Lần đầu tiên một ca phẫu thuật não được phát trực tiếp trên Facebook, và bệnh nhân trong ca mổ đó còn hoàn toàn tỉnh táo. Jenna Schardt là nhân vật chính của buổi phát livestream hôm thứ ba trên Facebook của Trung tâm y tế Methodist Dallas.
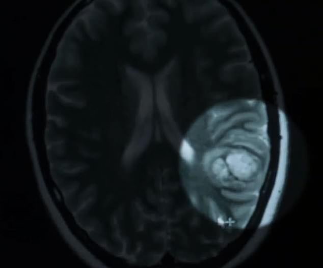
Đó là một cô gái 25 tuổi đến từ Illinois không may có một khối u máu trong não. Khối u đè lên vùng kiểm soát ngôn ngữ khiến cô ấy không thể nói chuyện bình thường và có các triệu chứng đột quỵ và động kinh.
Như một phương pháp chữa trị hiệu quả nhất, các bác sĩ cần mở hộp sọ của Schardt và cắt bỏ khối u ra ngoài.
Nimesh Patel, Trưởng Khoa Phẫu thuật Thần kinh tại Methodist Dallas, cho biết ý tưởng phát trực tiếp buổi phẫu thuật trên Facebook được trung tâm y tế đưa ra một cách thận trọng, nhưng bản thân Schardt ngay lập tức đồng ý và tỏ ra rất hào hứng với nó.
Cô muốn chứng minh cho mọi người khác rằng: Nếu cơ thể bạn bị hỏng hóc ở đâu đó, các bác sĩ hoàn toàn có thể sửa chữa lại vị trí đó, ngay cả khi đó là bên trong hộp sọ.

Cô gái 25 tuổi livestream ca phẫu thuật não của chính mình khi hoàn toàn tỉnh táo
Nếu đã bỏ lỡ buổi phát trực tiếp này, bạn hoàn toàn có thể xem lại nó ở đây, trên Facebook của Trung tâm y tế Methodist Dallas. Máy quay được bật tổng cộng hơn 45 phút, với lời bình luận trực tiếp của Nimesh Patel và một phát ngôn viên.
Trước đó một tiếng rưỡi, phần đáng sợ đầu cuộc phẫu thuật đã diễn ra. Các bác sĩ đã gây mê cho Schardt và cẩn thận cắt một mảnh sọ ra khỏi đầu cô ấy. Toàn bộ hộp sọ và ba lớp mô bảo vệ được gọi là màng não của Schardt cũng đã được tiêm tê.
Vài phút sau khi máy quay được bật, môi Schardt nhếch lên, cô gái nhoẻn miệng cười. Lông mi cô rung lên và Schardt mở mắt ra để nhìn xung quanh phòng. "Ồ, cô ấy tỉnh lại rồi!", một nhân viên y tế kêu lên.
Không giống với các bệnh nhân phẫu thuật nặng khác, Schardt không được đặt nội khí quản. Chỉ có một chiếc ống màu xanh lá cây duy nhất kẹp vào mũi giúp cô ấy có đủ oxy.
Đầu của Schardt được giữ cố định nhờ một cái kẹp lớn. Phía bên kia, đằng sau rèm phẫu thuật mà ống kính camera không chiếu đến, hộp sọ của cô gái đã mở ra, phơi bày não bộ ra ngoài không khí cho phép các bác sĩ có thể đưa dụng cụ phẫu thuật vào thao tác.
Phía bên này, Schardt chỉ đơn giản đang nằm thao thức, cô gái trẻ không hề cảm thấy một chút đau đớn nào. Nimesh Patel giải thích: Bởi hộp sọ và màng não đã của Schardt đã được làm tê, trong khi bên trong não bộ có rất ít thụ thể gây đau, ngay cả khi các dụng cụ phẫu thuật đang chọc vào não cô ấy để thăm dò, Schardt cũng không cảm thấy gì hết.
Điều duy nhất làm khó chịu cô ấy lúc này là cái đầu bị giữ chặt và một chút khô miệng do tác dụng phụ của thuốc gây mê.
Lần đầu tiên một ca phẫu thuật não được phát trực tiếp trên Facebook, và bệnh nhân trong ca mổ đó còn hoàn toàn tỉnh táo.
Schardt mỉm cười khi trưởng kíp phẫu thuật, một bác sĩ tên John cúi xuống và bắt đầu trò chuyện với cô.
Khối u máu của Schardt nằm ở bán cầu não trái, nơi xử lý 95% khả năng sử dụng ngôn ngữ của cô. Ước tính cứ 100-200 người thì sẽ có một người mắc u máu não, nhưng một phần tư trong số họ không hề có bất cứ triệu chứng nào biểu hiện ra bên ngoài.
U máu não khá hiếm trong toàn bộ dân chúng nói chung, nhưng nó có tỷ lệ mắc phải cao hơn các loại dị tật khác.
Không có nguyên nhân rõ ràng nào, các mạch máu não ở một số người đôi khi chủ tự nhiên chồi lên thành một mớ, giống với cục u như tên của căn bệnh, thay vì luồn lách và ăn sâu vào các vùng khác nhau của não như bình thường.
Khi khối u máu to lên, nó có thể đè lên các phần khác nhau của não bộ, làm gián đoạn các chức năng, dẫn đến mất thị lực, nhìn đôi, lú lẫn, đau đầu, buồn nôn, khó ngủ, mất thăng bằng và nhiều triệu chứng khác.
Nguy cơ lớn nhất cho những người mắc phải căn bệnh này là các mạch máu trong khối u vỡ ra, gây xuất huyết não và tổn thương thần kinh.

