PGS.TS. BS Phùng Nguyễn Thế Nguyên, Trưởng Đơn vị điều trị Covid-19, Bệnh viện Nhi Đồng 1 cho biết, bệnh viện vừa tiếp nhận và điều trị cho bệnh nhi 13 tuổi, nặng 48kg mắc Covid-19 tổn thương phổi nặng dù trước đó hoàn toàn khoẻ mạnh.
Người nhà bệnh nhi cho biết, 4 ngày trước nhập viện, trẻ bị sốt nhẹ, ho khan. Sau đó, trẻ hết sốt nhưng ho nhiều, cảm thấy tức ngực, khó thở nên được đưa đến bệnh viện.
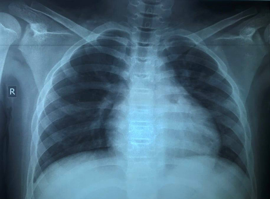
![]() |
| Hình ảnh X-quang phối của trẻ lúc nhập viện, tổn thương phổi nặng, dù triệu chứng rất kín đáo. Ảnh: BSCC. |
Tại bệnh viện, nhịp thở của bệnh nhi 26-28 lần/phút, không quá nhanh so với tuổi. Tuy nhiên, chỉ số SpO2 của trẻ giảm xuống 92%, kết quả xét nghiệm PCR dương tính với nCoV. Kết quả chụp X-quang có tổn thương phổi nhiều, rối loạn đông máu.
Bác sĩ Nguyên cho biết, bệnh nhi nhanh chóng được điều trị theo phác đồ viêm phổi nặng do Covid-19 với hỗ trợ hô hấp, kháng sinh, steroid và thuốc chống đông.
Sau 5 ngày điều trị, tình trạng lâm sàng của trẻ cải thiện tốt, hết khó thở, giảm ho. Tuy nhiên, tổn thương phổi trên X-quang cải thiện chậm và vẫn còn giảm oxy máu khi thở khí trời từ 93-94%.
Sau 17 ngày điều trị và theo dõi sát triệu chứng và nồng độ oxy trong máu, bệnh nhi khỏi bệnh hoàn toàn, tổn thương phổi trên X-quang cải thiện đáng kể. Bệnh nhi cũng có kết quả xét nghiệm PCR âm tính. Hiện, trẻ đã được xuất viện.
Bác sĩ Nguyên cho biết, hiện TP.HCM có khoảng 15.000 trẻ mắc Covid-19, trong đó có hơn 3.000 trẻ đang được điều trị, chăm sóc tại bệnh viện.
![]() |
| Sau 17 ngày điều trị, tổn thương phổi cải thiện của trẻ được cải thiện. Ảnh: BSCC. |
Bác sĩ Nguyên cho rằng, Việt Nam cũng như nhiều nước khác, trẻ em nhiễm SARS-CoV-2 đang có xu hướng tăng lên. Hầu hết trẻ là F0 đều không triệu chứng hoặc triệu chứng nhẹ. Tỷ lệ trẻ chuyển nặng chiếm dưới 2%, chủ yếu trên trẻ có bệnh lý nền hoặc thừa cân, béo phì. Tuy nhiên, số trẻ mắc Covid-19 nặng vẫn có thể gặp ngay cả không yếu tố nguy cơ. Trường hợp của bệnh nhi trên là điển hình.
“Điều quan trọng là theo dõi sát sức khỏe trẻ tại nhà”, bác sĩ Nguyên chia sẻ.
Theo bác sĩ Nguyên, hiện nay, TP.HCM đang cho người F0 cách ly, theo dõi tại nhà. Vì vậy, hầu hết trẻ có biểu hiện nhẹ hoặc không triệu chứng cũng được điều trị tại nhà.
Bác sĩ Nguyên lưu ý, khi trẻ F0 cách ly, theo dõi sức khỏe tại nhà cha mẹ cần theo dõi các dấu hiệu: khó thở, than mệt, gắng sức kém, vã mồ hôi nhiều, nói từng từ, từng câu ngắn, thở nhanh, gắng sức, nhịp tim nhanh hay SpO2 < 93% là phải nhanh chóng đưa trẻ đến bệnh viện hoặc thậm chí liên hệ ngay với Tổ phản ứng nhanh tại địa phương.
“Những trường hợp này không thể điều trị tại nhà mà cần có sự can thiệp cấp cứu của nhân viên y tế. Nếu chủ quan, không theo dõi trẻ có thể đến bệnh viện khi bệnh diễn tiến đã nặng khiến việc điều trị khó khăn”, bác sĩ Nguyên nhấn mạnh.
>>> Cập nhật tình hình Covid-19 mới nhất
Tú Anh

Lần đầu tiên vận chuyển máu hiếm chi viện TP.HCM
Nhóm máu hiếm được ví “quý như vàng” vì chỉ chiếm khoảng 0,1% dân số Việt Nam, thường không có sẵn ở các cơ sở y tế.

