
Ngày 30/12, Bệnh viện Nhi Đồng 1, TP.HCM cho biết vừa tiếp nhận một bé trai nuốt phải kim băng.
Bệnh nhân tên là L. K. Đ., ngụ tại tỉnh Quảng Nam.
Theo người nhà bệnh nhi kể lại, cách đây hai ngày mẹ của bé tháo chiếc kim băng cài khăn tay rồi để luôn trên giường và chạy ra ngoài.
|
|
Đến khi quay vào, tìm chiếc kim băng không thấy chị mới tá hỏa vì nghi cậu con trai đã nuốt phải.
Làm đủ mọi cách nhưng gia đình không thể lấy được chiếc kim băng ra từ họng Đ. nên đành đưa bé đến bệnh viện.
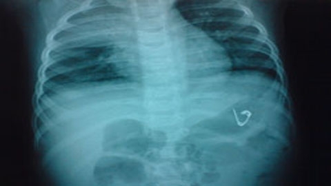
Tại bệnh viện, các bác sĩ kết luận bệnh nhi có chiếc một chiếc kim băng mở bung nằm trong bụng. Bé Đ. đã rất may mắn vì ruột và thực quản không bị mũi nhọn của kim băng chọc trúng gây tổn thương.
Sau một ngày theo dõi, chiếc kim băng trên đã tự thoát ra khỏi cơ thể bệnh nhi theo đường tự nhiên.
Qua đó, các bác sĩ cảnh báo phụ huynh không được để những vật nguy hiểm trong tầm với của trẻ. Hiện nay, tai nạn sinh hoạt là một trong những nguyên nhân gây tử vong hàng đầu cho trẻ em.
Thanh Huyền