
Hơn 10 ngày trước, bé B.T.Y.N (6 tuổi, Bình Phước) gặp một tai nạn hiếm gặp. Theo cha bệnh nhân, người ở hiện trường kể lại tai nạn xảy ra khi bé N. đứng trước nhà xem các anh chị đánh cầu lông. Bất ngờ, phần thân vợt rơi khỏi tay cầm, bay vút lên và rơi xuống đầu bé.
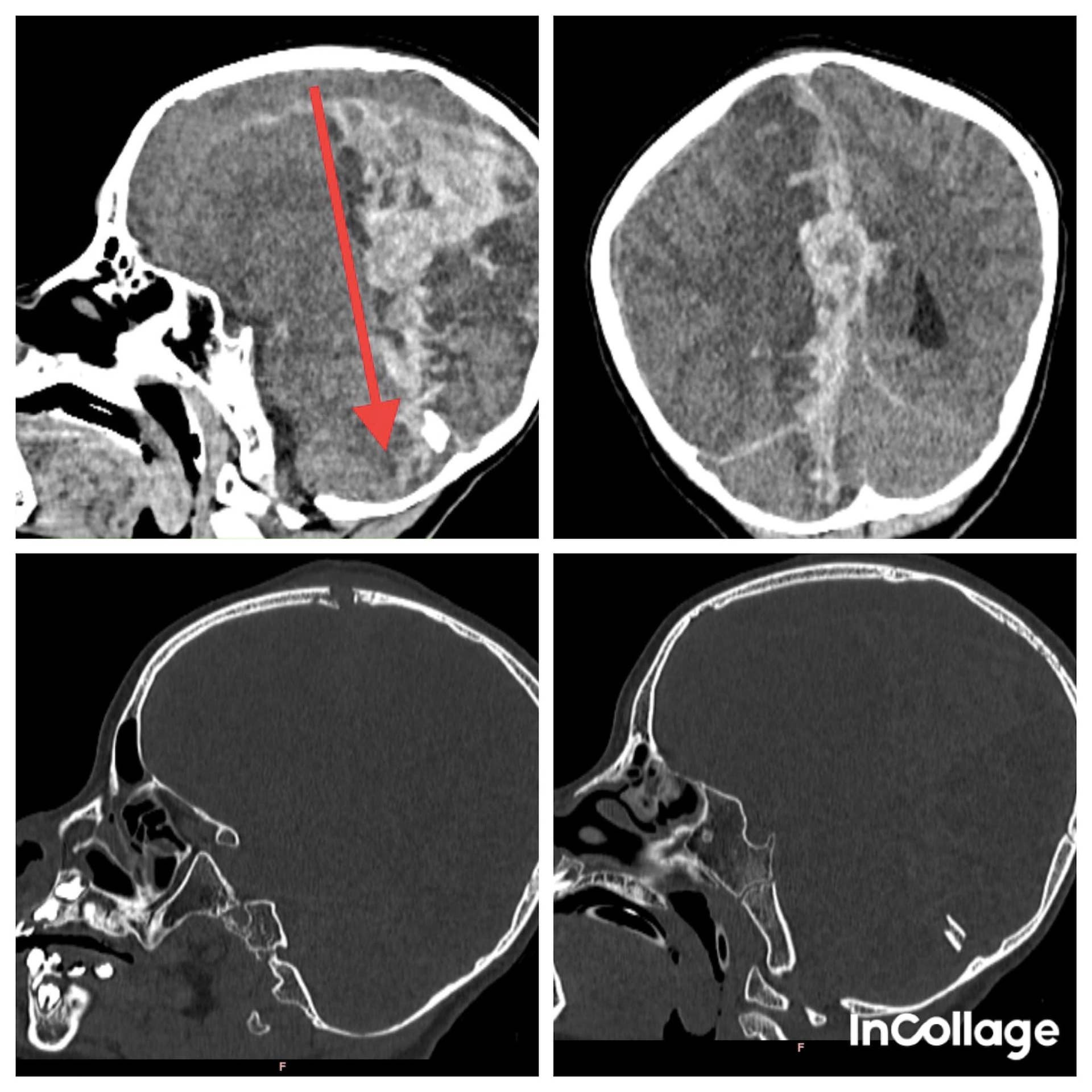
Mọi người đưa nạn nhân đến bệnh viện sơ cứu rồi chuyển lên TP.HCM tiếp tục điều trị. Tại Bệnh viện Nhi đồng 2 TP.HCM, ê-kíp cấp cứu ghi nhận bé hôn mê sâu, có vết thương trước đỉnh đầu đã được khâu, CT-scan ghi nhận tổn thương xuyên thấu qua não.

Tổn thương từ phía trước đỉnh đầu xuyên ra đến phần tiểu não phía sau, gây xuất huyết dưới màng cứng và trong não lượng nhiều, chèn ép và phù não. Sau khi tiếp nhận, bệnh viện ngay lập tức thực hiện phẫu thuật khẩn cấp để lấy máu tụ và mở sọ giải áp cho nạn nhân.
Thạc sĩ, bác sĩ Nguyễn Ngọc Pi Doanh, Khoa Ngoại Thần kinh, Bệnh viện Nhi đồng 2 cho biết vết thương gây ra do một lực cực kỳ mạnh, xuyên thấu và tổn thương nhu mô não. Sau 10 ngày phẫu thuật cấp cứu và tích cực điều trị, bé đang dần hồi phục, mở mắt, cử động tay chân tự nhiên. Hiện, trẻ đã được chuyển về Khoa Ngoại Thần kinh để tiếp tục theo dõi.
Cũng theo bác sĩ Doanh, mặc dù nguy hiểm đã qua, trẻ có dấu hiệu phục hồi nhưng chắc chắn sẽ có di chứng thần kinh vì não đã tổn thương nặng. Đến nay, bé vẫn chưa nói được và còn yếu nửa người trái.
Các bác sĩ đánh giá đây là một tai nạn sinh hoạt hy hữu và vô cùng nguy hiểm. Bệnh viện khuyến cáo phụ huynh cần cảnh giác trước các vật dụng có thể khiến trẻ dễ bị thương.
