Đây là cơ hội đặc biệt để người dân trên toàn quốc phát hiện sớm ung thư gan trước báo động về căn bệnh nguy hiểm này ngày càng gia tăng tại Việt Nam.
Nam sinh 15 tuổi phát hiện ung thư gan; lý do nhiều người mắc phải
Hệ thống Y tế MEDLATEC vừa tiếp nhận trường hợp bệnh nhân nam Lê Trí H. (15 tuổi, Quảng Ninh) đi khám vì mắc viêm gan B lây từ mẹ lúc mới sinh. Do thời điểm đó các chỉ số xét nghiệm hoàn toàn bình thường, virus cũng ở thể dung hòa miễn dịch (ít hoạt động), cháu H. thể trạng khỏe mạnh nên nhiều năm gia đình chủ quan không cho con đi kiểm tra sức khỏe định kỳ.
Tại thời điểm thăm khám, bác sĩ có chỉ định người bệnh làm các xét nghiệm và chẩn đoán hình ảnh chuyên sâu để kiểm tra gan.
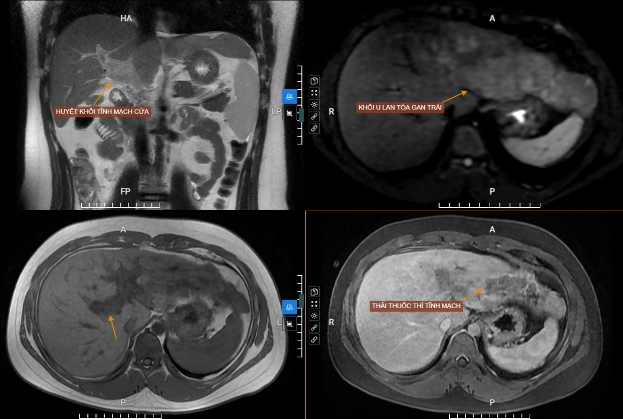
Kết quả siêu âm phát hiện nhiều nốt tăng âm trong gan, nhu mô gan thô kèm theo lách to. Sau đó, bệnh nhân được chỉ định chụp MRI ổ bụng có tiêm thuốc đối quang từ để đánh giá chi tiết các tổn thương. Kết quả phát hiện đám tổn thương lan tỏa không rõ ranh giới vùng nhu mô gan phải.

Về xét nghiệm, bệnh nhân phát hiện nhiều chỉ số bất thường, đặc biệt là chỉ số tầm soát ung thư gan (AFP) tăng gấp hàng chục nghìn lần so với người bình thường.
Sau khi tiến hành hội chẩn, các bác sĩ kết luận đây là khối ung thư gan lan tỏa nhu mô gan phải, có xâm lấn và gây huyết khối tĩnh mạch cửa.
Câu chuyện buồn trên chính là bài học đắt giá cho sự chủ quan sức khỏe của không chỉ gia đình bệnh nhân Lê Trí H. , mà của nhiều người.
TS.BS Ngô Chí Cương - Trưởng Khoa Nội, Bệnh viện Đa khoa MEDLATEC, Trưởng chuyên khoa Truyền nhiễm, Hệ thống Y tế MEDLATEC khuyến cáo: Virus viêm gan B là yếu tố nguy cơ hàng đầu gây ung thư gan. Vì vậy, sau khi có chẩn đoán xác định mắc bệnh, người bệnh cần được tham gia chương trình quản lý bệnh mạn tính và tuân thủ tuyệt đối liệu trình điều trị của bác sĩ khi đủ tiêu chuẩn điều trị, theo dõi các chỉ số cần thiết của cơ thể để quản lý sức khỏe lá gan tốt nhất.
Kiểm soát bệnh lý gan mật - “chìa khóa vàng” phòng ung thư gan
Theo Globocan 2020, hiện nay, ung thư gan đã vượt qua ung thư phổi để trở thành loại ung thư đứng đầu tại Việt Nam với gần 26.500 ca mắc mỗi năm. Trong đó, 77% số ca ung thư gan là nam giới. Đây cũng là loại ung thư có số ca tử vong dẫn đầu với gần 25.300 ca, chiếm 21% tổng số tử vong do ung thư, cao gấp 3,8 lần tổng số ca tử vong do tai nạn giao thông năm 2020.
Hiện nay, nhiều người có lầm tưởng rằng ung thư gan chỉ có thể xảy ra ở những người trung tuổi trở lên, có thói quen sử dụng rượu bia và lạm dụng chất kích thích. Tuy nhiên, thực tế ghi nhận ung thư gan có thể xảy ra ở mọi lứa tuổi, trong đó có cả trẻ em.
Các triệu chứng của ung thư gan có thể bao gồm giảm cân hoặc chán ăn, đau bụng, buồn nôn, mệt mỏi, vàng da. Tuy nhiên, trong giai đoạn đầu, hầu hết không có bất kỳ triệu chứng nào, hoặc có thể nhẹ nên người dân dễ chủ quan. Vì vậy, tầm soát ung thư gan là cách tốt nhất để phát hiện bệnh từ sớm và tăng cơ hội chữa khỏi.

TS. Cương cho biết, tầm soát ung thư gan cần được thực hiện cho các đối tượng có yếu tố nguy cơ cao như sau:
· Xơ gan do virus, do rượu và các nguyên nhân khác;
· Nhiễm virus viêm gan B, viêm gan C mạn tính (nguyên nhân hàng đầu dẫn tới ung thư gan);
· Tiền sử gia đình có người ung thư gan.
Ngoài ra, người dân nên khám ngay nếu xuất hiện các dấu hiệu bất thường như mệt mỏi, nước tiểu có màu vàng đậm, đau âm ỉ vùng gan, xuất huyết dưới da...
MEDLATEC miễn phí xét nghiệm tầm soát nguy cơ ung thư gan
Sau gần 3 thập kỷ hình thành và phát triển, MEDLATEC - hệ thống y tế tư nhân có độ phủ trên hầu khắp các tỉnh thành tại Việt Nam chính thức vươn tầm quốc tế với điểm đặt chân đầu tiên tại Campuchia. Nhân sự kiện đặc biệt này và thay lời tri ân khách hàng đã tin tưởng, đồng hành cùng Hệ thống Y tế MEDLATEC trong suốt thời gian qua, từ ngày 5 đến hết ngày 25/10, MEDLATEC tổ chức miễn phí xét nghiệm tầm soát nguy cơ ung thư gan (AFP) với người dân trên toàn quốc.

Để tham gia chương trình, người dân có thể đến trực tiếp tại Hệ thống Bệnh viện/Phòng khám Đa khoa MEDLATEC, hoặc đăng ký qua dịch vụ lấy mẫu xét nghiệm tận nơi trên toàn quốc bằng cách gọi qua tổng đài 1900 565656, hoặc đăng ký qua app My Medlatec.
Tham gia chương trình tầm soát nguy cơ ung thư gan 0 đồng này, người dân hoàn toàn an tâm được trực tiếp thăm khám, tư vấn và điều trị bởi các chuyên gia đầu ngành. Đồng thời, MEDLATEC bảo đảm kết quả xét nghiệm chính xác, tin cậy, cũng như có đầy đủ kỹ thuật chẩn đoán hình ảnh (CT, MSCT, MRI...) và bộ xét nghiệm chuyên sâu giúp khách hàng phát hiện sớm ung thư gan và nhanh chóng tìm tận “gốc rễ” bệnh lý gan mật để phòng và điều trị hiệu quả.
Mọi thông tin chi tiết, liên hệ tổng đài 1900 565656.
Thế Định