Bệnh nhân Đặng Văn Khôi, 24 tuổi ở Sóc Sơn, Hà Nội chia sẻ, từ nhỏ anh đã thấy ngực thi thoảng nhói đau nhưng hết rất nhanh nên không để ý.
Sau này kể cả khi đi làm, anh có khám sức khoẻ định kỳ ở công ty nhưng cũng không phát hiện ra bất thường.
Gần đây, anh Khôi thấy đau tức ngực nhiều kèm theo khó thở khi vận động mạnh. Khi đến bệnh viện địa phương khám, bác sĩ nghi ngờ có khối u lớn trong ngực nên chuyển lên tuyến cuối là BV Ung Bướu Hà Nội để kiểm tra.

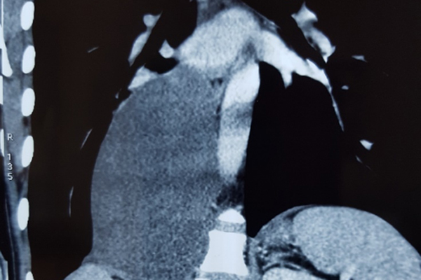
Hình ảnh khối u kích cỡ lớn trong lồng ngực nam thanh niên
Kết quả chụp cắt lớp vi tính 64 dãy và cộng hưởng từ xác định khối trung thất sau phải có dạng tổ chức đặc kích thước 15x9 cm, đè đẩy vòm hoành phải xuống dưới, chèn ép tĩnh mạch chủ, nhu mô phổi.
Giải phẫu bệnh chẩn đoán là u hạch thần kinh xuất phát từ hạch giao cảm. Bác sĩ chỉ định phải phẫu thuật sớm, càng để lâu khối u càng lớn, chèn ép vào các cơ quan lân cận cản trở tuần hoàn, hô hấp.
TS Phan Lê Thắng, Phụ trách Đơn nguyên Ngoại theo yêu cầu cùng ekip phẫu thuật cho bệnh nhân. Sau gần 2 giờ phẫu thuật, các bác sĩ đã cắt bỏ hoàn toàn khối u thần kinh trung thất sau có đường kính hơn 15 cm, nặng tới 1 kg.

Khối u được lấy ra có kích cỡ tương đương quả bóng
BS Thắng chia sẻ, đây là ca phẫu thuật tương đối phức tạp do kích thước u lớn, choán hết lồng ngực, trường mổ hẹp nên để lấy gọn u rất khó khăn, bác sĩ phải phẫu tích để tránh gây tổn thương mạch máu. Hơn nữa, u phát triển đã lâu nên nhu mô phổi bị chèn ép dẫn đến nhiều nguy cơ sau phẫu thuật.
Sau mổ, bệnh nhân được theo dõi tình trạng sát sao, dùng kháng sinh, giảm đau, tập thở để tránh viêm phổi. Hiện tại, bệnh nhân đã hết đau ngực, sức khỏe hồi phục tốt.

Theo BS Thắng, u thần kinh có thể là u lành tính hoặc ác tính, chiếm khoảng 70 – 80% u vùng trung thất, có thể bắt nguồn từ rễ, dây thần kinh, hạch giao cảm. Với nam thanh niên nói trên, may mắn là u lành.
Khi mắc u thần kinh, nếu không được phát hiện, phẫu thuật loại bỏ kịp thời, u phát triển to sẽ gây hội chứng chèn ép như: Chèn vào tủy sống gây liệt, chèn vào nhu mô phổi gây mất diện tích thở...
Bệnh nhân có thể xuất hiện các triệu chứng như: Đau ngực, khó thở, ho ra máu, sụt cân, suy yếu cơ thể.
Nếu là khối u ác tính, nguy cơ di căn đến màng tim hoặc phổi đe dọa tính mạng của người bệnh.
BS Thắng khuyến cáo, người dân khi thấy có triệu chứng bất thường về hô hấp hoặc đau ở vùng ngực cần đến ngay cơ sở y tế chuyên khoa ung bướu để phát hiện sớm và điều trị kịp thời.
Khi mắc u thần kinh, các khối u kích thước dưới 5 cm phẫu thuật khá đơn giản, hầu như không ảnh hưởng tới sức khỏe bệnh nhân.
* Tên bệnh nhân đã được thay đổi
Thúy Hạnh

Hai bác sĩ Trung Quốc nhiễm Covid-19 thoát chết nhưng da đổi màu nâu
Bác sĩ Yi Fan và Hu Weifeng đã âm tính với virus nCoV sau hai tháng điều trị nhưng cả hai đều bị biến đổi màu da.
- Bác sĩ phát hiện trong ngực nam thanh niên 24 tuổi có khối u kích cỡ lớn, chèn ép cả phổi và tĩnh mạch.