Cơ quan an ninh hạ tầng và mạng của Bộ An ninh nội địa Mỹ (The Department of Homeland Security’s Cybersecurity and Infrastructure Security Agency - DHS) đã đưa ra một cảnh báo rằng một số máy khử rung tim cấy ghép Medtronic có chứa các lỗ hổng cho phép hacker tấn công nếu những đối tượng này có hiểu biết về thiết bị và gần gũi với các cá nhân đó. Con số những thiết bị này là 750.000, rất đáng ngại.
![]() |
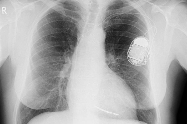
| Một lỗ hổng nghiêm trọng cho phép hacker điều khiển các thiết bị được cấy vào bên trong bệnh nhân. |
Máy khử rung tim cấy ghép là thiết bị nhỏ giúp ngăn ngừa các vấn đề về tim có thể gây tử vong bằng cách sử dụng các sốc điện nhỏ để điều trị nhịp tim không đều. Cơ quan này cho biết hôm thứ Năm rằng nếu lỗ hổng bị khai thác, chúng sẽ cho phép kẻ tấn công gây ra ảnh hưởng đến chức năng của các loại máy này.
Một cuộc tấn công giả lập đã được phát triển bởi các nhà nghiên cứu đã có thể kiểm soát các thiết bị cấy ghép theo cách mà trước đây chưa từng có trong hầu hết các khai thác ảnh hưởng đến các thiết bị dạng cấy ghép này.
Với quyền truy cập vật lý vào bảng điều khiển MyCareLink hoặc CareLink, các nhà nghiên cứu có thể sửa đổi tên bệnh nhân, tên bác sĩ và số điện thoại có liên quan ra khỏi thiết bị và thực hiện các thay đổi trái phép, thậm chí có thể gây tử vong cho bệnh nhân đang đeo các thiết bị này.
DHS đã liệt kê hơn mười thiết bị tim Medtronic bị ảnh hưởng bởi các lỗ hổng. Bao gồm máy khử rung tim cấy ghép và máy khử rung tim điều trị đồng bộ hóa tim.
Trả lời vấn đề này, Medtronic cho biết: “Hiện tại công ty đang xem xét hoạt động bất thường hoặc trái phép liên quan đến lỗ hổng nhưng họ không tìm thấy sự cố khai thác thành công lỗ hổng nào cho đến thời điểm này. Công ty đang nghiên cứu các bản sửa lỗi bảo mật cho các lỗi, dự kiến được cập nhật vào cuối năm nay”.
Phó chủ tịch y tế của công ty Medtronic - Robert Kowal cho biết lỗ hổng bảo mật sẽ rất khó khai thác để tạo ra tác hại. Đối tượng cần ở gần bệnh nhân trong khoảng cách 20 feet để thực hiện cuộc tấn công. Hãng khuyên bệnh nhân và bác sĩ tiếp tục sử dụng các thiết bị và công nghệ này, vì điều này mang lại cách quản lý thiết bị của bệnh nhân hiệu quả nhất khi điều trị bệnh liên quan đến tim.
Tuy nhiên Medtronic cũng cảnh báo, bệnh nhân cũng chỉ nên sử dụng các thiết bị theo dõi máy khử rung tim được cung cấp cho họ bởi Medtronic hoặc bác sĩ của họ. Công ty cũng khuyên mọi người nên kiểm soát tốt thiết bị trên màn hình mà Medtronic cung cấp, tránh liên kết (pair) chúng với các thiết bị “lạ”.
Sự việc này dù có thể chưa được khai thác nhưng nó cho thấy mặt trái của công nghệ và tiện ích. Gần như mọi thiết bị đều có thể bị tấn công nếu chúng có các chức năng kết nối, điều khiển từ xa.
An Nhiên (theo Gizmodo)

100% máy tính Windows đang dính lỗi bảo mật nghiêm trọng này
McAfee cảnh báo tin tặc đang khai thác lỗ hổng bảo mật đã tồn tại suốt 19 năm qua trong phần mềm nén và giải nén WinRAR.
