
Ngày 12/9, theo thông tin từ Trung tâm y tế huyện Thanh Sơn (Phú Thọ), bệnh viện vừa tiếp nhận trường hợp nữ bệnh nhân tên T., 63 tuổi (trú tại Thanh Sơn, Phú Thọ) nhập viện trong tình trạng 1/3 trên đùi trái sưng nề biến dạng có điểm đau chói, mất vận động chân trái.
Theo người nhà kể lại, trong lúc đi chăn thả trâu bệnh nhân bị trâu tấn công và húc vào phần chân. Sau tai nạn bệnh nhân tỉnh táo nhưng chân trái sưng đau và không cử động, người nhà đưa vào Trung tâm y tế huyện Thanh Sơn khám và điều trị.

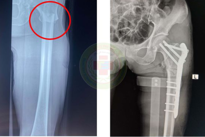
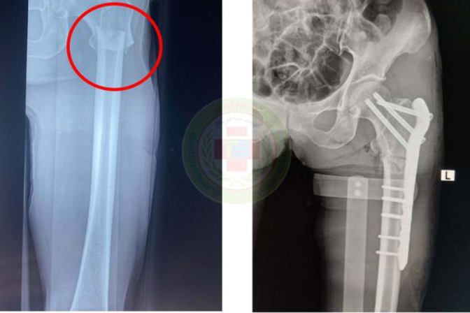
Ngay sau khi vào viện, các bác sĩ chẩn đoán sơ bộ gãy xương đùi bên trái. Lập tức, bệnh nhân đã được xử trí cấp cứu giảm đau, chống sốc kịp thời và được đưa đi làm các cận lâm sàng cần thiết. Kết quả chụp X-quang cho thấy hình ảnh gãy ngang đầu trên xương đùi bên trái, di lệch hoàn toàn. Sau phẫu thuật, người bệnh ổn định và sức khỏe đang hồi phục tốt.
Trong thời gian vừa qua, Trung tâm y tế huyện Thanh Sơn đã tiếp nhận khá nhiều trường hợp bị gia súc tấn công gây nên nhiều chấn thương nguy hiểm. Các bác sĩ khuyến cáo để bảo vệ an toàn cho bản thân và mọi người xung quanh.
Người dân khi chăn dắt gia xúc cần phải chú ý đề phòng để tránh tai nạn đáng tiếc xảy ra. Nếu không may bị tấn công, cần nhanh chóng đưa người bị nạn đến các cơ sở y tế gần nhất có đầy đủ chuyên khoa và trang thiết bị y tế để được thăm khám và xử trí cấp cứu kịp thời các chấn thương, tránh nguy hiểm đến tính mạng.


