Tiền sử khỏe mạnh, không có bệnh tim mạch, sau buổi đá bóng, anh H. (41 tuổi, Thái Bình) xuất hiện cơn đau ở ngực trái, vã mồ hôi và phải nhập viện cấp cứu.
Bệnh nhân là anh L.V.H (41 tuổi, Đông Hưng, Thái Bình). Anh được chuyển đến Trung tâm Tim mạch, Bệnh viện Đa khoa tỉnh Thái Bình cấp cứu trong tình trạng rất mệt, môi đầu chi tím, chân tay lạnh, vã mồ hôi lạnh toàn thân, đau ngực trái, khó thở (nhịp thở 25 lần/phút).
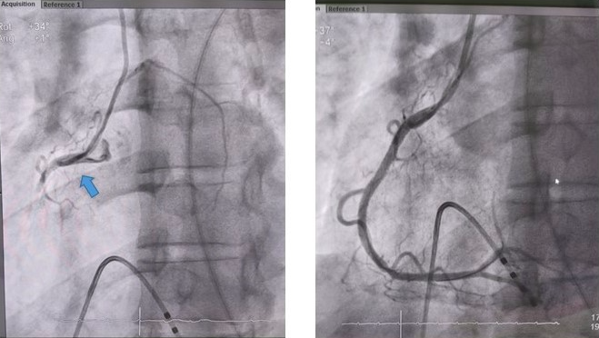
Tại Khoa Tim mạch can thiệp, bệnh nhân được đặt máy tạo nhịp tạm thời với điện cực trong buồng thất phải, chụp động mạch vành qua da. Kết quả cho thấy bệnh nhân bị tắc hoàn toàn đoạn gần động mạch vành phải.
Hình ảnh tắc động mạch vành phải cấp tính gây nhồi máu cơ tim (hình trái) và động mạch vành được tái thông bằng stent. Ảnh: BVCC
Người bệnh được xử trí hút huyết khối và đặt stent vào đoạn gần động mạch vành phải. Sau can thiệp, bệnh nhân hồi phục nhanh, cải thiện hoàn toàn triệu chứng đau ngực và đẩy lùi nguy cơ tắc nghẽn mạch vành gây nhồi máu cơ tim cấp.
Nhồi máu cơ timlà tình trạng thiếu máu đột ngột nuôi tim do tắc nghẽn động mạch vành. Bệnh lý này thường gặp ở người cao tuổi, nam giới, có thói quen hút thuốc lá, bệnh lý nền như tăng huyết áp, đái tháo đường, rối loạn lipid máu. Tuy nhiên, gần đây, nhiều nghiên cứu trên thế giới cho thấy tuổi trung bình của các bệnh nhân nhồi máu cơ tim đang dần trẻ hóa. Tỷ lệ nhồi máu cơ tim ở người trẻ tuổi đã lên tới hơn 10% tổng số ca nhồi máu cơ tim.
Tại Mỹ, nam giới ngoài 65 tuổi được coi là lứa tuổi bắt đầu có nhồi máu cơ tim. Những bệnh nhân nam mắc nhồi máu cơ tim ở tuổi 45 trở xuống được coi là trẻ và dưới 35 tuổi được coi là rất trẻ.
Theo các bác sĩ tim mạch tại Bệnh viện Đa khoa Thái Bình, ở người già, xơ vữa động mạch diễn ra từ từ làm cơ tim có sự thích nghi nhất định với tình trạng thiếu máu cơ tim. Tuy nhiên, điều này lại khá nguy hiểm khi xảy ra ở người trẻ. Nguyên nhân là lòng động mạch của người trẻ trơn láng hơn, khi xuất hiện đột ngột các cục khối huyết làm tắc nghẽn máu nuôi tim thì không kịp thích nghi, dễ gây nguy hiểm hơn và tình trạng hoại tử cũng nhanh chóng hơn.
Triệu chứng điển hình nhồi máu cơ tim cấp
Triệu chứng rất đa dạng, điển hình là đau thắt ngực và khó thở. Các triệu chứng bao gồm: Cảm giác nặng ngực hoặc thắt bóp trong tim; đau vùng ngực lan ra sau lưng, lên hàm hoặc cánh tay trái, kéo dài hơn vài phút hoặc có thể hết sau đó tái phát; khó thở; vã mồ hôi; buồn nôn và nôn; hồi hộp, cảm giác ngột thở; nhịp tim nhanh; mệt mỏi.
Đặc biệt, với nhồi máu cơ tim cấp, nam thường có nguy cơ mắc cao hơn nữ và ở độ tuổi sớm hơn. Nếu tiền sử gia đình bạn có người xuất hiện bệnh tim mạch sớm trước 55 tuổi với nam và 65 tuổi với nữ, bạn có nguy cơ cao hơn mắc nhồi máu cơ tim cấp.
Tim đập nhanh, tê bì chân tay vì thiếu loại khoáng chất nàyNhiều người than phiền hay bị hồi hộp, tim đập nhanh, hai chân tê bì, yếu cơ, đi lại khó khăn tưởng mắc bệnh lý thần kinh, cơ xương khớp, tình cờ xét nghiệm máu mới biết kali máu giảm thấp.