Tin tức 24h

Bệnh hô hấp tăng cao, tay chân miệng phức tạp

Dù không còn ở đỉnh dịch nhưng diễn biến của bệnh tay chân miệng vẫn khá phức tạp. Bên cạnh đó, bệnh hô hấp đang quá tải chưa từng thấy khiến ngành y tế “căng như dây đàn”.

Kĩ như... sản xuất xúc xích tiệt trùng

Để cho ra đời những sản phẩm xúc xích tiệt trùng (xúc xích TT) chất lượng, nhà sản xuất phải trang bị quy trình sản xuất khép kín tối ưu, đảm bảo từ vệ sinh nhà xưởng, an toàn nguyên liệu đến sức khỏe của công nhân sản xuất.

Những chuyện bức xúc ở phòng đẻ

“Đau vật vã cả ngày trời mà không mở được phân nào, xin mổ lần nào bác sĩ cũng phán một câu xanh rờn là đẻ thường được cứ đợi đi. Đến khi nước ối cạn hết rồi mới tá hỏa cho đi mổ, may mà còn kịp".

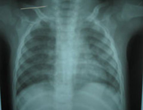
Xẹp phổi vì sặc xương heo, một bé trai suýt chết

Ăn cháo thịt heo, một bé trai 13 tháng bị mảnh xương găm vào phổi, suýt tử vong.

Hà Nội: Hoang mang vì kiến ba khoang đốt người

Người dân ở các khu chung cư Hà Nội đang rất hoang mang vì kiến ba khoang xuất hiện nhiều và đốt người.

Cùng con vượt qua chứng biếng ăn

Cuộc thi “Cùng con vượt qua chứng biếng ăn” được tổ chức trên website biengan.com.vn sẽ là cơ hội giúp các bà mẹ cùng trao đổi, chia sẻ, tích lũy những kinh nghiệm giúp con vượt qua chứng biếng ăn đấy. Cuộc thi kéo dài từ 11/10 - 05/12/2012.

Hờn tủi vì phải 'vượt cạn' một mình

Mình ở bên ngoài, nhìn thấy vợ đau mà ruột gan rối bời. Muốn mang cho vợ hộp sữa, muốn nắm lấy tay vợ để động viên, muốn chìa tay ra cho vợ cắn để đau thay cho vợ dù chỉ một chút thôi mà cũng không được...

'Công nghệ' sản xuất giá từ hóa chất độc

Phần lớn các cơ sở sản xuất giá trong tỉnh Bến Tre đều sử dụng hóa chất có nguồn gốc từ Trung Quốc vào quá trình ủ giá. Nhiều cơ sở còn sử dụng đậu xanh đã xử lý hóa chất được nhập lậu với giá rẻ…

Quá tải, bệnh nhi trải chiếu nằm ngoài sân bệnh viện

Bệnh nhi nhập viện quá đông, dù đã được cấp võng, ghế bố nhưng tại khu nội trú của khoa Hô hấp, gia đình bệnh nhi trải cả chiếu ra hành lang, gầm giường nằm.

Vì cộng đồng không sốt xuất huyết

 Năm 2012 là năm thứ hai các nước trong khu vực ASEAN phát động “Ngày ASEAN phòng, chống sốt xuất huyết”. Tại Việt Nam, sau nhiều năm liền hưởng ứng tích cực và áp dụng các biện pháp phòng chống nhưng diễn biến bệnh SXH vẫn rất phức tạp.

Đà Lạt: Lạ kỳ cậu bé có đôi mắt xanh biếc

Em Nguyễn Văn Hào khiến người đối diện phải ngạc nhiên vì sở hữu một đôi mắt màu xanh nước biển mặc dù các thành viên còn lại trong gia đình đều có đôi mắt màu đen.

Xu hướng ăn kiêng giảm cân mới của dân văn phòng

Thời gian gần đây, giới công chức văn phòng đã khá quen thuộc và bắt đầu áp dụng chế độ ăn kiêng lowcarb nhưng được thiết kế lại cho phù hợp với điều kiện ở Việt Nam, với tên gọi DAS Diet.  