Khối u máu trong não Schardt
Các vấn đề về thần kinh của Schardt bắt đầu phát triển trong khi cô đang học để trở thành một nhà vật lý trị liệu. Một ngày đi làm, cô đột nhiên bị mất tiếng nói. Sau khi được đưa đến một bệnh viện địa phương, các bác sĩ đã tìm thấy một khối u máu trong não cô.
Khối u được chỉ định phải cắt bỏ. Và giống như nhiều ca phẫu thuật não khác, Schardt phải được giữ tỉnh táo trong quá trình các bác sĩ thăm dò và lập bản đồ não bộ cho cô. Khối u sẽ được khoanh vùng nhằm đảm bảo các khu vực chức năng còn khỏe mạnh trong não Schardt không bị xâm phạm.
Đó là lý do tại sao bác sĩ John phải liên tục nói chuyện với cô ấy trong buổi phẫu thuật. Mỗi khi hai bác sĩ phẫu thuật ở phía sau chọc các kim thăm dò vào bộ não Schardt, John phải để ý xem cô ấy có còn nói chuyện trôi chảy không.
"Chỉ 1 milimet lệch sang bên trái hoặc bên phải cũng có thể ảnh hưởng tới lời nói của cô ấy, vì vậy, nếu cô ấy không thể nói, chúng tôi biết đó là khu vực chúng tôi muốn tránh", Patel nói.
Khi Schardt đã cảm thấy thoải mái và sẵn sàng, bác sĩ John hướng dẫn cô ấy nhìn vào một chiếc iPad và nói những hình ảnh cô ấy nhìn thấy trên đó. Mỗi hình ảnh sẽ xuất hiện sau một tiếng "pew", đó là tín hiệu cho thấy các bác sĩ phẫu thuật ở phía sau đang chọc que dò vào não bộ Schardt.
"Bướm… rùa…chuối… cam… người… số bốn…đôi giày", Schardt trả lời sau mỗi tiếng "pew". "Chúng tôi thực sự đang chờ đợi cô ấy bỏ lỡ thứ gì đó, đó là một dấu hiệu cho thấy khu vực cấm xâm phạm", Pael nói.
Trong khi đó, Schardt vẫn tiếp tục trả lời các câu đố mà không gặp trở ngại nào, một lúc trước khi cô ấy dừng lại lâu hơn bình thường và nói vấp một từ.
Một vùng cấm! Các bác sĩ đánh dấu nó lại.

Schardt trong bài kiểm tra với iPad. Các bác sĩ đang thăm dò não bộ của cô ấy phía sau tấm rèm xanh.
Sau một vài phút Schardt tiếp tục vượt qua bài kiểm tra một cách xuất sắc, các bác sĩ phẫu thuật cảm thấy rất hài lòng với vùng biên giới khối u mà họ đã vạch ra. Bước tiếp theo chỉ là đưa dao cắt bỏ theo đường vạch sẵn. Họ đã sẵn sàng!
"Ồ tuyệt", Schardt kêu lên, tiếng của cô bị lấn át bởi tiếng máy móc và dụng cụ phẫu thuật sau đó. Các bác sĩ đã đang làm công việc của họ.
Schardt vẫn tỉnh táo, mỉm cười và trò chuyện với vị bác sĩ. Các câu chuyện có nhiều chủ đề ngẫu nhiên, từ "đứa con" của Schardt, thực sự là một chú chó mà cô đặt tên là Paisley, cho tới kế hoạch học nốt thạc sĩ của cô…
Video tường thuật diễn ra trong vòng 45 phút với hơn 165.000 lượt xem và 1.400 bình luận. Nhiều người xem đã cảm ơn Schardt và các bác sĩ vì đã cho họ cơ hội xem một thủ tục phẫu thuật chứng minh cho sự kì diệu của y học.
"Được xem cuộc phẫu thuật này đã cho tôi hi vọng, tôi cũng sắp có một cuộc phẫu thuật tương tự vậy ở thùy thái dương", một bình luận viết.
"Tôi cũng có một khối u máu có kích thước tương tự ở cuống não, tôi vào đây để xem qua xem nếu tôi phẫu thuật thì sẽ như thế nào", một người khác bình luận.
Sau buổi livestream, liều thuốc mê của Schardt được tăng lên. Các bác sĩ sẽ kết thúc ca phẫu thuật và đóng lại mảng sọ não cho cô.

Schardt tươi tỉnh sau ca phẫu thuật, hôm nay, 1/11, cô ấy đã được xuất viện về nhà.
Vài giờ sau đó, Schardt đã tỉnh táo trở lại. Trung tâm y tế Methodist Dallas thông báo ca mổ đã thành công mỹ mãn, cùng với một bức hình chụp Schardt đang nằm tươi tỉnh trong phòng hồi sức.
Dự kiến, các bác sĩ sẽ tiếp tục theo dõi sức khỏe của Schardt trong một thời gian. Hôm nay, 1/11, cô ấy đã được xuất viện về nhà.
Tham khảo Theguadian, Dailymail