Làm răng thẩm mỹ đang là xu hướng lớn trong làm đẹp, tuy nhiên, việc làm răng thẩm mỹ có nguy cơ gì, có thực sự an toàn & mang lại vẻ đẹp hoàn hảo cho nụ cười của mỗi người?
Bác sỹ Nguyễn Văn Hoà (Dr. Hoà) - Giám đốc Viện Công nghệ Nha khoa thẩm mỹ Shinbi đã chia sẻ các vấn đề về làm răng thẩm mỹ.
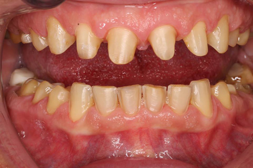
Nỗi ám ảnh răng hậu… thẩm mỹ
- Theo chia sẻ của một số người đã từng làm răng thẩm mỹ, họ gặp phải tình trạng hôi miệng, răng yếu đi, ê buốt, chức năng ăn nhai kém… Vì lẽ đó mà nhiều người đang có ý định làm răng trở nên e ngại & đắn đo. Bác sĩ có suy nghĩ như thế nào khi khách hàng có nỗi lo này?
Nỗi lo của khách hàng là có thật và nó đã & đang xảy ra từ nhiều năm nay. Rất nhiều khách hàng, sau khi làm răng ở các cơ sở không uy tín, đã tìm đến tôi để khắc phục… hậu quả. Đa phần biến chứng xảy ra khi họ thực hiện làm răng theo phương pháp cũ, công nghệ cũ, thế giới hiện đại đã bỏ cách làm này hàng chục năm rồi, trong khi ở Việt Nam vẫn nhiều nơi duy trì.
![]() |
|
Dr. Hòa- Người tiên phong đưa công nghệ làm răng thẩm mỹ Majestic Nano 5K về Việt Nam. |
- Với kinh nghiệm nhiều năm trong nghề, anh có thể cho biết công nghệ làm răng cũ gây ảnh hưởng như thế nào đến thẩm mỹ & sức khỏe của người dùng?
Một vẻ đẹp không hoàn hảo, không bền vững và nơm nớp lo sợ biến chứng về sau… Có thể gói gọn hơn trong vài từ: Đầy nguy cơ và quá mạo hiểm.
![]() |
|
Làm răng thẩm mỹ theo phương pháp cũ tiềm ẩn rất nhiều nguy cơ đối với sức khỏe nha khoa. |
Răng thẩm mỹ: Trả giá vì lựa chọn sai
- Đâu phải tất cả những người làm răng thẩm mỹ đều thiếu thông tin, nhiều khi, đó là sự lựa chọn của họ. Họ chấp nhận đánh đổi & kết quả thì tất nhiên là đã được biết trước?
Với tôi, vẫn là thiếu hiểu biết, vì nếu thực sự hiểu và “ngấm” những tác hại của làm răng thẩm mỹ công nghệ cũ đó, tôi tin không ai thật sự lại chọn làm đẹp theo phương pháp này. Cái giá đắt, hoàn toàn không tương xứng với rủi ro mà bạn có nguy cơ nhận lại.
Đẹp (giả dụ có đẹp thật) cũng vô nghĩa. Khi bạn “được” về răng bên ngoài thì lại rất khổ sở bên trong; miệng rất có mùi mà không có cách nào khắc phục được, còn bao nhiêu vấn đề về sức khoẻ khi mài răng quá sâu, diệt chết tuỷ khi làm răng…
Từ răng sống biến thành răng chết. Nhai không nhai được, ăn mất ngon. Còn có nguy cơ đau dạ dày do nhai không kỹ, dịch vị tiết ra ít… Chừng đó quá đủ để nói không với làm răng thẩm mỹ theo phương pháp cũ (mài răng và diệt tuỷ) rồi.
