
Ngày 14/6, Bệnh viện Đa khoa tỉnh Quảng Ninh cho biết các bác sĩ vừa phẫu thuật cho một bệnh nhi bị u tai giữa bẩm sinh.
Bệnh nhi là bé N.X.P.H (5 tuổi, trú tại thị trấn Quảng Hà, huyện Hải Hà Quản Ninh) vào khám vì nhức tai. Theo gia đình, bé bị đau nhức tai nhẹ, đi khám nội soi tai mũi họng tại Trung tâm y tế huyện Hải Hà bất ngờ phát hiện khối trắng đục như hạt ngọc trai nằm trong tai phải. Trước đó, bé chưa từng bị viêm tai giữa, chảy mủ tai hay can thiệp tai giữa. Bác sĩ chẩn đoán bệnh nhi mắc Cholesteatoma tai giữa phải và chuyển viện tỉnh phẫu thuật nội soi lấy khối u.

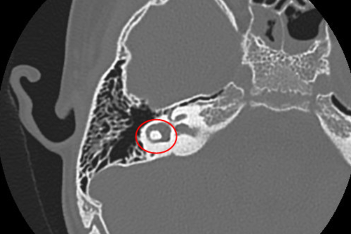
Tại đây, bệnh nhi được chụp cát lớp vi tính xương thái dương thấy hình ảnh khối u vị trí mặt trong chuỗi xương con. Đây là một bệnh lý hiếm gặp, có thể gây biến chứng nguy hiểm và ảnh hưởng đến chức năng nghe của trẻ nếu không được phẫu thuật điều trị kịp thời.
Bác sĩ tiến hành bóc tách vạt da ống tai ngoài và màng nhĩ, khéo léo lấy khối u ra khỏi hòm nhĩ và khôi phục lại phẫu trường. Sau một giờ phẫu thuật, khối u được lấy sạch hoàn toàn. Bệnh nhi hồi phục tốt.
Choleateatoma là loại u biểu bì sừng hóa, mềm, màu trắng ngà có thể nằm lạc chỗ trong tai giữa hoặc ở bất cứ vị trí nào trong xương thái dương.
Bác sĩ Phạm Quang Huy, chuyên gia phụ trách phẫu thuật tai của Bệnh viện Đa khoa tỉnh Quảng Ninh, cho biết bệnh lý này nếu không được phát hiện và điều trị kịp thời sẽ gây ra các biến chứng nặng nề, bởi chúng có khả năng ăn mòn, phá hủy các thành phần của tai giữa, xương thái dương và các cấu trúc lân cận. Do vậy, bệnh dễ gây các biến chứng nguy hiểm như ảnh hưởng đến chức năng nghe - nói, gây điếc, liệt dây thần kinh mặt, rò ống bán khuyên, thậm chí là các biến chứng nội sọ (viêm màng não, áp xe não, viêm tắc tĩnh mạch bên).


