Cảnh giác với tổn thương phổi
Phổi là cơ quan chịu ảnh hưởng nặng nề nhất do Covid-19. Đồng thời, tổn thương phổi sau khi khỏi bệnh cũng là một trong những di chứng điển hình và phổ biến hàng đầu. Di chứng này có thể xảy ra ở nhiều mức độ từ nhẹ đến nặng nhưng đều gây ảnh hưởng đến sức khỏe và chất lượng cuộc sống của người bệnh với các triệu chứng: ho kéo dài, khó thở, hụt hơi, đau hoặc tức ngực khi gắng sức,...
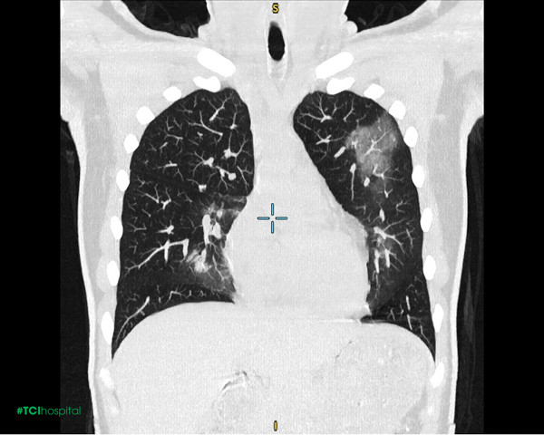
Chị N.T.T (35 tuổi) đến Hệ thống Y tế Thu Cúc TCI khám với biểu hiện ho khan, người mệt mỏi, tức vùng mũi sau 1 tháng mắc Covid-19. Bác sĩ Nội khoa tại TCI đã thăm khám và chỉ định chị T. chụp X-quang ngực thẳng. Kết quả trên phim chụp X-quang phát hiện có bất thường: Hình ảnh đám mờ không đồng nhất ngang mức cung trước xương sườn II-III bên trái. Kết hợp với ảnh chụp CT, chị T. được chẩn đoán viêm phổi đông đặc và xơ hóa phổi.

Được biết, chị N.T.T chỉ là một trong rất nhiều người bệnh đến Thu Cúc TCI thăm khám và phát hiện tổn thương tại phổi. Theo TS.BS CKI Nguyễn Đức Hoan - Giám đốc Phòng khám ĐK Thu Cúc 32 Đại Từ - Nguyên Phó Viện trưởng kiêm Chủ nhiệm Khoa Nội tổng hợp tại Viện điều trị cán bộ cao cấp Quân đội - Bệnh viên Trung ương Quân đội 108): “SARS-CoV-2 có áp lực mạnh mẽ với cơ quan hô hấp, gây tổn thương và để lại nhiều di chứng tại phổi. Các vấn đề về phổi thường gặp hậu Covid-19 gồm: viêm phổi, xẹp phổi, tràn dịch màng phổi, tràn khí màng phổi, áp xe phổi, đông đặc phổi, xơ phổi, tắc nghẽn mạch phổi,… Tổn thương phổi có thể xuất hiện ở cả trường hợp có bệnh lý nền hoặc không. Nếu không được điều trị kịp thời, các di chứng này sẽ gây suy giảm nghiêm trọng chức năng hô hấp và có thể đe dọa đến tính mạng người bệnh.”
1.000 suất kiểm tra phổi miễn phí
Các chuyên gia tại Thu Cúc TCI khuyến cáo: Chủ động thăm khám hậu Covid-19 là giải pháp tối ưu giúp kiểm tra, phát hiện các bất thường tại phổi cũng như các cơ quan khác. Từ đó, việc điều trị đảm bảo tính kịp thời và đạt kết quả tốt nhất.
Để đồng hành cùng người bệnh phát hiện sớm và đẩy lùi các bệnh lý về phổi , Hệ thống Y tế Thu Cúc TCI dành tặng 1.000 combo khám phổi miễn phí trong tháng 4/2022. Combo bao gồm dịch vụ khám lâm sàng với bác sĩ nội khoa hàng đầu và chụp X-quang phổi.

Trong đó, chụp X-quang là chẩn đoán hình ảnh có thể phát hiện nhiều tổn thương ở phổi gồm: tổn thương tổ chức kẽ (hình ảnh lưới mờ, kính mờ, phù tổ chức kẽ); nốt mờ, bóng mờ khu trú hay lan tỏa; đông đặc nhu mô khu trú hay lan tỏa;... Kiểm tra lâm sàng và phim X-quang là căn cứ quan trọng để bác sĩ chỉ định sâu hơn nhằm phát hiện sớm các biến chứng nguy hiểm ở phổi như xơ phổi, tắc nghẽn mạch phổi,...
Để đăng ký nhận combo khám phổi miễn phí, đặt lịch thăm khám hoặc nhận tư vấn chi tiết, quý khách vui lòng liên hệ tổng đài 1900 55 88 96
Lệ Thanh