Ngày 26/3, Bệnh viện Đại học Y dược (ĐHYD), TP.HCM cho biết, vừa gắp thành công viên đạn nằm 40 năm trong cơ thể người cựu chiến binh. Viên đạn đã gây ổ áp xe khổng lồ có nguy cơ gây nhiễm trùng cao.
Bệnh nhân là ông V.Đ.K (69 tuổi, quê Nghệ An), ông K. nhập viện trong tình trạng đau dữ dội, sốt cao, vùng hông bị sưng tấy.
Qua khai thác bệnh sử, bệnh nhân cho biết từng nhập ngũ và trúng đạn vào hông phải trong lúc chiến đấu, khi đó ông mới 28 tuổi. Viên đạn găm sâu vào vùng lưng hông, do điều kiện thời đó khó khăn, quân y chỉ lấy được mảnh đầu viên đạn song vẫn còn sót một mảnh vùng thắt lưng vẫn chưa thể lấy ra được.

Ê-kíp phẫu thuật cho bệnh nhân. Ảnh: BSCC
Sau nhiều nỗ lực lấy mảnh đạn nhưng bất thành, bệnh nhân đành sống chung với những cơn đau mỗi khi trái gió trở trời.
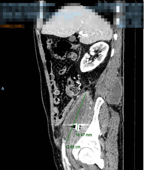
Khi nhập viện, bệnh nhân được thăm khám toàn diện, chụp cắt lớp điện toán. Kết quả kiểm tra phát hiện bệnh nhân có một ổ áp xe to tại vùng cơ thắt lưng chậu phải, ổ áp xe đã lan ra sau lưng. Hình ảnh chụp cho thấy, một mảnh kim loại giống mảnh đạn lúc khai thác bệnh sử.
Chưa hết, kết quả xét nghiệm cho thấy, bạch cầu máu của bệnh nhân tăng cao, có dấu hiệu nhiễm trùng nặng. Sau đó, ông K. được bác sĩ chỉ định mổ cấp cứu khẩn cấp.

Ảnh chụp CT ổ áp xe và viên đạn vẫn nằm suốt 40 năm trong ổ bụng bệnh nhân. Ảnh: BSCC
Bác sĩ Lê Châu Hoàng Quốc Chương, người trực tiếp mổ cho bệnh nhân cho biết, ê-kíp đánh giá việc lấy viên đạn là rất khó khăn vì viên đạn đã sống trong người bệnh nhân 40 năm,chui rất sâu vào trong cơ thắt lưng chậu bên phải. Song, nếu chỉ xử lý ổ áp xe nhiễm trùng mà không lấy mảnh đạn sẽ không thể chấm dứt tình trạng nhiễm trùng tái phát.
Sau khi cân nhắc, bác sĩ quyết định mổ lấy mảnh đạn ra khỏi ổ bụng cho bệnh nhân. Mảnh đạn với kích thước 1x1 (cm), nhiều cạnh sắc cuối cùng cũng được lấy ra sau nhiều giờ phẫu thuật.

Mảnh đạn được lấy ra khỏi người bệnh nhân. Ảnh: BSCC
Bệnh nhân sau mổ đã được chuyển sang Khoa Ngoại Tiêu hóa chăm sóc hậu phẫu. Sau 2 ngày, tình trạng nhiễm trùng của ông K. đã thuyên giảm, hết sốt, hết đau hông lưng và ổ áp xe biến mất dần. Bệnh nhân được xuất viện sau 1 một tuần.
Phan Nhơn

Chủ quan với 1 vết ong đốt ngón tay, người phụ nữ bị nhồi máu cơ tim
- Một phụ nữ nguy kịch sau vết đốt của một con ong ở đầu ngón tay, vết đỏ lan ra cánh tay rồi đến vùng ngực.
- Nhiều lần thăm khám song mảnh đạn ở thời chiến trường của cựu binh đã đi sau vào vùng hông chậu, gây ra ổ áp xe chứa nhiều mủ.