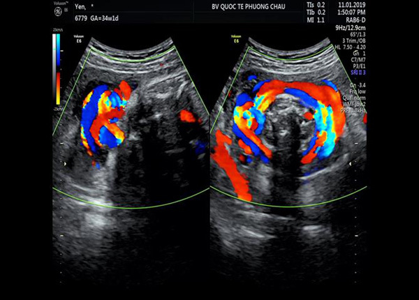
Từ kết luận của bác sĩ siêu âm về một trường hợp thai chậm tăng trưởng nặng, dây rốn quấn cổ 3 vòng - dây rốn thắt nút... sản phụ được chỉ định nhập viện với chẩn đoán: thai 34 tuần 01 ngày, ngôi đầu, chưa chuyển dạ/thai chậm tăng trưởng trong tử cung/dây rốn quấn cổ 3 vòng/theo dõi dây rốn thắt nút…
![]() |
Bác sĩ Sản khoa Phương Châu cùng các chuyên gia đã tiên lượng và đánh giá tình trạng sức khỏe của sản phụ và quyết định chấm dứt thai kì ở tuổi thai 34 tuần 2 ngày để đảm an toàn cho bé.
Cuộc phẫu thuật mổ ngang đoạn dưới lấy thai với phương pháp vô cảm gây tê tủy sống, bé trai nặng 2000gr, con sản phụ N.T.H.Y, 29 tuổi đã cất tiếng khóc chào đời vào lúc 19h40 tại BV Phương Châu Sa Đéc.
Sau sinh, bé khóc ngay có phản xạ, trương lực cơ tốt, môi hồng, nhịp tim 140 lần/phút. Mười phút sau đó, bé bắt đầu thở nhanh, nông, co kéo cơ liên sườn, thở rên, phổi kém thông khí, tim đều, bụng mềm. Bé được chẩn đoán là hội chứng suy hô hấp của trẻ sơ sinh/non tháng. Tiếp tục theo dõi do bệnh màng trong, bé được chuyển về sơ sinh thở NCPAP, tiến hành đặt Catheter tĩnh mạch rốn.
![]() |
23h cùng ngày, sau đánh giá lại, bé tỉnh, môi hồng/NCPAP kèm chi ấm, mạch rõ, thở đều, SPO2 99%, phổi thông khí đều, tim đều, bụng mềm, phản xạ khá. Đến hôm nay, chiến binh bé bỏng đã dũng cảm vượt qua, cai thở NCPAP, chuyển qua thở oxy cannula mũi 0.5 l/ph.
Chị N.T.H.Y cho biết, trong quá trình mang thai, việc kiểm tra sức khỏe thai chưa được chị chú trọng thật sự. Cho đến khi, chính sự tuân thủ khám thai thường quy đã kịp thời cứu sống đứa con bé bỏng, người mẹ mới vỡ òa và trân trọng.
![]() |
Chính kết luận siêu âm phát hiện kịp thời từ kỹ thuật hiện đại, hỗ trợ cho kinh nghiệmcủa BS Sản khoa Phương Châu trong chẩn đoán đã đánh đổi xứng đáng bằng giá trị an toàn và tính kịp thời bảo vệ tính mạng thai nhi trong xử lý trường hợp này.
Đại diện BV Phương Châu cho biết: Trong thai kỳ, dây rốn đảm nhận vai trò quan trọng bậc nhất khi truyền dưỡng chất và oxy từ mẹ sang thai nhi, giúp thai nhi phát triển khỏe mạnh. Tuy nhiên, những biến chứng thai kỳ liên quan đến dây rốn thì không phải ai cũng nắm được, trong đó có hiện tượng dây rốn thắt nút, gây nguy hiểm rất lớn đến sự sống của thai nhi.
Hiện tượng dây rốn thắt nút chiếm tỷ lệ 0,3-2,2% của các ca sinh. Tỷ lệ tử vong của các thai nhi có dây rốn thắt nút tăng gấp 4 lần so với thai nhi bình thường. Bệnh lý hiếm gặp này lại đặc biệt khó có thể được phát hiện trước khi sinh thường hoặc sinh mổ. Do vậy, nếu thai nhi bị bệnh lý này, tỷ lệ tử vong trong bụng mẹ hoặc trong quá trình chuyển dạ là rất cao.
(Nguồn: BV Phương Châu Sa Đéc)


