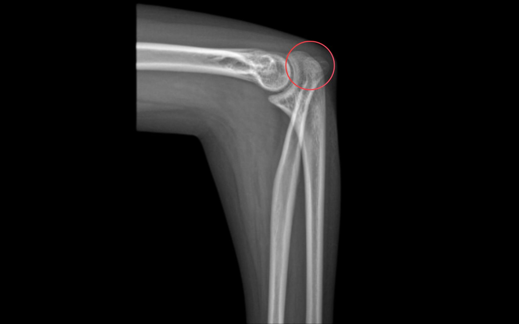
Sau khi thăm khám cùng TS.BS Lê Quang Huy (Trưởng khoa Chấn thương chỉnh hình, thần kinh sọ não) BVĐK Hồng Ngọc - Phúc Trường Minh, Hoa được chẩn đoán gặp tình trạng biến dạng trục khuỷu tay bẩm sinh, hạn chế khả năng sấp, ngửa và xoay cẳng tay. Nếu không can thiệp tình trạng này sẽ ảnh hưởng đến chất lượng cuộc sống và thẩm mỹ.
Cũng theo bác sĩ, tình trạng của Hoa cần phẫu thuật chỉnh trục khuỷu tay nhằm đưa trục vận động về gần bình thường, đồng thời cải thiện biên độ xoay và sức cơ, điều mà Hoa đã mong mỏi từ rất lâu nhưng chưa từng nghĩ sẽ có cơ hội thực hiện.

Đặc biệt, khi biết ca phẫu thuật của mình được thực hiện miễn phí trong khuôn khổ chương trình “Chắp cánh ước mơ”, Hoa gần như vỡ òa: “Em không nghĩ mình sẽ may mắn được chọn trong đợt phẫu thuật này, thực sự như trúng số độc đắc vậy”. Bởi với em, đó không chỉ là một ca mổ mà còn là cánh cửa mở ra cuộc sống mới không còn mặc cảm, tự ti về khiếm khuyết của bản thân.
Sau phẫu thuật, tình trạng vận động của Hoa cải thiện rõ rệt. Biên độ sấp, ngửa tốt hơn, sức cơ tay tăng lên, những thao tác trước đây gặp khó khăn thì nay đã trở nên linh hoạt hơn, phần khuỷu tay cũng không còn lệch rõ.

Chia sẻ sau ca mổ, Hoa nói: “Sau khi hồi phục, em sẽ không còn phải che giấu khiếm khuyết của mình nữa. Khi đó em sẽ tự tin diện những bộ váy em hằng mơ ước, tự tin hơn trong giao tiếp, thoải mái hơn trong cuộc sống và sẵn sàng đón nhận những cơ hội mới”. Hiện Hoa đang tiếp tục được theo dõi và tập phục hồi chức năng theo hướng dẫn của bác sĩ để duy trì và cải thiện thêm khả năng vận động trong thời gian tới.
Không chỉ riêng Hoa, chương trình “Chắp cánh ước mơ” đã diễn ra suốt hơn một thập kỷ, tái tạo cho hàng trăm mảnh đời khiếm khuyết có hoàn cảnh khó khăn, góp phần cải thiện chức năng vận động và lấy lại sự tự tin. Đây cũng là ý nghĩa và mục tiêu xuyên suốt của chương trình trong hơn một thập kỷ qua.
Mọi thông tin về chương trình xin vui lòng liên hệ Phòng công tác xã hội - BVĐK Hồng Ngọc Phúc Trường Minh qua số hotline 093.223.2017
(Nguồn: Bệnh viện Hồng Ngọc)