Một người đàn ông đang bơm bánh xe tải thì bất ngờ bánh xe nổ gây vỡ gan, suýt mất mạng.
Ngày 11/11, Bệnh viện Đa Khoa Xuyên Á (TP.HCM) cho biết nơi đây vừa phẫu thuật cấp cứu một trường hợp tai nạn hy hữu do nổ bánh xe tải.
Nạn nhân là anh Tình (31 tuổi, ngụ huyện Bình Chánh, TP.HCM), được chuyển đến cấp cứu trong tình trạng lơ mơ, sưng vùng hạ sườn phải, da nhợt nhạt, vã mồ hôi, mạch và huyết áp không đo được.
![]() |
|
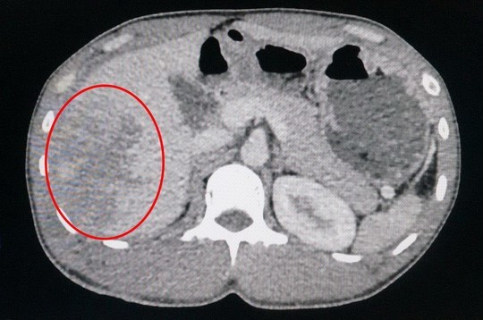
Vùng gan tổn thương sau tai nạn hy hữu của nạn nhân. |
Kết quả cận lâm sàng cho thấy bệnh nhân bị vỡ gan phức tạp, chảy máu trong đầy ổ bụng. Ngay lập tức, các bác sĩ đã phẫu thuật khẩn cấp, mở ổ bụng khâu cầm máu gan, rửa sạch, đặt dẫn lưu… cứu bệnh nhân. Hiện sức khỏe anh Tình đã ổn định.
Theo các bác sĩ, những trường hợp vỡ tạng đặc (gan, thận, lá lách) do chấn thương đều rất nguy hiểm. Đặc biệt, gan là tạng lớn nhất, rất dễ vỡ khi bị chấn thương bụng và dễ tử vong nếu không cứu chữa kịp thời.
Theo anh Tình, trong lúc bơm bánh xe tải thì bất ngờ bánh xe phát nổ, khí hơi va đập vào hông phải khiến anh bị chấn thương nặng. Thấy anh ôm bụng đau vật vã, đồng nghiệp hốt hoảng đưa đi cấp cứu thì phát hiện vỡ gan.
*Tên nạn nhân đã được thay đổi.
Theo NLĐ