Chữa khỏi ung thư tử cung cho bé gái 12 tuổi

 Mới 12 tuổi đầu đã mắc phải căn bệnh ung thư cổ tử cung quái ác, gia đình bệnh nhi tưởng chừng như hoàn toàn tuyệt vọng, họ không thể ngờ con mình lại được cứu sống.

Lưu Hương Giang “hẹn hò” Thúy Hằng

 “Cải bắp” Lưu Hương Giang đã có buổi “hẹn hò bí mật” với MC - cựu người mẫu Thúy Hằng vào sáng ngày 19/10. Cả hai cùng đạp xe dạo quanh các con phố trung tâm thủ đô để cổ động cho ngày Thế giới phòng chống loãng xương 20/10.

Bổ sung DHA, EPA: Cách khác biệt đến từ Nhật Bản

Khác biệt với hàng trăm sản phẩm tên Omega3 hoặc DHA, hay EPA được chiết xuất từ hợp chất hóa học hoặc từ sụn cá mập trong đó có bổ sung thêm vitamin, Yazuya Nhật Bản ghi dấu ấn với việc chiết xuất DHA, EPA hoàn toàn từ cá biển.

Thú chơi quái gở từ máy massage kích dục

Xã hội phát triển đã gây ra nhiều hệ lụy và những thú chơi quái đản, trong đó máy massage kích dục là công cụ hỗ trợ tình dục được cho là bệnh hoạn của dân chơi.

Loãng xương: nguy hiểm nhưng dễ phòng ngừa

Chưa có nhiều hiểu biết về sức khỏe xương và cách chăm sóc xương đúng cách ngay khi còn trẻ là nguyên nhân dẫn đến tỷ lệ phụ nữ có nguy cơ bị bệnh loãng xương ngày càng tăng.

Thuốc Đông y trộn... cát, xi măng

Thuốc chứa xi măng, cát, mùn đất, tẩm ướp “thuốc độc”, thuốc giả... là phát hiện mới nhất trong đợt kiểm nghiệm của Bộ Y tế về chất lượng thuốc Đông y ở chính các cơ sở khám chữa bệnh của Nhà nước.

Nên tiêm ngừa HPV ngay cả khi đã nhiễm

Chuyên gia khuyến cáo ngay cả khi đã bị nhiễm HPV thì việc tiêm chủng vẫn rất cần thiết để ngăn ngừa bệnh.

Vun từ gốc cho trẻ đạt chiều cao tối ưu

 Sự phát triển của trẻ ảnh hưởng bởi nhiều yếu tố trong đó di truyền chiếm 23%, dinh dưỡng chiếm 32%, còn lại ảnh hưởng bởi giấc ngủ, vận động và môi trường.

Chọn đúng “trợ thủ” diệt gàu

Tóc gàu không chỉ làm mất đi vẻ đẹp của mái tóc, gàu còn gây ra chứng mất ngủ, thậm chí họ phải “hi sinh” cả mái tóc mà vẫn không thoát khỏi gàu…

Khỏe mạnh, sung sức với dinh dưỡng thông minh

Bổ sung dinh dưỡng cho cơ thể ngay từ tế bào để đảm bảo cơ thể khỏe mạnh, cân đối là xu hướng mới của xã hội hiện đại.

“Thần dược” nâng ngực nở rộ

Có hàng chục loại kem, viên uống, bánh được quảng cáo như thần dược nâng ngực đang làm lóa mắt chị em, nhất là người có số đo vòng một khiêm tốn. Nhưng thực tế có hẳn như vậy?

Choáng với băng vệ sinh vỏ Diana, ruột Kotex

Mua một gói băng vệ sinh nhãn hiệu Diana, về nhà, chị H. phát hiện trong ruột là sản phẩm “nhái” của Kotex.

Tản mạn về... cắt “của quý”

Nếu sự cố không mong muốn này xảy ra với ai đó thì lập tức bọc trong đá lạnh và cùng nạn nhân đến ngay cơ sở ngoại khoa hiện đại gần nhất, càng sớm càng tốt mới hy vọng ghép nối có kết quả.