Lãnh hậu quả do chủ quan
Lo lắng sau 2 ngày xuất hiện đau bụng thượng vị, đau âm ỉ liên tục, lan sau lưng, chướng bụng, nôn, bệnh nhân nữ (58 tuổi, ở Hà Nội) quyết định đến Bệnh viện Đa khoa MEDLATEC thăm khám.
Khai thác tiền sử, bệnh nhân cho biết, bản thân bị viêm tuỵ cấp do tăng triglycerid (Lần đầu năm 2021, lần thứ hai năm 2022). Đặt 2 stent mạch vành năm 2023. Hiện bệnh nhân đang điều trị thuốc thuộc nhóm thuốc chống kết tập tiểu cầu, thuốc tăng huyết áp, nhưng không tuân thủ điều trị và theo dõi định kỳ mỡ máu.
Bác sĩ thăm khám, người bệnh bụng chướng hơi, ấn đau nhiều vùng thượng vị và sườn trái, phản ứng thành bụng (+), ấn điểm sườn lưng bên trái đau.
Đáng lưu ý kết quả xét nghiệm tiểu đường (HbA1c) tăng: 6,37%; Xét nghiệm đo lượng chất béo trung tính trong máu (triglycerdide) tăng; Cholesterol tăng (14,11mmol/L); Lipemia tăng (759) cho biết độ đục có thể nhìn thấy trong các mẫu huyết thanh hoặc huyết tương; Lipase để chẩn đoán các bệnh lý liên quan đến tuyến tụy cho kết quả tăng (216,30 U/L).

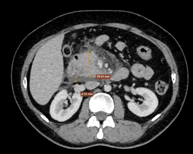
Chụp cắt lớp vi tính (CT-Scanner) ổ bụng có đầu tụy tăng kích thước, đường kính xấp xỉ 40mm. Bờ tụy đều, xung quanh tụ dịch dày 8mm, dịch lan ra khoang cạnh thận phải, gốc mạc treo dày 5mm. Hình ảnh viêm tuỵ cấp (Balthazar D).
Với chẩn đoán xác định bị viêm tụy cấp Balthazar D do tăng triglycerid - Stent mạch vành - Rối loạn chuyển hóa lipid máu, bệnh nhân được các bác sĩ tư vấn nhập viện điều trị để tránh biến chứng nguy hiểm.
BSCKI. Đào Việt Hưng - Chuyên khoa Nội, Bệnh viện Đa khoa MEDLATEC cho hay: “Đây là ca bệnh khó, vì bệnh nhân khó kiểm soát mỡ máu và mắc bệnh phối hợp, do đã đặt stent mạch vành, nên phải sử dụng hai nhóm thuốc hạ mỡ máu. Trong quá trình điều trị luôn là bài toán cần lời giải của cả chuyên khoa Nội tiết và Tim mạch. Nếu chỉ dùng một nhóm thuốc mỡ máu cụ thể (Statin) để ổn định mạch vành thì có thể mỡ triglycerid cũng sẽ tăng lên và gây viêm tụy cấp tái phát lần 3”.

Ngay sau đó, bệnh nhân được được bác sĩ tại MEDLATEC điều trị bằng đặt Catheter tĩnh mạch trung tâm, truyền tĩnh mạch Insullin liên tục 6 UI/h, dinh dưỡng tĩnh mạch, PPI, thuốc giảm đau, hạ mỡ máu, giảm nôn và tạm nhịn ăn.
Sau 7 ngày điều trị tích cực, bệnh nhân được xuất viện với toàn trạng ổn định, tỉnh táo, ăn uống được và đại tiểu tiện bình thường.
May mắn thoát khỏi “cửa tử”, nữ bệnh nhân gửi lời cảm ơn ekip bác sĩ MEDLATEC đã phát hiện, điều trị chính xác với trình độ chuyên môn sâu, cũng như tận tình thăm hỏi, chia sẻ và hướng dẫn trong suốt thời gian nằm viện bằng trái tim y đức, trách nhiệm của các thầy thuốc.
Thoát khỏi bệnh tim mạch nhờ kiểm tra định kỳ
Nam bệnh nhân Đ.Q.S (45 tuổi, Thái Bình) dù không có triệu chứng nhưng vẫn kiểm tra sức khỏe định kỳ. Trong lần đi khám định kỳ, anh S., vô tình phát hiện có tăng mỡ máu và nghi ngờ bệnh lý mạch vành do vữa xơ.
Với thói quen ít hoạt động thể lực, thừa cân, xét nghiệm có rối loạn chuyển hóa lipid máu, điện tim có nghi ngờ thiếu máu cơ tim, vì vậy, bác sĩ tư vấn anh S., chụp MSCT mạch vành.
Không nằm ngoài dự báo của bác sĩ, kết quả chụp MSCT của bệnh nhân có vữa xơ gây hẹp đáng kể động mạch vành phải và động mạch liên thất trước.
Sau đó, anh S., được bác sĩ kê đơn điều trị mỡ máu kịp thời, ngăn ngừa vữa xơ động mạch vành, chống kết tập tiểu cầu để dự phòng biến chứng hội chứng vành cấp và nhồi máu cơ tim. Đồng thời, bác sĩ tư vấn cho anh cách phòng bệnh và kiểm tra định kỳ.

Kỳ nghỉ Tết Nguyên đán vừa khép lại, nhưng có lẽ dư âm với bệnh nhân tiểu đường, mỡ máu thì chỉ “người trong cuộc” mới hiểu. Bên cạnh đó, những người có yếu tố nguy cơ như thừa cân, béo phì, ít vận động, hoặc có chế độ ăn nhiều dầu mỡ, ít chất xơ... cũng nơm nớp lo lắng sức khỏe.

Để an tâm năm mới khỏe mạnh, bên cạnh thực hiện chế độ ăn uống khoa học, duy trì lối sống lành mạnh, người dân nên đi kiểm tra định kỳ để biết tình trạng sức khỏe.

Nhằm giúp người dân an tâm kiểm soát bệnh lý tiểu đường, mỡ máu - nguyên nhân hàng đầu gây xơ vữa cứng, hẹp, tắc động mạch mạch não, mạch vành tim… từ nay đến hết ngày 28/2, Hệ thống Y tế MEDLATEC tặng 25.000 Gói khám và Gói xét nghiệm đường máu, mỡ máu. Chương trình áp dụng tại Hệ thống Bệnh viện/ Phòng khám và dịch vụ lấy mẫu xét nghiệm tận nơi toàn quốc.
Thông tin liên hệ tổng đài toàn quốc: 1900 56 56 56.
Bích Đào