
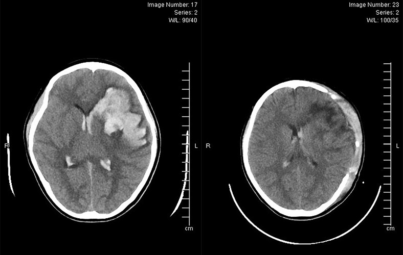
1 giờ trước khi nhập viện, bệnh nhi Nguyễn L.Q.N, (13 tuổi, trú tại TP Hạ Long, Quảng Ninh) có tình trạng co giật, giảm ý thức. Cấp cứu tại Bệnh viện Bãi Cháy, N. được thăm khám lâm sàng, cận lâm sàng, kết quả chụp Ctscaner sọ não cho thấy hình ảnh xuất huyết não.
Các bác sĩ đã hội chẩn, kết luận bệnh nhân xuất huyết não do vỡ khối thông động tĩnh mạch não (AVM). Tiên lượng tình trạng bệnh nhân nặng, nguy cơ tử vong cao, các bác sĩ đã tiến hành phẫu thuật mở sọ cắt bỏ khối dị dạng AVM, giải áp, lấy máu tụ.

Ngay sau phẫu thuật, bệnh nhân sốt cao liên tục không đáp ứng thuốc hạ sốt, được điều trị bằng các phương pháp hồi sức với kỹ thuật hạ thân nhiệt chỉ huy để giảm tổn thương, giúp tế bào não phục hồi nhanh chóng.
Sau 7 ngày điều trị, bệnh nhi thoát nguy kịch, phục hồi ý thức, được rút ống nội khí quản, tiếp tục điều trị phục hồi sức khỏe, vận động.
BS Nguyễn Sỹ Mạnh – Khoa Hồi sức tích cực, Bệnh viện Bãi Cháy, cho biết, kỹ thuật hạ thân nhiệt chỉ huy có thể thực hiện bằng hai cách là hạ thân nhiệt nội mạch hoặc hạ thân nhiệt bề mặt. Trường hợp bệnh nhi này, quá trình điều trị hồi sức tích cực hậu phẫu có tình trạng sốt cao không ngừng gây tăng tổn thương não nặng nề. Bên cạnh đó là nhiều nguy cơ khác như phù não, tái xuất huyết não, nhiễm trùng vết mổ… Vì vậy, phương pháp hạ thân nhiệt bề mặt sẽ giúp não giảm phù, viêm, cải thiện tưới máu và cung cấp oxy, do đó tăng cơ hội sống sót cho bệnh nhân, giúp não bộ phục hồi ý thức, vận động tốt hơn.
Với thiết bị hạ thân nhiệt đặc biệt, các bác sĩ sẽ tiến hành hạ thân nhiệt bề mặt hoặc nội mạch của bệnh nhân từ 37 độ C xuống còn 33 – 36 độ C và duy trì mức này trong một khoảng thời gian nhất định. Sau đó thiết bị sẽ nâng dần nhiệt độ của bệnh nhân theo chương trình rất chặt chẽ cho tới khi đạt nhiệt độ bình thường.

Bệnh dị dạng mạch máu não hay còn gọi là dị dạng thông động tĩnh mạch não (AVM), là một dị tật bẩm sinh, bất thường trong mạch máu não. Bệnh xảy ra khi quá trình phát triển của hệ thống mạch máu não gặp bất thường, tạo ra tình trạng thông giữa động mạch não và tĩnh mạch não, không đi qua hệ mao mạch bình thường của não, không cấp máu cho nhu mô não, khi vỡ gây đột quỵ, chảy máu não.
Đa số các trường hợp dị dạng mạch máu não không có triệu chứng mà được phát hiện thông qua tầm soát sức khỏe. Dị dạng mạch máu não có thể kích thích mô não chung quanh và gây ra số triệu chứng chủ yếu là cơn co giật mới khởi phát, yếu hoặc liệt cơ, mất phối hợp, khó khăn khi thực hiện những động tác phức tạp, chóng mặt, đau đầu mạn tính. Ngoài ra, bệnh nhân sẽ có vấn đề về ngôn ngữ, các cảm giác bất thường như: tê, ngứa, đau tự phát...
Các biến chứng nguy hiểm của dị dạng mạch máu não đe dọa tử vong cao như giảm oxy đến mô não, mạch máu mỏng hoặc yếu gây phình, vỡ động mạch não, đột quỵ xuất huyết não…
Lê Phương