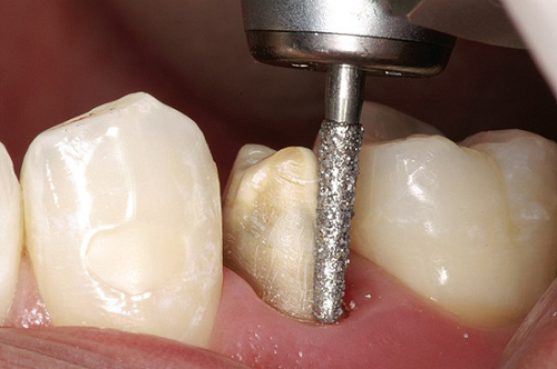
![]() |
|
Mài răng là công đoạn bắt buộc trong quy trình bọc răng sứ thẩm mỹ áp dụng công nghệ cũ. |
- Để đưa ra một lời khuyến cáo hoặc cảnh báo về làm răng thẩm mỹ theo phương pháp cũ, anh muốn nói điều gì với khách hàng?
Ai cũng muốn làm đẹp, nhưng tôi muốn cảnh tỉnh mọi người hãy thật tỉnh táo khi quyết định làm răng thẩm mỹ. Tuyệt đối không nên làm tổn hại đến răng gốc, làm răng chết vì điều này tiềm ẩn rất nhiều rủi ro. Để không ảnh hưởng đến răng gốc, khách hàng cần lưu ý một vài điều sau:
Thứ nhất, Mài răng. Đây là công đoạn gần như bắt buộc khi làm răng thẩm mỹ. Rất nhiều nha sỹ hiện vẫn thực hiện mài răng bằng máy công nghệ cũ, ghế răng và tay khoan, tưới nước cho răng không nhiều dẫn đến ma sát khoan buốt và chết tuỷ răng một cách từ từ mà bệnh nhân gần như không biết.
Thứ 2, mài răng quá nhiều. Mài mỗi mặt răng từ 1,5 - 2mm. Sau khi mài, răng trở nên rất mảnh và bé, không còn lực để nhai.
Thứ 3, mài răng sâu, các răng sẽ phải làm tuỷ răng, diệt tuỷ. Răng có cấu trúc giải phẫu không ổn định, trong khi việc làm tủy răng lại rất khó kiểm soát nên việc làm này có thể gây ra nhiều biến chứng. Cộng với, bệnh nhân không có thói quen thăm khám và điều trị định kỳ, vì vậy vẫn đau kéo dài, điều trị tuỷ không tốt tạo áp xe răng.
Thứ 4, răng diệt tuỷ thành răng chết, không còn được nuôi dưỡng như bình thường, gây yếu chân răng, răng trở nên giòn và dễ gẫy.
Thứ 5, men răng bị phá hỏng khi mài sâu.
- Vậy, các nước phát triển đang áp dụng công nghệ làm răng nào thưa bác sỹ?
Chắc chắn không thể tồn tại cách làm đẹp gây ra quá nhiều biến chứng ở những nước phát triển. Ở Việt Nam, có thể do “lười” tìm tòi những cái tối ưu hoặc quen với cách làm cũ… để rồi nhiều người răng thẩm mỹ xong như gặp ác mộng.
![]() |
|
Thẩm mỹ răng công nghệ mới cho phép bảo toàn 100% răng gốc. |
Công nghệ làm răng mới nhất trên thế giới đã xoá đi nỗi ám ảnh của răng thẩm mỹ: không mài, không diệt tuỷ, bảo toàn men răng, không có biến chứng.
Viện công nghệ Nha khoa Thẩm mỹ Shinbi Dental
Dịch vụ phủ răng sứ thẩm mỹ - Không mài răng - Bảo tồn răng thật 100%.
33, Trần Quốc Toản, P. Trần Hưng Đạo, Q, Hoàn Kiếm, Hà Nội
• Tổng đài tư vấn: 1900.0215
• Hotline: Bác sỹ Hòa - 0988 001 889
• Website: shinbi.vn
• https://www.facebook.com/viencongnghenhakhoathammyshinbi/
PV



